泛素特异性蛋白酶28重组兔单抗

Rrmab?兔单抗
2026-03-02~2026-04-30,KXJ26032026-03-02~2026-04-30,促销赠品
泛素特异性蛋白酶28重组兔单抗
货号:bsm-63015R
产品详情
相关标记
相关产品
相关文献
常见问题

概述

产品编号
bsm-63015R
产品类型
重组兔单抗
英文名称
USP28 Recombinant Rabbit mAb
中文名称
泛素特异性蛋白酶28重组兔单抗
英文别名
9830148O20Rik; mKIAA1515; UBP28_HUMAN; USP28; Deubiquitinating enzyme 28; Ubiquitin thioesterase 28; Ubiquitin-specific-processing protease 28; 3.4.19.12; KIAA1515; UBP28_MOUSE; UBP28_RAT;
抗体来源
Rabbit
免疫原
A synthesized peptide derived from human USP28: 110-165/1077
亚型
IgG
性状
Liquid
纯化方法
affinity purified by Protein A
克隆类型
Recombinant
克隆号
1C9
理论分子量
122 kDa
检测分子量
135 kDa
储存液
10mM phosphate buffered saline(pH 7.4) with 150mM sodium chloride, 0.05% BSA, 0.02% Proclin300 and 50% glycerol.
SWISS
Gene ID
保存条件
Store at 4℃ for short term. Store at -20℃ for long term. Avoid repeated freeze/thaw cycles.
注意事项
This product as supplied is intended for research use only, not for use in human, therapeutic or diagnostic applications.
背景资料
Deubiquitinase involved in DNA damage response checkpoint and MYC proto-oncogene stability. Involved in DNA damage induced apoptosis by specifically deubiquitinating proteins of the DNA damage pathway such as CLSPN. Also involved in G2 DNA damage checkpoint, by deubiquitinating CLSPN, and preventing its degradation by the anaphase promoting complex/cyclosome (APC/C).
泛素特异性蛋白酶28重组兔单抗泛素特异性蛋白酶28重组兔单抗泛素特异性蛋白酶28重组兔单抗泛素特异性蛋白酶28重组兔单抗泛素特异性蛋白酶28重组兔单抗泛素特异性蛋白酶28重组兔单抗泛素特异性蛋白酶28重组兔单抗

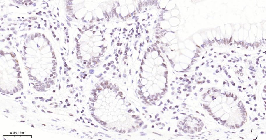
产品应用

应用已检合格种属预测种属推荐稀释比例
WBHuman1:500-2000
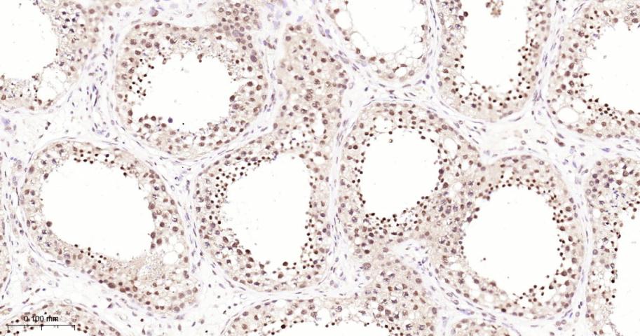
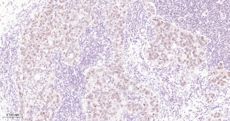
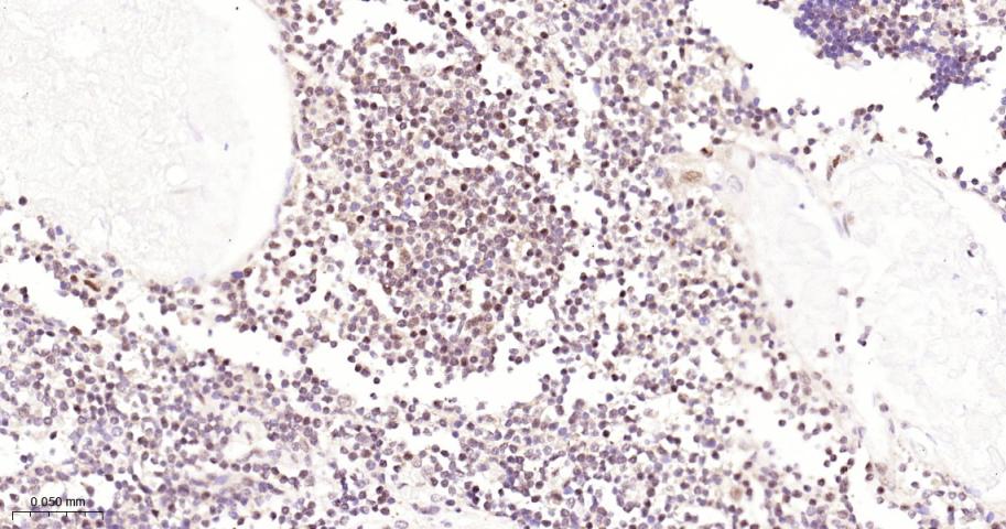
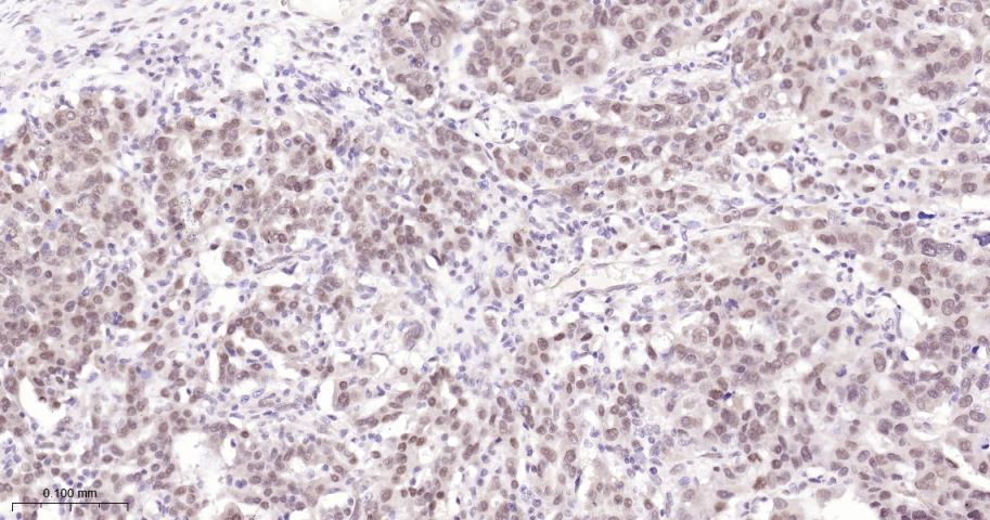
IHC-PHuman1:50-200
IHC-FHuman1:50-200
IFHuman1:50-200
Flow-CytHuman1:50-100
ICC/IFHuman1:50-200

交叉反应

交叉反应: Human

相关产品

暂无相关产品

靶标

基因名
USP28
蛋白名
Ubiquitin carboxyl-terminal hydrolase 28

标记抗体

暂无标记数据

同靶标产品

暂无同靶标产品

相关文献

提示: 发表研究结果有使用 bsm-63015R 时请让我们知道,以便我们可以引用参考文章。作为回馈,资料提供者将获得我们送上的小礼品。

暂无相关文献

常见问题

暂无常见问题