CD10重组兔单抗

Rrmab?兔单抗
2026-03-02~2026-04-30,KXJ26032026-03-02~2026-04-30,促销赠品
CD10重组兔单抗
货号:bsm-62910R
产品详情
相关标记
相关产品
相关文献
常见问题

概述

产品编号
bsm-62910R
产品类型
重组兔单抗、mIHC精品抗体
英文名称
CD10 Recombinant Rabbit mAb
中文名称
CD10重组兔单抗
英文别名
CALLA; CD10; CMT2T; NEP; SCA43; SFE; NEP_HUMAN; MME; Atriopeptidase; Common acute lymphocytic leukemia antigen (CALLA); Enkephalinase; Neutral endopeptidase 24.11 (NEP | Neutral endopeptidase); Skin fibroblast elastase (SFE); 3.4.24.11; EPN;
抗体来源
Rabbit
免疫原
A synthesized peptide derived from human Neprilysin: 50-500/750
亚型
IgG
性状
Liquid
纯化方法
affinity purified by Protein A
克隆类型
Recombinant
克隆号
6E16
理论分子量
86 kDa
检测分子量
100 kDa
储存液
10mM phosphate buffered saline(pH 7.4) with 150mM sodium chloride, 0.05% BSA, 0.02% Proclin300 and 50% glycerol.
SWISS
Gene ID
保存条件
Store at 4℃ for short term. Store at -20℃ for long term. Avoid repeated freeze/thaw cycles.
注意事项
This product as supplied is intended for research use only, not for use in human, therapeutic or diagnostic applications.
产品介绍
CD10即共同型急性淋巴细胞白血病抗原,是II型跨膜糖蛋白.CD10表达于早期B淋巴细胞,某些粒性白细胞,骨髓基质细胞,部分上皮组织及其起源的肿瘤细胞中也有表达.主要应用于某些恶性淋巴瘤和白血病的分型.CD10是一种94kD的锌依赖性细胞膜金属结合蛋白,参与细胞神经肽和激素肽的后分泌过程。它广泛地分布于肾、肝、小肠、胎盘、脉络膜丛、脑腺、腺皮质和白细胞,CD10是生发中心细胞及所致淋巴瘤的标志物。
背景资料
Thermolysin-like specificity, but is almost confined on acting on polypeptides of up to 30 amino acids. Biologically important in the destruction of opioid peptides such as Met- and Leu-enkephalins by cleavage of a Gly-Phe bond.
CD10重组兔单抗CD10重组兔单抗CD10重组兔单抗CD10重组兔单抗CD10重组兔单抗CD10重组兔单抗CD10重组兔单抗

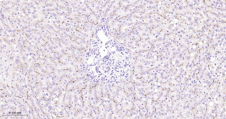
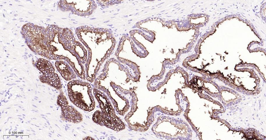
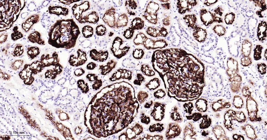
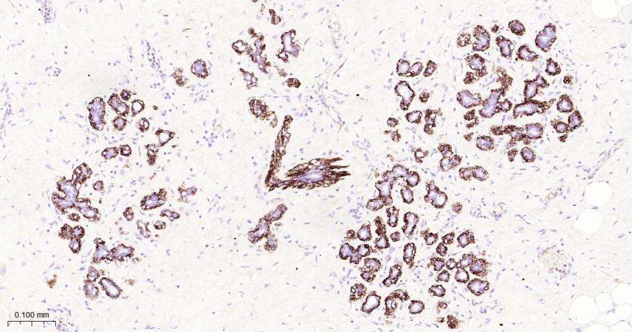
产品应用

应用已检合格种属预测种属推荐稀释比例
WBHuman1:500-2000
IHC-PHuman1:50-200
IHC-FHuman1:50-200
IFHuman1:50-200
IPHuman1:20-50

交叉反应

交叉反应: Human

相关产品

暂无相关产品

靶标

基因名
MME
蛋白名
Neprilysin
亚基
Homotetramer.
亚细胞定位
Cell membrane; Single-pass type II membrane protein.
翻译后修饰
Myristoylation is a determinant of membrane targeting.
Glycosylation at Asn-628 is necessary both for surface expression and neutral endopeptidase activity.
疾病
Defects in GNMT are the cause of glycine N-methyltransferase deficiency (GNMT deficiency) [MIM:606664]; also known as hypermethioninemia. The only clinical abnormalities in patients with this deficiency are mild hepatomegaly and chronic elevation of serum transaminases.
相似性
Belongs to the peptidase M13 family.
功能
Thermolysin-like specificity, but is almost confined on acting on polypeptides of up to 30 amino acids. Biologically important in the destruction of opioid peptides such as Met- and Leu-enkephalins by cleavage of a Gly-Phe bond. Able to cleave angiotensin-1, angiotensin-2 and angiotensin 1-9. Involved in the degradation of atrial natriuretic factor (ANF). Displays UV-inducible elastase activity toward skin preelastic and elastic fibers.

标记抗体

暂无标记数据

同靶标产品

暂无同靶标产品

相关文献

提示: 发表研究结果有使用 bsm-62910R 时请让我们知道,以便我们可以引用参考文章。作为回馈,资料提供者将获得我们送上的小礼品。

暂无相关文献

常见问题

暂无常见问题