泛素激活酶E1重组兔单抗

Rrmab®兔单抗
2026-01-04~2026-02-28,RR26012026-01-04~2026-02-28,TR
泛素激活酶E1重组兔单抗
货号:bsm-63004R
产品详情
相关标记
相关产品
相关文献
常见问题

概述

产品编号
bsm-63004R
产品类型
重组兔单抗、mIHC精品抗体
英文名称
UBA1 Recombinant Rabbit mAb
中文名称
泛素激活酶E1重组兔单抗
英文别名
A1S9; A1S9T; A1ST; AMCX1; CFAP124; GXP1; POC20; SMAX2; UBA1A; UBE1; UBE1X; VEXAS; Sbx; Ube-1; UBA1_HUMAN; UBA1; Protein A1S9; Ubiquitin-activating enzyme E1; 6.2.1.45; UBA1_MOUSE; Ubiquitin-activating enzyme E1 X; Ubiquitin-like modifier-activating enzyme 1 X; Ube1ax; UBA1_RAT;
抗体来源
Rabbit
免疫原
A synthesized peptide derived from human UBA1: 200-255/1058
亚型
IgG
性状
Liquid
纯化方法
affinity purified by Protein A
克隆类型
Recombinant
克隆号
7D16
理论分子量
118
检测分子量
118
储存液
10mM phosphate buffered saline(pH 7.4) with 150mM sodium chloride, 0.05% BSA, 0.02% Proclin300 and 50% glycerol.
SWISS
Gene ID
保存条件
Store at 4℃ for short term. Store at -20℃ for long term. Avoid repeated freeze/thaw cycles.
注意事项
This product as supplied is intended for research use only, not for use in human, therapeutic or diagnostic applications.
背景资料
Activates ubiquitin by first adenylating its C-terminal glycine residue with ATP, and thereafter linking this residue to the side chain of a cysteine residue in E1, yielding an ubiquitin-E1 thioester and free AMP.
泛素激活酶E1重组兔单抗泛素激活酶E1重组兔单抗泛素激活酶E1重组兔单抗泛素激活酶E1重组兔单抗泛素激活酶E1重组兔单抗泛素激活酶E1重组兔单抗泛素激活酶E1重组兔单抗泛素激活酶E1重组兔单抗泛素激活酶E1重组兔单抗泛素激活酶E1重组兔单抗

