phospho-Nucleolin (Thr84) Recombinant Rabbit mAb (一抗) - WB,IHC-P,IHC-F,IF | Bioss

Rrmab?兔单抗
2026-03-02~2026-04-30,KXJ2603
phospho-Nucleolin (Thr84) Recombinant Rabbit mAb (一抗) - WB,IHC-P,IHC-F,IF | Bioss
货号:bsm-62916R
产品详情
相关标记
相关产品
相关文献
常见问题

概述

产品编号
bsm-62916R
产品类型
磷酸化抗体、重组兔单抗、mIHC精品抗体
英文名称
phospho-Nucleolin (Thr84) Recombinant Rabbit mAb
中文名称
磷酸化核仁蛋白C23重组兔单抗
英文别名
NCL | Nucleolin (phospho-T84); p-Nucleolin; phospho-Nucleolin; p-NCL; NCL | Nucleolin (phospho-Thr84); C23; Nsr1; B530004O11Rik; D0Nds28; D1Nds28; Nucl; NUCL_HUMAN; NCL; Protein C23; NUCL_MOUSE; Nuc; NUCL_RAT;
抗体来源
Rabbit
免疫原
A synthesized peptide derived from human NCL around the phosphorylation site of T84: AV-pT-PG
亚型
IgG
性状
Liquid
纯化方法
affinity purified by Protein A
克隆类型
Recombinant
克隆号
7F8
理论分子量
77 kDa
检测分子量
100 kDa
储存液
10mM phosphate buffered saline(pH 7.4) with 150mM sodium chloride, 0.05% BSA, 0.02% Proclin300 and 50% glycerol.
SWISS
Gene ID
保存条件
Store at 4℃ for short term. Store at -20℃ for long term. Avoid repeated freeze/thaw cycles.
注意事项
This product as supplied is intended for research use only, not for use in human, therapeutic or diagnostic applications.
背景资料
Nucleolin is the major nucleolar protein of growing eukaryotic cells. It is found associated with intranucleolar chromatin and pre-ribosomal particles. It induces chromatin decondensation by binding to histone H1. It is thought to play a role in pre-rRNA transcription and ribosome assembly. May play a role in the process of transcriptional elongation. Binds RNA oligonucleotides with 5'-UUAGGG-3' repeats more tightly than the telomeric single-stranded DNA 5'-TTAGGG-3' repeats.
磷酸化核仁蛋白C23重组兔单抗-bsm-62916R磷酸化核仁蛋白C23重组兔单抗-bsm-62916R磷酸化核仁蛋白C23重组兔单抗-bsm-62916R磷酸化核仁蛋白C23重组兔单抗-bsm-62916R磷酸化核仁蛋白C23重组兔单抗-bsm-62916R

产品应用

应用已检合格种属预测种属推荐稀释比例
WBHuman1:500-2000
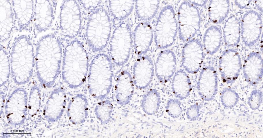
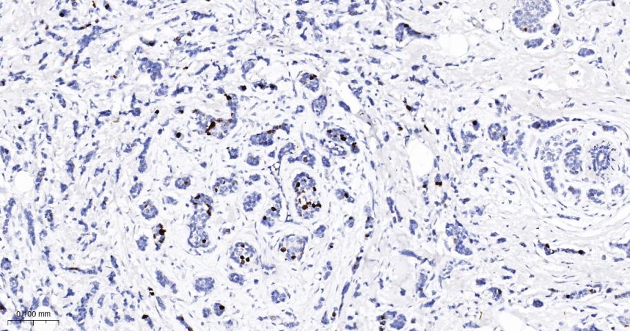
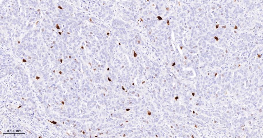
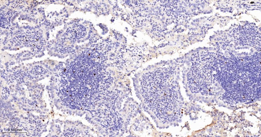
IHC-PHuman1:50-200
IHC-FHuman1:50-200
IFHuman1:50-200

交叉反应

交叉反应: Human

相关产品

暂无相关产品

靶标

基因名
NCL
蛋白名
Nucleolin
亚基
Identified in a mRNP granule complex, at least composed of ACTB, ACTN4, DHX9, ERG, HNRNPA1, HNRNPA2B1, HNRNPAB, HNRNPD, HNRNPL, HNRNPR, HNRNPU, HSPA1, HSPA8, IGF2BP1, ILF2, ILF3, NCBP1, NCL, PABPC1, PABPC4, PABPN1, RPLP0, RPS3, RPS3A, RPS4X, RPS8, RPS9, SYNCRIP, TROVE2, YBX1 and untranslated mRNAs. Interacts with APTX and NSUN2. Component of the SWAP complex that consists of NPM1, NCL/nucleolin, PARP1 and SWAP70. Component of a complex which is at least composed of HTATSF1/Tat-SF1, the P-TEFb complex components CDK9 and CCNT1, RNA polymerase II, SUPT5H, and NCL/nucleolin. Interacts (via RRM1 and C-terminal RRM4/Arg/Gly-rich domains) with TERT; the interaction is important for nucleolar localization of TERT. Interacts with ERBB4. Interacts with GZF1; this interaction is important for nucleolar localization of GZF1. Interacts with NVL.
亚细胞定位
Nucleus, nucleolus. Cytoplasm. Note=Localized in cytoplasmic mRNP granules containing untranslated mRNAs.
翻译后修饰
Some glutamate residues are glycylated by TTLL8. This modification occurs exclusively on glutamate residues and results in a glycine chain on the gamma-carboxyl group (By similarity).
相似性
Contains 4 RRM (RNA recognition motif) domains.
功能
Nucleolin is the major nucleolar protein of growing eukaryotic cells. It is found associated with intranucleolar chromatin and pre-ribosomal particles. It induces chromatin decondensation by binding to histone H1. It is thought to play a role in pre-rRNA transcription and ribosome assembly. May play a role in the process of transcriptional elongation. Binds RNA oligonucleotides with 5'-UUAGGG-3' repeats more tightly than the telomeric single-stranded DNA 5'-TTAGGG-3' repeats.

同靶标产品

相关文献

提示: 发表研究结果有使用 bsm-62916R 时请让我们知道,以便我们可以引用参考文章。作为回馈,资料提供者将获得我们送上的小礼品。

常见问题