干扰素调节因子4重组兔单抗

Rrmab?兔单抗
2026-03-02~2026-04-30,KXJ26032026-03-02~2026-04-30,促销赠品
干扰素调节因子4重组兔单抗
货号:bsm-62837R
产品详情
相关标记
相关产品
相关文献
常见问题

概述

产品编号
bsm-62837R
产品类型
重组兔单抗、mIHC精品抗体
英文名称
IRF4 Recombinant Rabbit mAb
中文名称
干扰素调节因子4重组兔单抗
英文别名
IMD131; LSIRF; MUM1; NF-EM5; SHEP8; IRF4_HUMAN; IRF4; IRF-4; Lymphocyte-specific interferon regulatory factor (LSIRF); Multiple myeloma oncogene 1;
抗体来源
Rabbit
免疫原
A synthesized peptide derived from human IRF4: 144-450/451
亚型
IgG
性状
Liquid
纯化方法
affinity purified by Protein A
克隆类型
Recombinant
克隆号
10H6
理论分子量
52 kDa
检测分子量
52 kDa
储存液
10mM phosphate buffered saline(pH 7.4) with 150mM sodium chloride, 0.05% BSA, 0.02% Proclin300 and 50% glycerol.
SWISS
Gene ID
保存条件
Store at 4℃ for short term. Store at -20℃ for long term. Avoid repeated freeze/thaw cycles.
注意事项
This product as supplied is intended for research use only, not for use in human, therapeutic or diagnostic applications.
产品介绍
转录调节因子(Transcriptin Regulators)
干扰素调节因子家族是一大类对干扰素起调控作用的转录因子的统称。一般认为干扰素调节因子(IRF)通过调节干扰素的表达而行使其抗病毒、应激、免疫调节功能。近年来,研究人员发现IRF在细胞凋亡、细胞周期、细胞分化、肿瘤发生中也起着重要的调节作用。
背景资料
Transcriptional activator. Binds to the interferon-stimulated response element (ISRE) of the MHC class I promoter. Binds the immunoglobulin lambda light chain enhancer, together with PU.1. Probably plays a role in ISRE-targeted signal transduction mechanisms specific to lymphoid cells.
干扰素调节因子4重组兔单抗干扰素调节因子4重组兔单抗干扰素调节因子4重组兔单抗干扰素调节因子4重组兔单抗干扰素调节因子4重组兔单抗干扰素调节因子4重组兔单抗干扰素调节因子4重组兔单抗

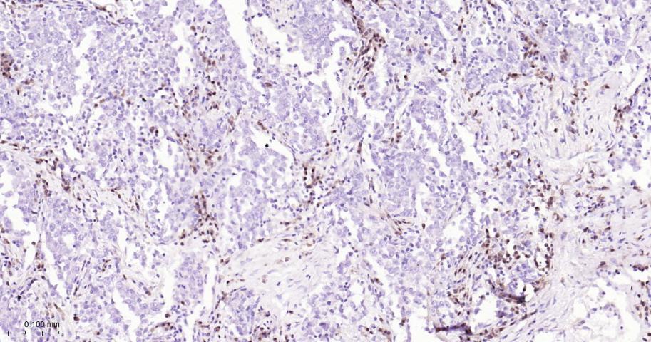
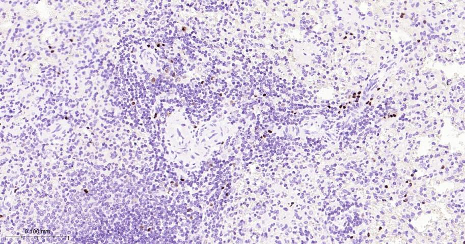
产品应用

应用已检合格种属预测种属推荐稀释比例
WBHuman1:1000-2000
IHC-PHuman1:100-500
IHC-FHuman1:100-500
IFHuman1:100-500
Flow-CytHuman1ug/Test
ICC/IFHuman1:50-200
IPHuman1:20-50

交叉反应

交叉反应: Human

相关产品

暂无相关产品

靶标

基因名
IRF4
蛋白名
Interferon regulatory factor 4
亚基
Interacts with the BATF-JUNB heterodimer. Interacts with BATF (via bZIP domain); the interaction is direct (By similarity). Interacts with SPIB and DEF6.
亚细胞定位
Nucleus.
组织特异性
Lymphoid cells.
翻译后修饰
Phosphorylation by ROCK2 regulates IL-17 and IL-21 production (By similarity).
疾病
Multiple myeloma (MM) [MIM:254500]: A malignant tumor of plasma cells usually arising in the bone marrow and characterized by diffuse involvement of the skeletal system, hyperglobulinemia, Bence-Jones proteinuria and anemia. Complications of multiple myeloma are bone pain, hypercalcemia, renal failure and spinal cord compression. The aberrant antibodies that are produced lead to impaired humoral immunity and patients have a high prevalence of infection. Amyloidosis may develop in some patients. Multiple myeloma is part of a spectrum of diseases ranging from monoclonal gammopathy of unknown significance (MGUS) to plasma cell leukemia. Note=The gene represented in this entry may be involved in disease pathogenesis. A chromosomal aberration involving IRF4 has been found in multiple myeloma. Translocation t(6;14)(p25;q32) with the IgH locus.
相似性
Belongs to the IRF family.
Contains 1 IRF tryptophan pentad repeat DNA-binding domain.
功能
Transcriptional activator. Binds to the interferon-stimulated response element (ISRE) of the MHC class I promoter. Binds the immunoglobulin lambda light chain enhancer, together with PU.1. Probably plays a role in ISRE-targeted signal transduction mechanisms specific to lymphoid cells. Involved in CD8(+) dendritic cell differentiation by forming a complex with the BATF-JUNB heterodimer in immune cells, leading to recognition of AICE sequence (5'-TGAnTCA/GAAA-3'), an immune-specific regulatory element, followed by cooperative binding of BATF and IRF4 and activation of genes (By similarity).

标记抗体

暂无标记数据

同靶标产品

暂无同靶标产品

相关文献

提示: 发表研究结果有使用 bsm-62837R 时请让我们知道,以便我们可以引用参考文章。作为回馈,资料提供者将获得我们送上的小礼品。

暂无相关文献

常见问题

暂无常见问题