Cardiovascular > Heart > Contractility > Inotropics
Cardiovascular > Vasculature > Vasodilation
Neuroscience > Neurotransmission > Receptors / Channels > GPCR > More GPCR
Neuroscience > Neurotransmitter > Neuropeptides > Hormones
Neuroscience > Neurotransmitter > Neuropeptides > More Neuropeptides
Signal Transduction > Signaling Pathway > G Protein Signaling > GPCR




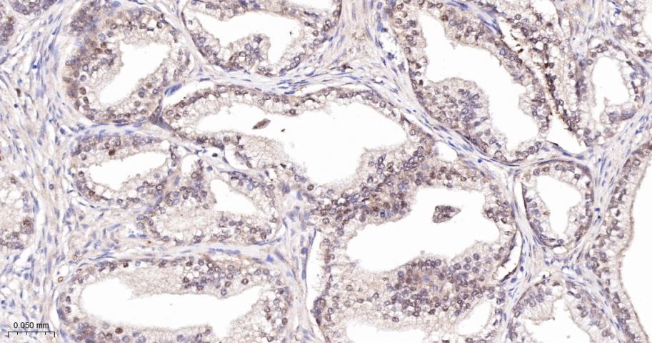
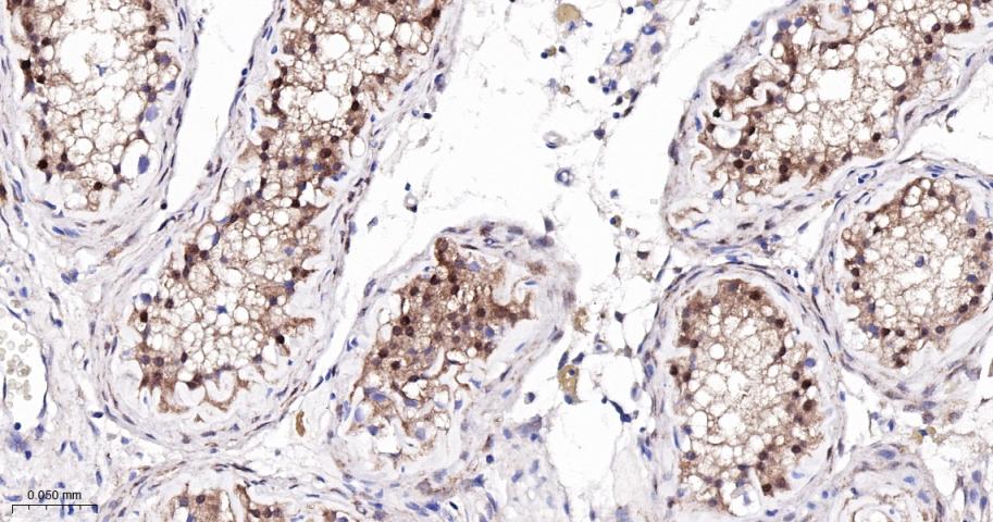
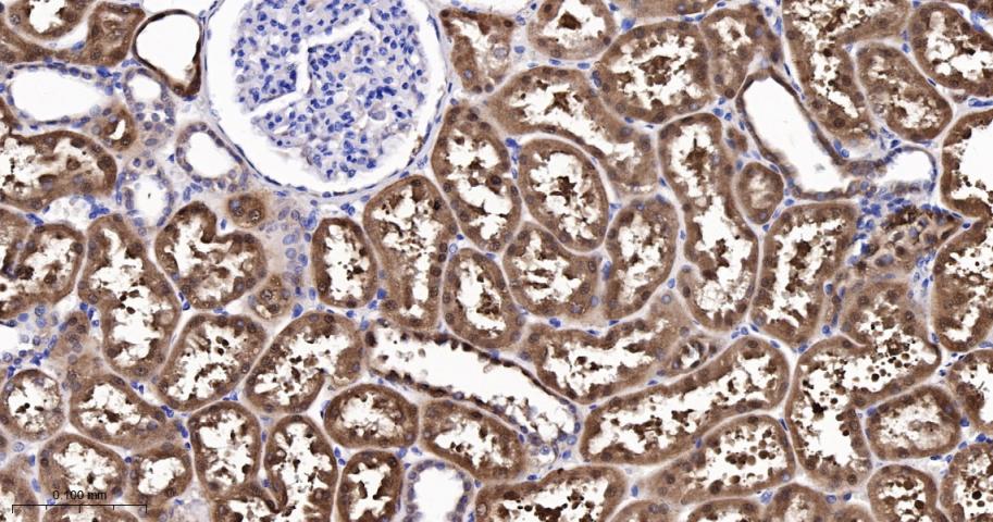
| 应用 | 已检合格种属 | 预测种属 | 推荐稀释比例 |
|---|---|---|---|
| WB | Human, Mouse | Rat | 1:500-2000 |
| IHC-P | Human | Mouse, Rat | 1:50-200 |
| IHC-F | Human | Mouse, Rat | 1:50-200 |
| IF | Human | Mouse, Rat | 1:50-200 |
| IP | Human, Mouse, Rat | 1:20-50 |
交叉反应: Human, Mouse (predicted: Rat)
暂无相关产品