Cell Biology > Cell Cycle > Cell Cycle Inhibitors > Rb
Epigenetics and Nuclear Signaling > DNA / RNA > DNA Damage & Repair > DNA Damage Response > DNA Damage Recognition
Epigenetics and Nuclear Signaling > DNA / RNA > Translation > Ribosome
Metabolism > Types of disease > Obesity
Signal Transduction > Protein Phosphorylation > Ser / Thr Kinases > S6K Family






| 应用 | 已检合格种属 | 预测种属 | 推荐稀释比例 |
|---|---|---|---|
| WB | Human, Mouse, Rat | 1:500-2000 | |
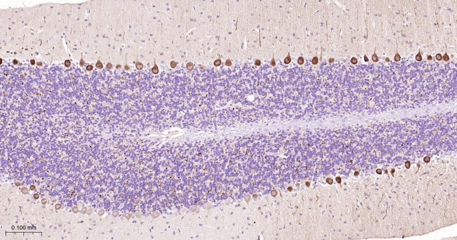
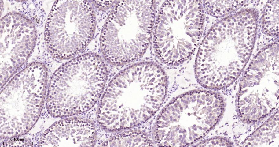
| IHC-P | Mouse, Rat | Human | 1:50-200 |
| IHC-F | Mouse, Rat | Human | 1:50-200 |
| IF | Mouse, Rat | Human | 1:50-200 |
| ICC/IF | Human | Mouse, Rat | 1:50-200 |
| IP | Human, Mouse, Rat | 1:20-50 |
交叉反应: Human, Mouse, Rat
暂无相关产品
暂无标记数据
暂无同靶标产品
暂无相关文献
暂无常见问题