氨基末端激酶1/3重组兔单抗

Rrmab?兔单抗
2026-03-02~2026-04-30,KXJ26032026-03-02~2026-04-30,促销赠品
氨基末端激酶1/3重组兔单抗
货号:bsm-62902R
产品详情
相关标记
相关产品
相关文献
常见问题

概述

产品编号
bsm-62902R
产品类型
重组兔单抗
英文名称
JNK1/3 Recombinant Rabbit mAb
中文名称
氨基末端激酶1/3重组兔单抗
英文别名
JNK; JNK-46; JNK1; JNK1A2; JNK21B1/2; PRKM8; SAPK1; SAPK1c; MK08_HUMAN; MAPK8; MAP kinase 8; MAPK 8; Stress-activated protein kinase 1c (SAPK1c); Stress-activated protein kinase JNK1; c-Jun N-terminal kinase 1; 2.7.11.24; MK08_MOUSE; MK08_RAT; SAPK gamma; p54 gamma;
抗体来源
Rabbit
免疫原
A synthesized peptide derived from human JNK1: 1-400
亚型
IgG
性状
Liquid
纯化方法
affinity purified by Protein A
克隆类型
Recombinant
克隆号
10C3
理论分子量
48,53 kDa
检测分子量
46,54 kDa
储存液
10mM phosphate buffered saline(pH 7.4) with 150mM sodium chloride, 0.05% BSA, 0.02% Proclin300 and 50% glycerol.
SWISS
Gene ID
保存条件
Store at 4℃ for short term. Store at -20℃ for long term. Avoid repeated freeze/thaw cycles.
注意事项
This product as supplied is intended for research use only, not for use in human, therapeutic or diagnostic applications.
产品介绍
磷酸化抗体
背景资料
Serine/threonine-protein kinase involved in various processes such as cell proliferation, differentiation, migration, transformation and programmed cell death. Extracellular stimuli such as pro-inflammatory cytokines or physical stress stimulate the stress-activated protein kinase/c-Jun N-terminal kinase (SAP/JNK) signaling pathway.
氨基末端激酶1/3重组兔单抗氨基末端激酶1/3重组兔单抗氨基末端激酶1/3重组兔单抗氨基末端激酶1/3重组兔单抗氨基末端激酶1/3重组兔单抗氨基末端激酶1/3重组兔单抗氨基末端激酶1/3重组兔单抗氨基末端激酶1/3重组兔单抗氨基末端激酶1/3重组兔单抗

产品应用

应用已检合格种属预测种属推荐稀释比例
WBHuman, Mouse, Rat1:500-2000
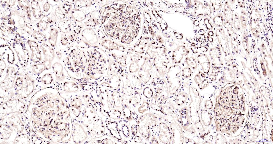
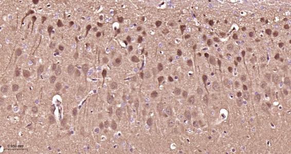
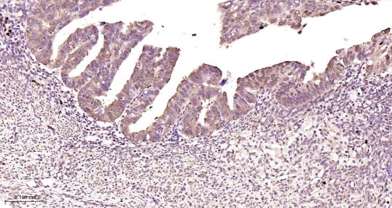
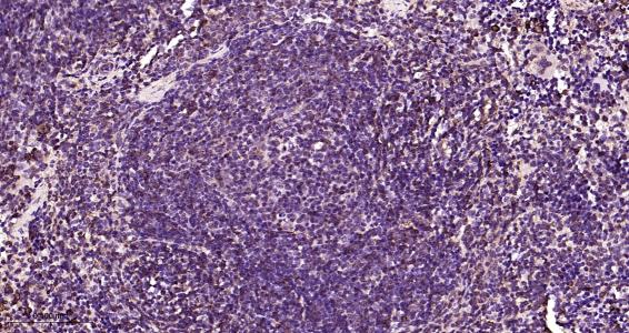
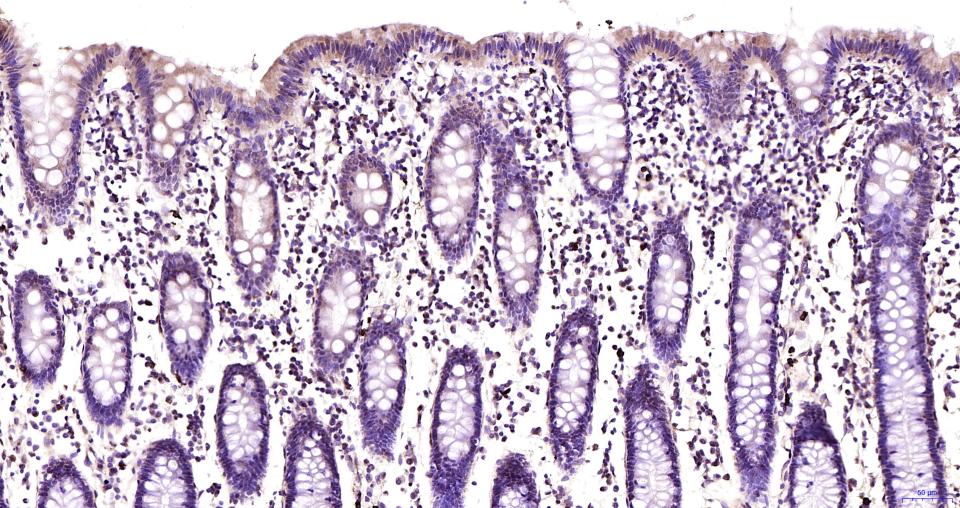
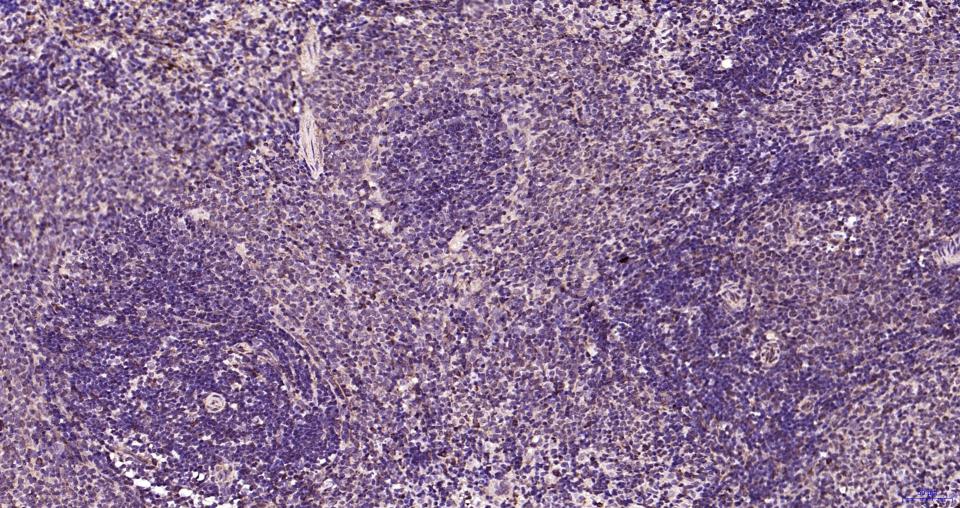
IHC-PHuman, Mouse, Rat1:100-500
IHC-FHuman, Mouse, Rat1:100-500
IFHuman, Mouse, Rat1:100-500
IPHuman, Mouse, Rat1:20-50

