Cancer > Cell Death > Apoptosis > Apoptosis Markers > NFkB > IKK
Cardiovascular > Atherosclerosis > Vascular Inflammation > Inflammatory mediators
Cell Biology > Apoptosis > Intracellular > NFkB > IKK
Immunology > Innate Immunity > TLR Signaling
Signal Transduction > Protein Phosphorylation > Ser / Thr Kinases > Other Kinases
Signal Transduction > Signaling Pathway > Nuclear Signaling > NFkB Pathway







| 应用 | 已检合格种属 | 预测种属 | 推荐稀释比例 |
|---|---|---|---|
| WB | Human, Mouse | Rat | 1:500-2000 |
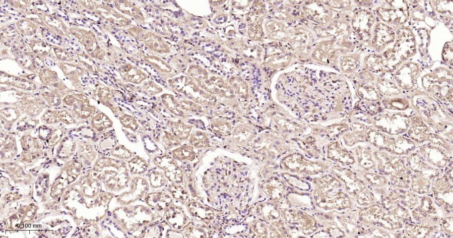
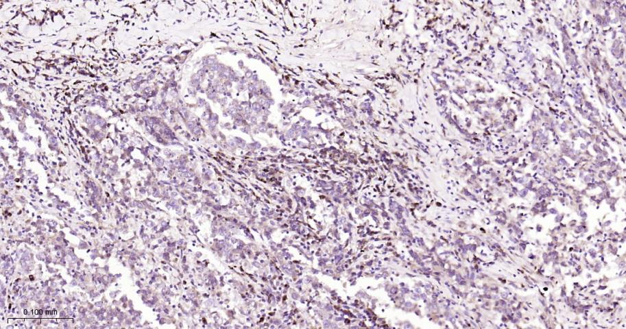
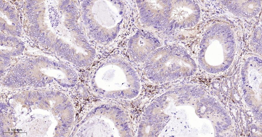
| IHC-P | Human, Rat | Mouse | 1:50-200 |
| IHC-F | Human, Rat | Mouse | 1:50-200 |
| IF | Human, Rat | Mouse | 1:50-200 |
| ICC/IF | Human, Mouse, Rat | 1:50-200 |
交叉反应: Human, Mouse, Rat
暂无相关产品
暂无标记数据
暂无同靶标产品
暂无相关文献
暂无常见问题