Cancer > Invasion/microenvironment > Angiogenesis > ECM enzymes > TIMPs
Cancer > Invasion/microenvironment > ECM > Extracellular matrix > TIMPs
Cardiovascular > Angiogenesis > Adhesion / ECM > Matrix Metalloproteinases > TIMP
Cell Biology > Proteolysis / Ubiquitin > Protease inhibitors > Metalloprotease inhibitors > TIMPs
Signal Transduction > Cytoskeleton / ECM > Extracellular Matrix > ECM Enzymes > TIMP1 / TIMP2









| 应用 | 已检合格种属 | 预测种属 | 推荐稀释比例 |
|---|---|---|---|
| WB | Human | 1:500-2000 | |
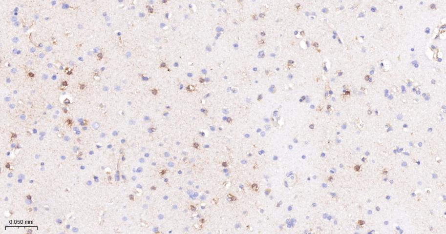
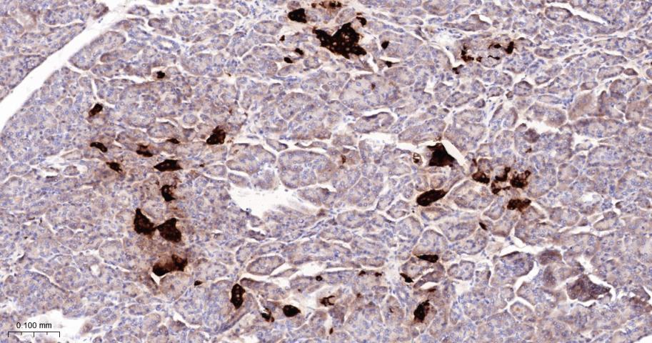
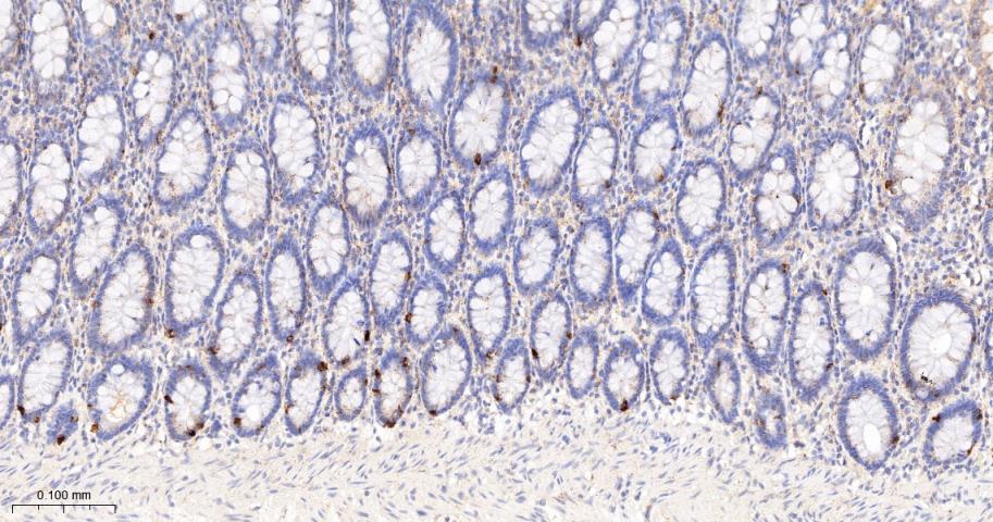
| IHC-P | Human | 1:200-1000 | |
| IHC-F | Human | 1:200-1000 | |
| IF | Human | 1:200-1000 |
交叉反应: Human
暂无相关产品
暂无标记数据
暂无同靶标产品
暂无相关文献
暂无常见问题