交叉反应

交叉反应: Human, Mouse, Rat

相关产品

暂无相关产品

靶标

基因名
MAPK8
蛋白名
Mitogen-activated protein kinase 8
亚基
Interacts with MECOM and DCLK2. Binds to at least four scaffolding proteins, MAPK8IP1/JIP-1, MAPK8IP2/JIP-2, MAPK8IP3/JIP-3/JSAP1 and SPAG9/MAPK8IP4/JIP-4. These proteins also bind other components of the JNK signaling pathway. Interacts with NFATC4. Interacts with ATF7; the interaction does not phosphorylate ATF7 but acts as a docking site for ATF7-associated partners such as JUN. Interacts with BCL10. Interacts with CTNNB1 and GSK3B.
亚细胞定位
Cytoplasm. Nucleus.
翻译后修饰
Dually phosphorylated on Thr-183 and Tyr-185 by MAP2K7 and MAP2K4, which activates the enzyme. Autophosphorylated in vitro.
相似性
Belongs to the protein kinase superfamily. CMGC Ser/Thr protein kinase family. MAP kinase subfamily.
Contains 1 protein kinase domain.
功能
Serine/threonine-protein kinase involved in various processes such as cell proliferation, differentiation, migration, transformation and programmed cell death. Extracellular stimuli such as proinflammatory cytokines or physical stress stimulate the stress-activated protein kinase/c-Jun N-terminal kinase (SAP/JNK) signaling pathway. In this cascade, two dual specificity kinases MAP2K4/MKK4 and MAP2K7/MKK7 phosphorylate and activate MAPK8/JNK1. In turn, MAPK8/JNK1 phosphorylates a number of transcription factors, primarily components of AP-1 such as JUN, JDP2 and ATF2 and thus regulates AP-1 transcriptional activity. Phosphorylates the replication licensing factor CDT1, inhibiting the interaction between CDT1 and the histone H4 acetylase HBO1 to replication origins. Loss of this interaction abrogates the acetylation required for replication initiation. Promotes stressed cell apoptosis by phosphorylating key regulatory factors including p53/TP53 and Yes-associates protein YAP1. In T-cells, MAPK8 and MAPK9 are required for polarized differentiation of T-helper cells into Th1 cells. Contributes to the survival of erythroid cells by phosphorylating the antagonist of cell death BAD upon EPO stimulation. Mediates starvation-induced BCL2 phosphorylation, BCL2 dissociation from BECN1, and thus activation of autophagy. Phosphorylates STMN2 and hence regulates microtubule dynamics, controlling neurite elongation in cortical neurons. In the developing brain, through its cytoplasmic activity on STMN2, negatively regulates the rate of exit from multipolar stage and of radial migration from the ventricular zone. Phosphorylates several other substrates including heat shock factor protein 4 (HSF4), the deacetylase SIRT1, ELK1, or the E3 ligase ITCH.

标记抗体

暂无标记数据

同靶标产品

暂无同靶标产品

相关文献

提示: 发表研究结果有使用 bsm-62902R 时请让我们知道,以便我们可以引用参考文章。作为回馈,资料提供者将获得我们送上的小礼品。

暂无相关文献

常见问题

暂无常见问题