Cancer > Cancer Metabolism > Metabolic signaling pathway > Integration of energy metabolism
Cancer > Cancer Metabolism > Metabolic signaling pathway > Metabolism of lipids and lipoproteins
Metabolism > Pathways and Processes > Metabolic signaling pathways > Energy transfer pathways > Integration of energy
Metabolism > Pathways and Processes > Metabolic signaling pathways > Lipid and lipoprotein metabolism > Lipid metabolism
Metabolism > Types of disease > Cancer
Signal Transduction > Protein Phosphorylation > Ser / Thr Kinases > PKA







| 应用 | 已检合格种属 | 预测种属 | 推荐稀释比例 |
|---|---|---|---|
| WB | Human, Mouse, Rat | 1:500-2000 | |
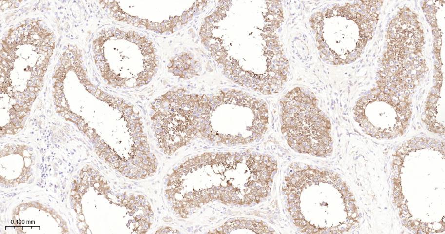
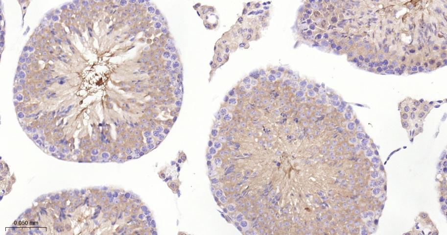
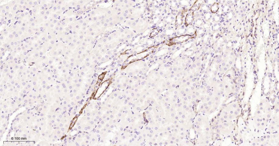
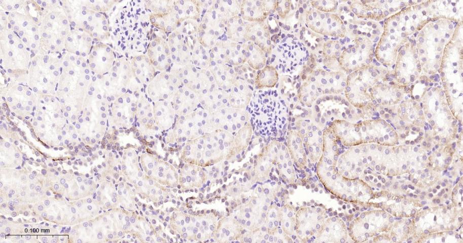
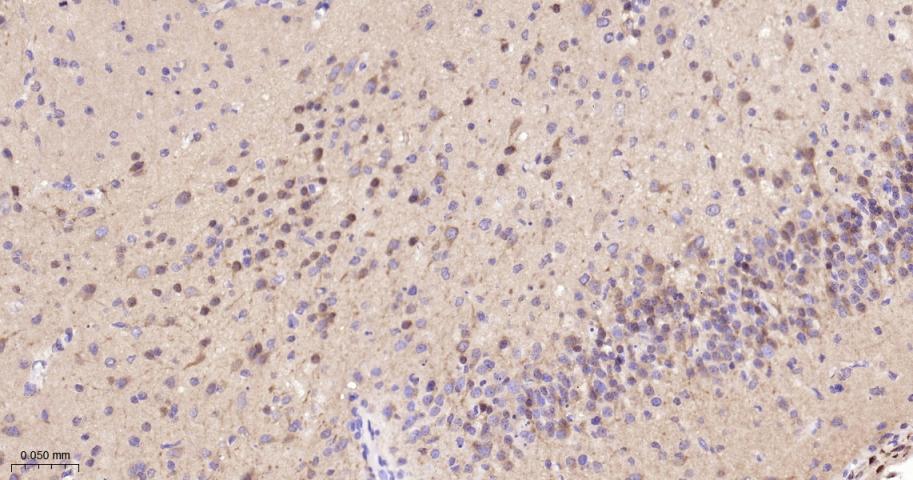
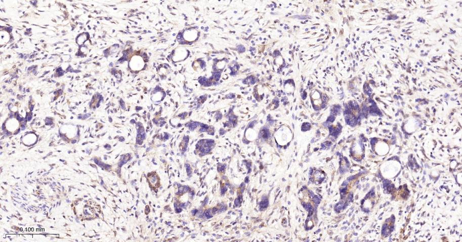
| IHC-P | Human, Mouse, Rat | 1:50-200 | |
| IHC-F | Human, Mouse, Rat | 1:50-200 | |
| IF | Human, Mouse, Rat | 1:50-200 |
交叉反应: Human, Mouse, Rat
暂无相关产品
暂无标记数据
暂无同靶标产品
暂无相关文献
暂无常见问题