生长抑素重组兔单抗

Rrmab?兔单抗
2026-03-02~2026-04-30,KXJ26032026-03-02~2026-04-30,促销赠品
生长抑素重组兔单抗
货号:bsm-62828R
产品详情
相关标记
相关产品
相关文献
常见问题

概述

产品编号
bsm-62828R
产品类型
重组兔单抗、mIHC精品抗体
英文名称
Somatostatin 28 Recombinant Rabbit mAb
中文名称
生长抑素重组兔单抗
英文别名
PSS1; SRIF; SS; SS1; SS14; SST; SMST; SST1; SOM; SS-14; SS-28; SMS_CHICK; SMS_BOVIN; SMS_HUMAN; Growth hormone release-inhibiting factor; SMS_MOUSE; SMS_RAT; somatotropin release-inhibiting factor (SRIF);
抗体来源
Rabbit
免疫原
A synthesized peptide derived from human Somatostatin 28: 89-116
亚型
IgG
性状
Liquid
纯化方法
affinity purified by Protein A
克隆类型
Recombinant
克隆号
15C20
理论分子量
13 kDa
检测分子量
13 kDa
储存液
10mM phosphate buffered saline(pH 7.4) with 150mM sodium chloride, 0.05% BSA, 0.02% Proclin300 and 50% glycerol.
SWISS
Gene ID
保存条件
Store at 4℃ for short term. Store at -20℃ for long term. Avoid repeated freeze/thaw cycles.
注意事项
This product as supplied is intended for research use only, not for use in human, therapeutic or diagnostic applications.
产品介绍
生长抑素是胰岛D细胞的一种多肽激素,主要用于胰岛细胞的功能性分类和消化道粘膜中内分泌细胞及肿瘤的研究。
生长抑素在体内分布广泛。在神经系统中,广泛存在于中枢和外周神经系统,在脑内以下丘脑正中隆起的浓度为最高。在新皮层,边缘系统下杏仁核,海马等部位也广泛存在,以皮层含量最高。在脊髓后根和三叉神经神经节内的一级神经元中,亦含生长抑素的免疫反应性物质。生长抑素广泛存在于胃肠道粘膜的“D”细胞,以胃窦和胃体最高,在肠内越往下含量越低。“D”细胞有长的胞浆突起,在幽门腺区止于G细胞和“嗜铬细胞”,在泌酸腺区止于壁细胞和其他上皮细胞。生长抑素通过旁分泌机制由突起释放到G细胞和壁细胞膜上,抑制胃泌素和HCI分泌,在胰腺内,生长抑素由胰岛“D”细胞分泌,通过血液循环对胰岛及消化道起作用,作为旁分泌调节胰岛功能。
生长抑素的生理作用为:抑制垂体生长激素、促甲状腺激素、促肾上腺皮质激素和催乳类的释放,也抑制各种胃肠激素的释放,抑制胃泌素、促胰液素、胆囊收缩素、胃动素、胰多肽、胰高血糖素、肠高血糖素等的释放。同时也抑制胃酸、胃蛋白酶、胰蛋白酶及唾液淀粉酶的分泌。
背景资料
The cyclic tetradecapeptide somatostatin 28 is widely distributed throughout the body and is an important regulator of endocrine and nervous system function. It exerts its biologic actions by binding to specific high affinity receptors on the cell surface.
生长抑素重组兔单抗生长抑素重组兔单抗生长抑素重组兔单抗生长抑素重组兔单抗生长抑素重组兔单抗生长抑素重组兔单抗生长抑素重组兔单抗生长抑素重组兔单抗生长抑素重组兔单抗生长抑素重组兔单抗

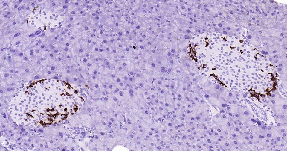
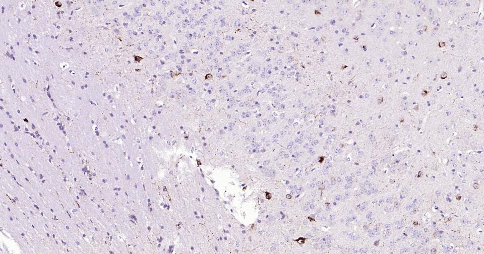
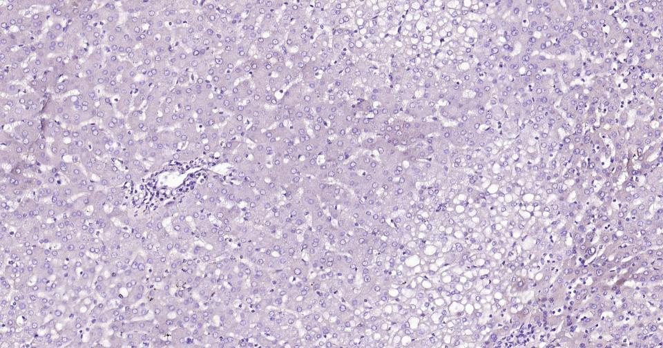
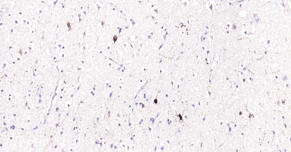
产品应用

应用已检合格种属预测种属推荐稀释比例
IHC-PHuman, Mouse, Rat1:50-200
IHC-FHuman, Mouse, Rat1:50-200
IFHuman, Mouse, Rat1:50-200

交叉反应

交叉反应: Human, Mouse, Rat

相关产品

暂无相关产品

靶标

基因名
SST
蛋白名
Somatostatin
亚细胞定位
Secreted.
相似性
Belongs to the somatostatin family.
功能
The cyclic tetradecapeptide somatostatin is widely distributed throughout the body and is an important regulator of endocrine and nervous system function. It exerts its biologic actions by binding to specific high affinity receptors on the cell surface. Somatostatin inhibits the release of somatotropin. Somatostatin has also been shown in sympathetic nerves, mucosal cells, myenteric nerves of the gastrointestinal tract, salivary glands and in some parafollicular cells of the thyroid. Somatostatin positive cells may also be present in medullary thyroid carcinomas, C cell hyperplasia, thymic and lung tumors and pulmonary small cell carcinomas.

标记抗体

暂无标记数据

同靶标产品

暂无同靶标产品

相关文献

提示: 发表研究结果有使用 bsm-62828R 时请让我们知道,以便我们可以引用参考文章。作为回馈,资料提供者将获得我们送上的小礼品。

暂无相关文献

常见问题

暂无常见问题