Cancer > Cell Death > Apoptosis
Cancer > Invasion/microenvironment > Apoptosis
Cell Biology > Proteolysis / Ubiquitin > Proteasome / Ubiquitin > Ubiquitin E3 Enzymes > RING Finger E3 Ligase
Epigenetics and Nuclear Signaling > Bromodomains
Epigenetics and Nuclear Signaling > Chromatin Binding Proteins > Methylated DNA
Epigenetics and Nuclear Signaling > Transcription > Other factors
Epigenetics and Nuclear Signaling > Transcription > Transcription Factors
















| 应用 | 已检合格种属 | 预测种属 | 推荐稀释比例 |
|---|---|---|---|
| WB | Human | Mouse, Rat | 1:500-2000 |
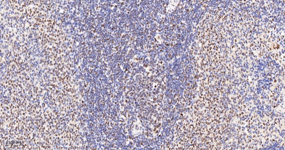
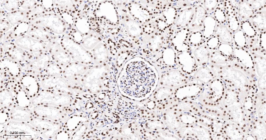
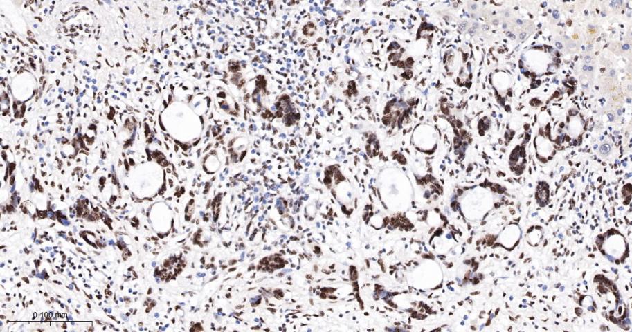
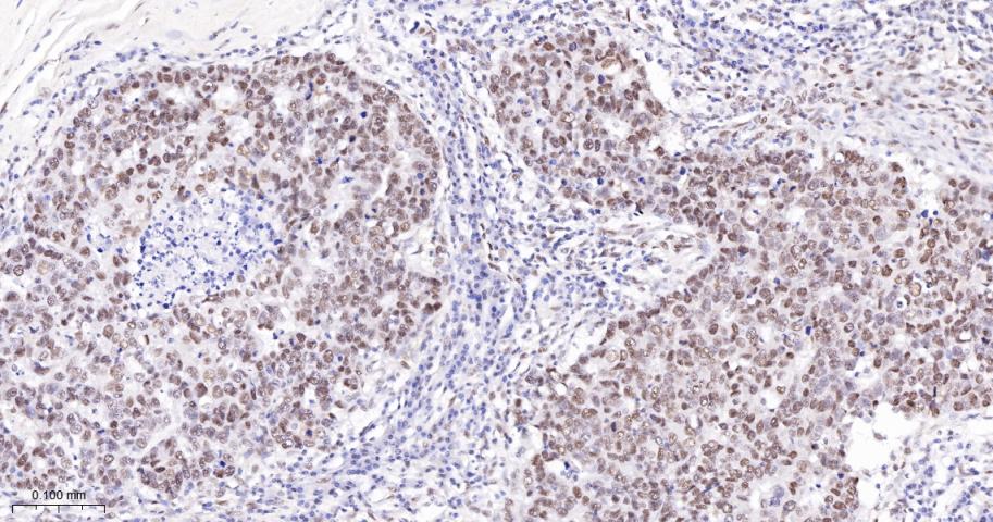
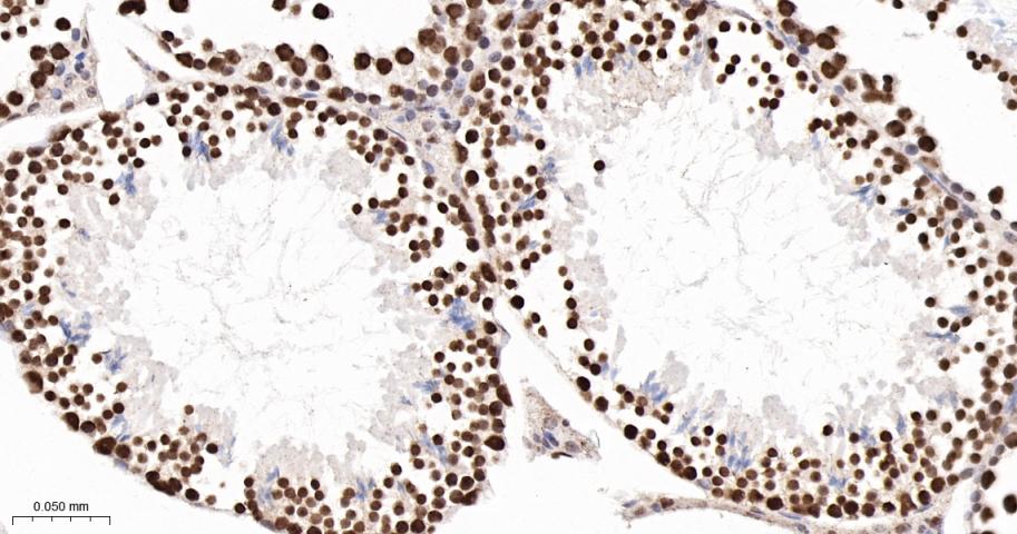
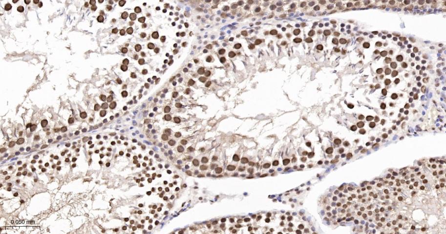
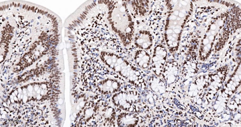
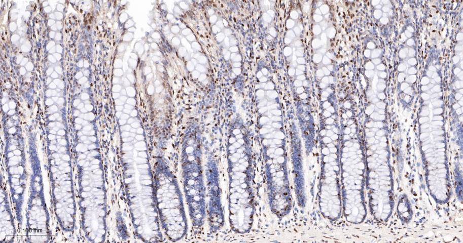
| IHC-P | Human, Mouse, Rat | 1:100-500 | |
| IHC-F | Human, Mouse, Rat | 1:100-500 | |
| IF | Human, Mouse, Rat | 1:100-500 | |
| Flow-Cyt | Human, Mouse, Rat | 1:50-100 | |
| ICC/IF | Human, Mouse, Rat | 1:50-200 |
交叉反应: Human, Mouse, Rat
暂无相关产品
暂无标记数据
暂无同靶标产品
暂无相关文献
暂无常见问题