磷酯酶Cβ3重组兔单抗

Rrmab?兔单抗
2026-03-02~2026-04-30,KXJ26032026-03-02~2026-04-30,促销赠品
磷酯酶Cβ3重组兔单抗
货号:bsm-62935R
产品详情
相关标记
相关产品
相关文献
常见问题

概述

产品编号
bsm-62935R
产品类型
重组兔单抗
英文名称
PLCB3 Recombinant Rabbit mAb
中文名称
磷酯酶Cβ3重组兔单抗
英文别名
SMDCD; mKIAA4098; PLCB3_HUMAN; PLCB3; Phosphoinositide phospholipase C-beta-3; Phospholipase C-beta-3 (PLC-beta-3); 3.1.4.11; PLCB3_MOUSE; PLCB3_RAT;
抗体来源
Rabbit
免疫原
A synthesized peptide derived from human PLCB3: 1165-1200
亚型
IgG
性状
Liquid
纯化方法
affinity purified by Protein A
克隆类型
Recombinant
克隆号
6A10
理论分子量
139 kDa
检测分子量
150 kDa
储存液
10mM phosphate buffered saline(pH 7.4) with 150mM sodium chloride, 0.05% BSA, 0.02% Proclin300 and 50% glycerol.
SWISS
Gene ID
保存条件
Store at 4℃ for short term. Store at -20℃ for long term. Avoid repeated freeze/thaw cycles.
注意事项
This product as supplied is intended for research use only, not for use in human, therapeutic or diagnostic applications.
产品介绍
第二信使分子二酰甘油(DAG)和肌醇1,4,5-三磷酸(IP3)的产生是由活化的磷脂酰肌醇特异性磷脂酶C酶介导的。
背景资料
The production of the second messenger molecules diacylglycerol (DAG) and inositol 1,4,5-trisphosphate (IP3) is mediated by activated phosphatidylinositol-specific phospholipase C enzymes.
磷酯酶Cβ3重组兔单抗磷酯酶Cβ3重组兔单抗磷酯酶Cβ3重组兔单抗

产品应用

应用已检合格种属预测种属推荐稀释比例
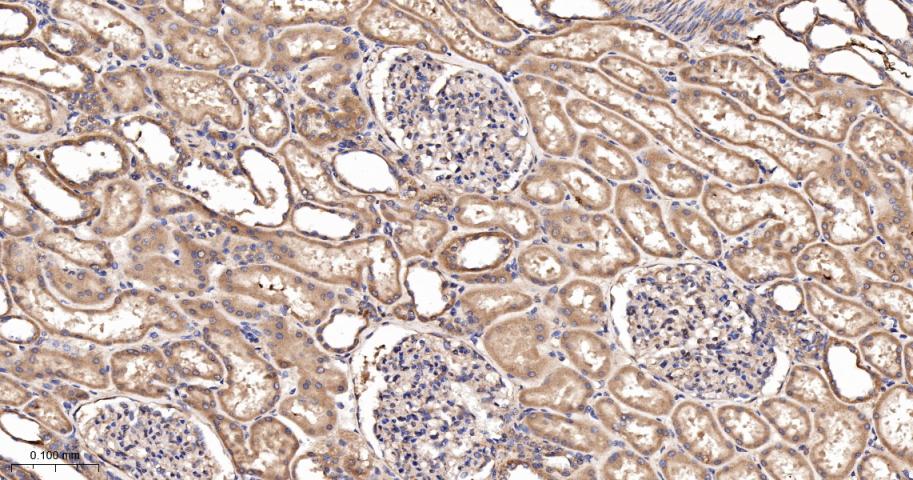
WBHuman1:500-2000
IHC-PHuman1:100-500
IHC-FHuman1:100-500
IFHuman1:100-500

交叉反应

交叉反应: Human

相关产品

暂无相关产品

靶标

基因名
PLCB3
蛋白名
1-phosphatidylinositol 4, 5-bisphosphate phosphodiesterase beta-3
亚基
Interacts with SHANK2. Interacts with LPAR2.
亚细胞定位
Membrane; Peripheral membrane protein.
相似性
Contains 1 C2 domain.
Contains 1 PI-PLC X-box domain.
Contains 1 PI-PLC Y-box domain.
功能
The production of the second messenger molecules diacylglycerol (DAG) and inositol 1,4,5-trisphosphate (IP3) is mediated by activated phosphatidylinositol-specific phospholipase C enzymes.

标记抗体

暂无标记数据

同靶标产品

暂无同靶标产品

相关文献

提示: 发表研究结果有使用 bsm-62935R 时请让我们知道,以便我们可以引用参考文章。作为回馈,资料提供者将获得我们送上的小礼品。

暂无相关文献

常见问题

暂无常见问题