phospho-MAP2 (Ser136) Recombinant Rabbit mAb (一抗) - IHC-P,IHC-F,IF,ICC/IF | Bioss

Rrmab?兔单抗
2026-05-01~2026-06-30,AB2605
phospho-MAP2 (Ser136) Recombinant Rabbit mAb (一抗) - IHC-P,IHC-F,IF,ICC/IF | Bioss
货号:bsm-62863R
产品详情
相关标记
相关产品
相关文献
常见问题

概述

产品编号
bsm-62863R
产品类型
磷酸化抗体、重组兔单抗、mIHC精品抗体
英文名称
phospho-MAP2 (Ser136) Recombinant Rabbit mAb
中文名称
磷酸化微管相关蛋白2重组兔单抗
英文别名
MAP-2; MAP2A; MAP2B; MAP2C; G1-397-34; Mtap-2; Mtap2; repro4; MAP2R; MTAP2_HUMAN; MAP2; MTAP2_MOUSE; MTAP2_RAT; microtubule associated protein 2; MAP2 (phospho-S136); p-MAP2; phospho-MAP2; MAP2 (phospho-Ser136)
抗体来源
Rabbit
免疫原
A synthesized peptide derived from human MAP2 around the phosphorylation site of S136: NLPP-pS-PPP(全长1827aa)
亚型
IgG
性状
Liquid
纯化方法
affinity purified by Protein A
克隆类型
Recombinant
克隆号
19F17
理论分子量
200 kDa
检测分子量
70,280 kDa
储存液
10mM phosphate buffered saline(pH 7.4) with 150mM sodium chloride, 0.05% BSA, 0.02% Proclin300 and 50% glycerol.
SWISS
Gene ID
保存条件
Store at 4℃ for short term. Store at -20℃ for long term. Avoid repeated freeze/thaw cycles.
注意事项
This product as supplied is intended for research use only, not for use in human, therapeutic or diagnostic applications.
产品介绍
微管相关蛋白 2(MAP-2)是一种磷蛋白质,在正常脑组织中,主要存在于神经元的胞体、树突和树突棘,是脑内最丰富的蛋白之一。MAP-2在其调节微管的聚合作用和微管的稳定性以及对神经元轴突和树突的发生、延长、稳定和突触可塑性调节具有重要作用。
背景资料
The exact function of MAP2 is unknown but MAPs may stabilize the microtubules against depolymerization. They also seem to have a stiffening effect on microtubules.
磷酸化微管相关蛋白2重组兔单抗-bsm-62863R磷酸化微管相关蛋白2重组兔单抗-bsm-62863R磷酸化微管相关蛋白2重组兔单抗-bsm-62863R磷酸化微管相关蛋白2重组兔单抗-bsm-62863R磷酸化微管相关蛋白2重组兔单抗-bsm-62863R磷酸化微管相关蛋白2重组兔单抗-bsm-62863R磷酸化微管相关蛋白2重组兔单抗-bsm-62863R磷酸化微管相关蛋白2重组兔单抗-bsm-62863R磷酸化微管相关蛋白2重组兔单抗-bsm-62863R

