Human CK18 Ready-To-Use IHC Kit (免疫组化试剂盒) | Bioss

Human CK18 Ready-To-Use IHC Kit (免疫组化试剂盒) | Bioss
货号:IHC0249H
产品详情
相关产品
相关文献
常见问题

概述

产品编号
IHC0249H
英文名称
Human CK18 Ready-To-Use IHC Kit
中文名称
人细胞角蛋白18即用型免疫组化试剂盒
英文别名
CK-18; CK18; CYK18; K18; Kerd; Krt1-18; KRT18; PIG46
描述
IHC0249H is a ready-to-use IHC kit for staining of Human CK18. The kit provides all reagents, from antigen retrieval to cover slip mounting, that require little to no diluting or handling prior to use. Simply apply the reagents to your sample slide according to the protocol and you're steps away from obtaining high-quality IHC data.
适用样品基质
FFPE tissue
应用范围
Immunohistochemistry
保存条件
Please store components at the temperatures indicated on the individual tube labels. The kit is stable for 6 months from the date of receipt.
注意事项
This product as supplied is intended for research use only, not for use in human, therapeutic or diagnostic applications.
背景资料
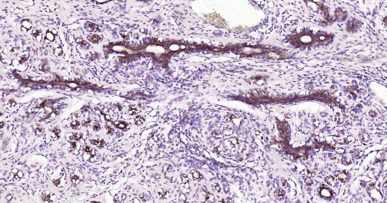
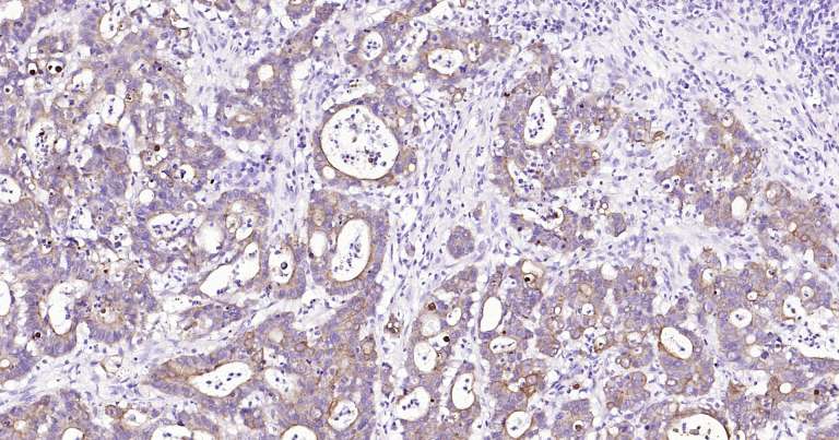
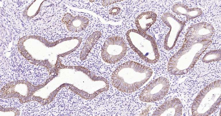
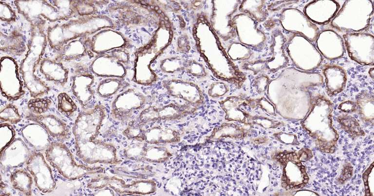
Cytokeratin 18 (Keratin 18, KRT18, type I cytoskeletal 18) belongs to the type A (acidic) subfamily of low molecular weight keratins, exists in combination with cytokeratin 8. Tissues from gastrointestinal tract, respiratory tract and urogenital tract, as well as endocrine and exocrine tissues and mesothelial cells are positive for cytokeratin 18. Further, cytokeratin 18 is found primarily in non-squamous epithelia and is present in a majority of adenocarcinomas and ductal carcinomas, but not in squamous cell carcinomas. Hepatocellular carcinomas express only cytokeratins 8 and 18. Mutations in the cytokeratin 18 gene have been linked to cryptogenic cirrhosis. Two transcript variants encoding the same protein have been found for the cytokeratin 18 gene. Cytokeratin subtype expression patterns are used to an increasing extent in the distinction of different types of epithelial malignancies. The cytokeratin antibodies are not only of assistance in the differential diagnosis of tumors using immunohistochemistry on tissue sections, but are also a useful tool in cytopathology and flow cytometric assays.
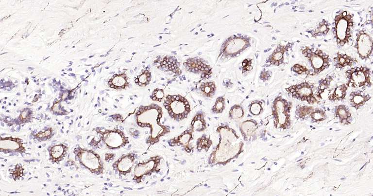
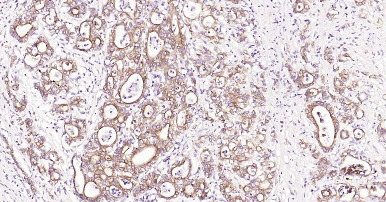
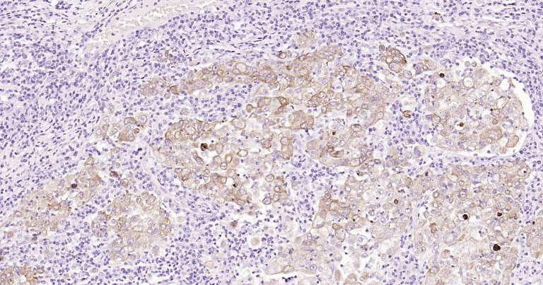
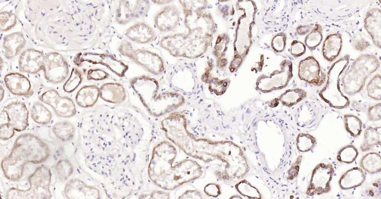
人细胞角蛋白18即用型免疫组化试剂盒-IHC0249H人细胞角蛋白18即用型免疫组化试剂盒-IHC0249H人细胞角蛋白18即用型免疫组化试剂盒-IHC0249H人细胞角蛋白18即用型免疫组化试剂盒-IHC0249H人细胞角蛋白18即用型免疫组化试剂盒-IHC0249H人细胞角蛋白18即用型免疫组化试剂盒-IHC0249H人细胞角蛋白18即用型免疫组化试剂盒-IHC0249H人细胞角蛋白18即用型免疫组化试剂盒-IHC0249H人细胞角蛋白18即用型免疫组化试剂盒-IHC0249H人细胞角蛋白18即用型免疫组化试剂盒-IHC0249H

