Cardiovascular > Atherosclerosis > Diabetes associated
Cardiovascular > Heart > Cardiogenesis > Transcription factors/regulators
Developmental Biology > Lineage specification > Endoderm
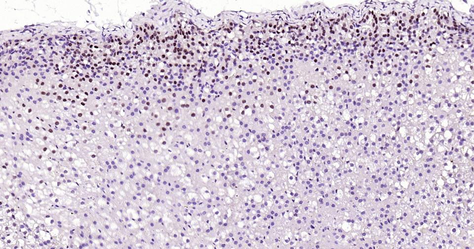
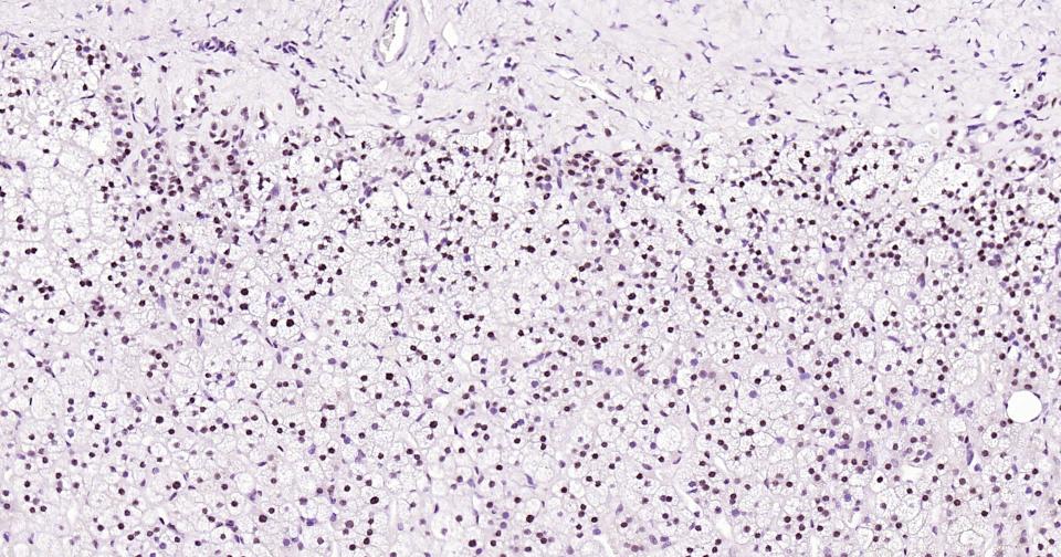
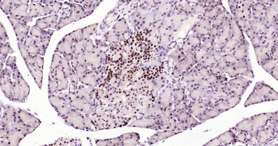
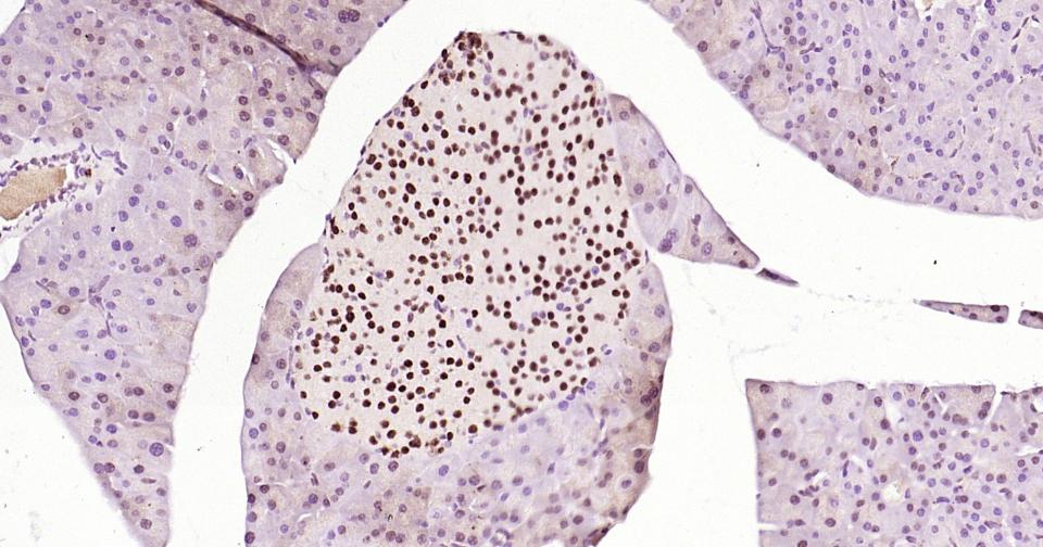
Developmental Biology > Organogenesis > Gut development > Pancreas development
Neuroscience > Cell Type Marker > Neuron marker > Soma marker
Neuroscience > Neurology process > Neurogenesis
Stem Cells > Lineage Markers > Endoderm











| 应用 | 已检合格种属 | 预测种属 | 推荐稀释比例 |
|---|---|---|---|
| WB | Human, Mouse | Rat | 1:500-2000 |
| IHC-P | Human, Mouse, Rat | 1:100-500 | |
| IHC-F | Human, Mouse, Rat | 1:100-500 | |
| IF | Human, Mouse, Rat | 1:100-500 | |
| ICC/IF | Human | Mouse, Rat | 1:50-200 |
| IP | Human, Mouse, Rat | 1:20-50 |
交叉反应: Human, Mouse, Rat
暂无相关产品
暂无标记数据
暂无同靶标产品
暂无相关文献
暂无常见问题