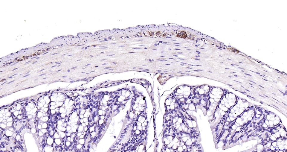
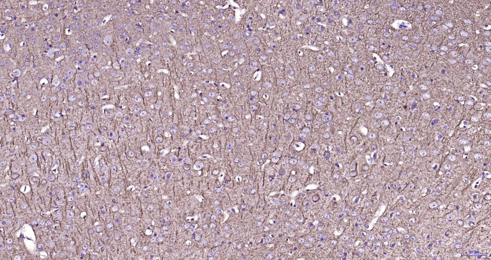
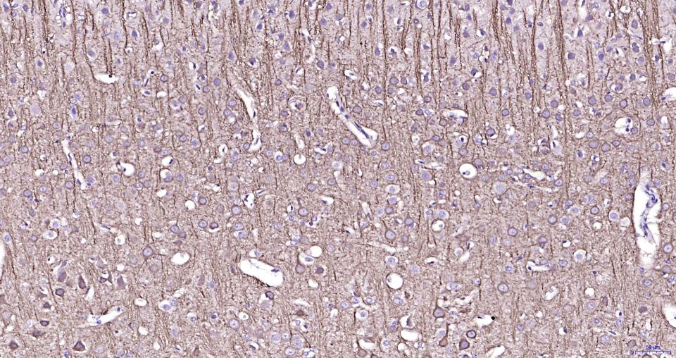
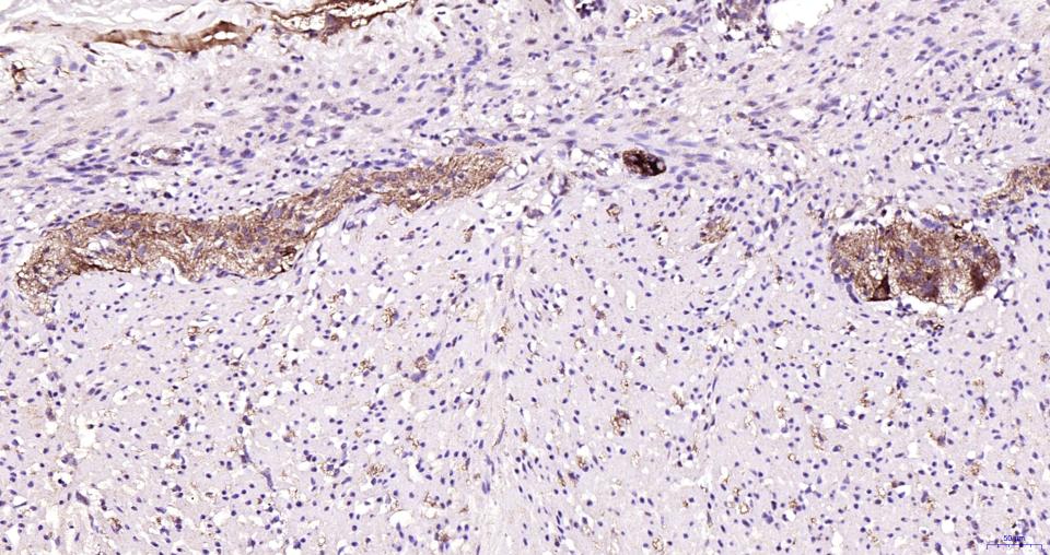
产品应用

应用已检合格种属预测种属推荐稀释比例
IHC-PHuman, Mouse, Rat1:100-200
IHC-FHuman, Mouse, Rat1:100-200
IFHuman, Mouse, Rat1:50-200
ICC/IFHuman, Mouse, Rat1:50-200

交叉反应

交叉反应: Human, Mouse, Rat

相关产品

暂无相关产品

靶标

基因名
MAP2
蛋白名
Microtubule-associated protein 2
亚细胞定位
Cytoplasm, cytoskeleton (Probable).
翻译后修饰
Phosphorylated at serine residues in K-X-G-S motifs by MAP/microtubule affinity-regulating kinase (MARK1 or MARK2), causing detachment from microtubules, and their disassembly (By similarity). MAP2A/c is phosphorylated. Isoform MAP2c is phosphorylated by FYN at Tyr-67.
相似性
Contains 3 Tau/MAP repeats.
功能
The exact function of MAP2 is unknown but MAPs may stabilize the microtubules against depolymerization. They also seem to have a stiffening effect on microtubules.

同靶标产品

相关文献

提示: 发表研究结果有使用 bsm-62863R 时请让我们知道,以便我们可以引用参考文章。作为回馈,资料提供者将获得我们送上的小礼品。

常见问题