phospho-MEK1 (Thr292) Recombinant Rabbit mAb (一抗) - WB,IHC-P,IHC-F,IF | Bioss

Rrmab?兔单抗
2026-03-02~2026-04-30,KXJ2603
phospho-MEK1 (Thr292) Recombinant Rabbit mAb (一抗) - WB,IHC-P,IHC-F,IF | Bioss
货号:bsm-62900R
产品详情
相关标记
相关产品
相关文献
常见问题

概述

产品编号
bsm-62900R
产品类型
磷酸化抗体、重组兔单抗
英文名称
phospho-MEK1 (Thr292) Recombinant Rabbit mAb
中文名称
磷酸化MEK1重组兔单抗
英文别名
MAP2K1 | MEK1 (phospho-T292); p-MEK1; phospho-MEK1; p-MAP2K1; MAP2K1 | MEK1 (phospho-Thr292); MP2K1_HUMAN; MAP2K1; MAP kinase kinase 1; MAPKK 1; MKK1; ERK activator kinase 1; MAPK/ERK kinase 1 (MEK 1); 2.7.12.2; MEK1; PRKMK1; CFC3; MAPKK1; MEL;
抗体来源
Rabbit
免疫原
A synthesized peptide derived from human MEK1 around the phosphorylation site of T292: PR-pT-PG
亚型
IgG
性状
Liquid
纯化方法
affinity purified by Protein A
克隆类型
Recombinant
克隆号
11E2
理论分子量
43 kDa
检测分子量
45 kDa
储存液
10mM phosphate buffered saline(pH 7.4) with 150mM sodium chloride, 0.05% BSA, 0.02% Proclin300 and 50% glycerol.
SWISS
Gene ID
保存条件
Store at 4℃ for short term. Store at -20℃ for long term. Avoid repeated freeze/thaw cycles.
注意事项
This product as supplied is intended for research use only, not for use in human, therapeutic or diagnostic applications.
背景资料
Microtubule plus-end-directed kinetochore motor which plays an important role in chromosome congression, microtubule-kinetochore conjugation and spindle assembly checkpoint activation. Drives chromosome congression (alignment of chromosomes at the spindle equator resulting in the formation of the metaphase plate) by mediating the lateral sliding of polar chromosomes along spindle microtubules towards the spindle equator and by aiding the establishment and maintenance of connections between kinetochores and spindle microtubules.
磷酸化MEK1重组兔单抗-bsm-62900R磷酸化MEK1重组兔单抗-bsm-62900R磷酸化MEK1重组兔单抗-bsm-62900R磷酸化MEK1重组兔单抗-bsm-62900R磷酸化MEK1重组兔单抗-bsm-62900R

产品应用

应用已检合格种属预测种属推荐稀释比例
WBHuman1:500-2000
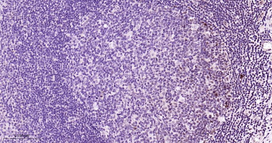
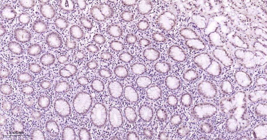
IHC-PHuman1:50-200
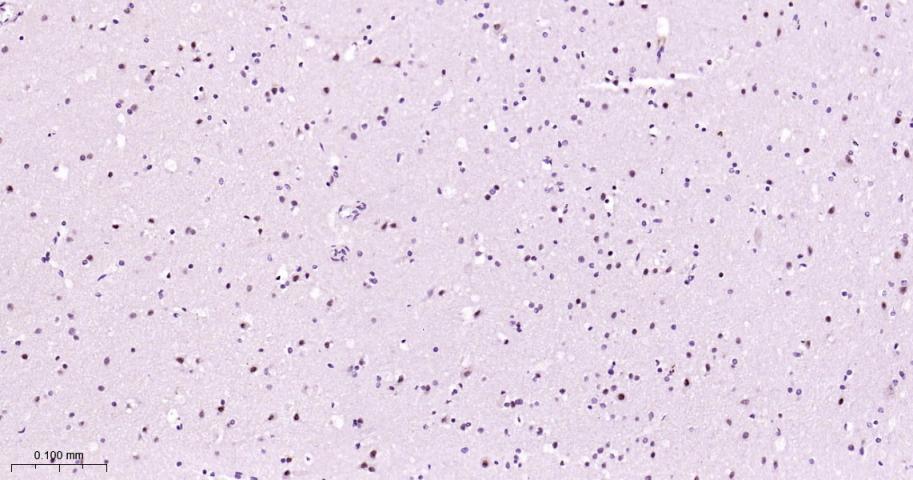
IHC-FHuman1:50-200
IFHuman1:50-200

交叉反应

交叉反应: Human

相关产品

暂无相关产品

靶标

基因名
Map2k1
蛋白名
Dual specificity mitogen-activated protein kinase kinase 1

同靶标产品

相关文献

提示: 发表研究结果有使用 bsm-62900R 时请让我们知道,以便我们可以引用参考文章。作为回馈,资料提供者将获得我们送上的小礼品。

常见问题