产品应用

应用已检合格种属预测种属推荐稀释比例
WBHumanMouse, Rat1:500-2000
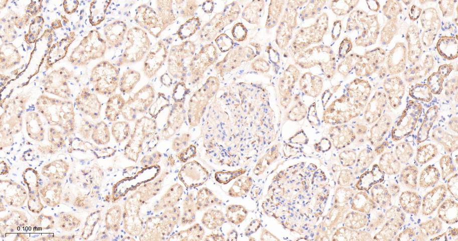
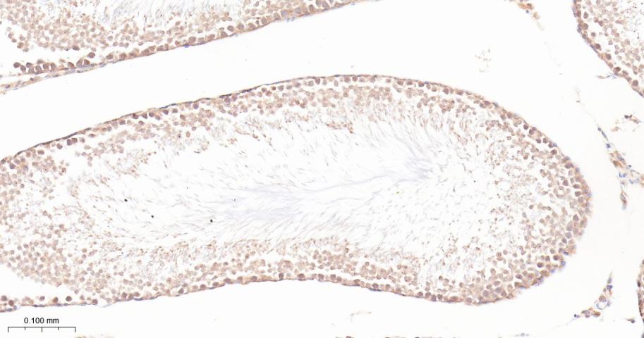
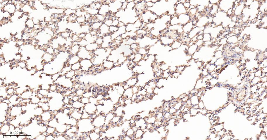
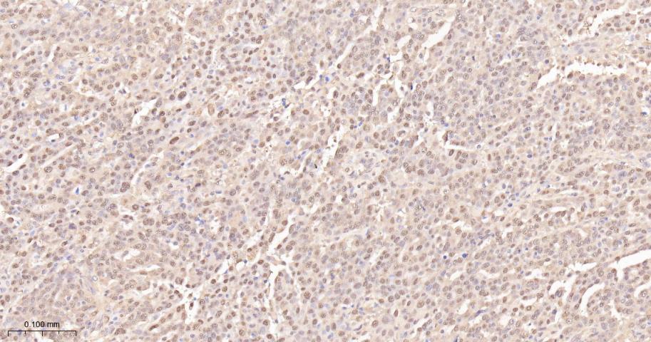
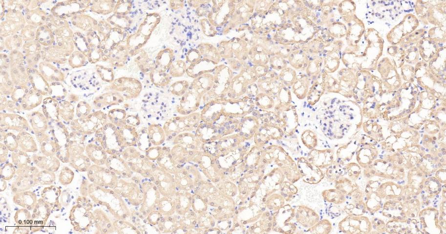
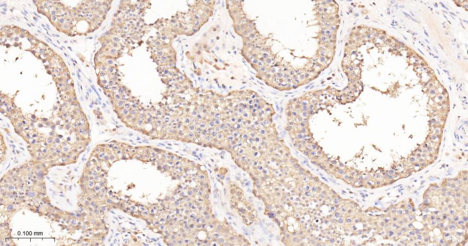
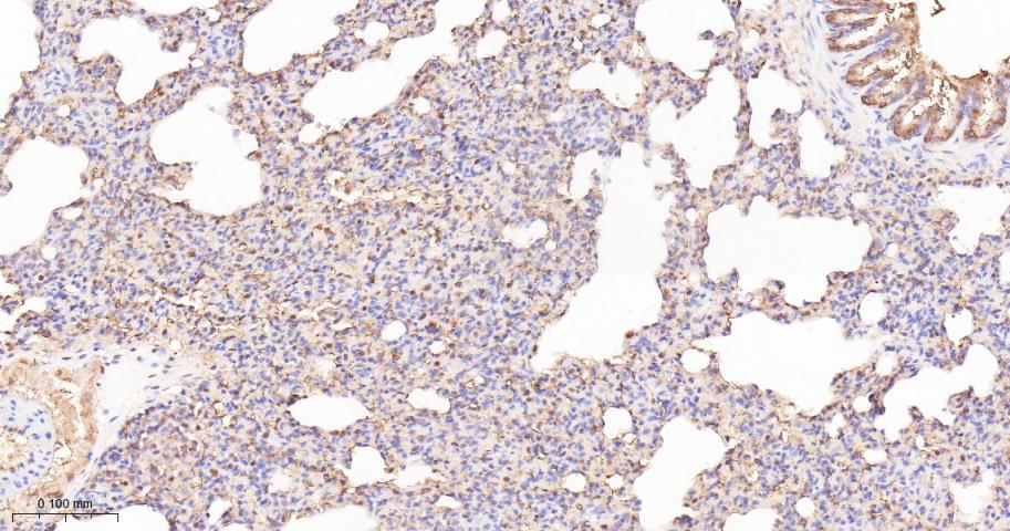
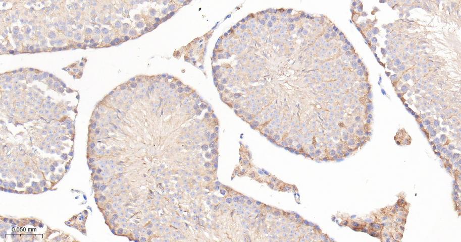
IHC-PHuman, Mouse, Rat1:50-200
IHC-FHuman, Mouse, Rat1:50-200
IFHuman, Mouse, Rat1:50-200
Flow-CytHuman, Mouse, Rat1:50-100
ICC/IFHuman, Mouse, Rat1:50-200

交叉反应

交叉反应: Human, Mouse, Rat

相关产品

暂无相关产品

靶标

基因名
UBA1
蛋白名
Ubiquitin-like modifier-activating enzyme 1
亚基
Monomer (By similarity). Interacts with GAN (via BTB domain).
翻译后修饰
ISGylated.
疾病
Defects in UBA1 are the cause of spinal muscular atrophy X-linked type 2 (SMAX2) [MIM:301830]; also known as X-linked lethal infantile spinal muscular atrophy, distal X-linked arthrogryposis multiplex congenita or X-linked arthrogryposis type 1 (AMCX1). Spinal muscular atrophy refers to a group of neuromuscular disorders characterized by degeneration of the anterior horn cells of the spinal cord, leading to symmetrical muscle weakness and atrophy. SMAX2 is a lethal infantile form presenting with hypotonia, areflexia, and multiple congenital contractures.
相似性
Belongs to the ubiquitin-activating E1 family.
功能
Activates ubiquitin by first adenylating its C-terminal glycine residue with ATP, and thereafter linking this residue to the side chain of a cysteine residue in E1, yielding an ubiquitin-E1 thioester and free AMP.

标记抗体

暂无标记数据

同靶标产品

暂无同靶标产品

相关文献

提示: 发表研究结果有使用 bsm-63004R 时请让我们知道,以便我们可以引用参考文章。作为回馈,资料提供者将获得我们送上的小礼品。

暂无相关文献

常见问题

暂无常见问题