产品应用

产品应用: IHC-P

交叉反应

交叉反应: Human

相关产品

暂无相关产品

靶标

基因名
KRT18
蛋白名
Keratin, type I cytoskeletal 18
亚基
Heterotetramer of two type I and two type II keratins. KRT18 associates with KRT8 (PubMed:10852826, PubMed:24940650). Interacts with PLEC isoform 1C, when in a heterodimer with KRT8 (PubMed:24940650). Interacts with the thrombin-antithrombin complex (By similarity). Interacts with PNN and mutated CFTR. Interacts with YWHAE, YWHAH and YWHAZ only when phosphorylated. Interacts with DNAJB6, TCHP and TRADD. Interacts with FAM83H (PubMed:23902688). Interacts with EPPK1 (By similarity). Interacts with PKP1 and PKP2 (PubMed:10852826). (Microbial infection) Interacts with hepatitis C virus/HCV core protein.
亚细胞定位
Cytoplasm Intermediate filament Keratin Nucleus
组织特异性
Expressed in colon, placenta, liver and very weakly in exocervix. Increased expression observed in lymph nodes of breast carcinoma.
翻译后修饰
Phosphorylation at Ser-34 increases during mitosis. Hyperphosphorylated at Ser-53 in diseased cirrhosis liver. Phosphorylation increases by IL-6. Proteolytically cleaved by caspases during epithelial cell apoptosis. Cleavage occurs at Asp-238 by either caspase-3, caspase-6 or caspase-7. O-GlcNAcylation increases solubility, and decreases stability by inducing proteasomal degradation.
疾病
Involvement in disease: Cirrhosis (CIRRH) The disease is caused by variants affecting the gene represented in this entry. A liver disease characterized by severe panlobular liver-cell swelling with Mallory body formation, prominent pericellular fibrosis, and marked deposits of copper. Clinical features include abdomen swelling, jaundice and pulmonary hypertension.
相似性
Belongs to the intermediate filament family.
功能
Involved in the uptake of thrombin-antithrombin complexes by hepatic cells (By similarity). When phosphorylated, plays a role in filament reorganization. Involved in the delivery of mutated CFTR to the plasma membrane. Together with KRT8, is involved in interleukin-6 (IL-6)-mediated barrier protection

同靶标产品

相关文献

常见问题