Cancer > Cancer Metabolism > Metabolic signaling pathway > Integration of energy metabolism
Cell Biology > Other Antibodies > Oxidative Stress
Metabolism > Pathways and Processes > Metabolic signaling pathways > Energy transfer pathways > Integration of energy
Metabolism > Pathways and Processes > Mitochondrial Metabolism > Mitochondrial markers
Metabolism > Pathways and Processes > Mitochondrial Metabolism > Oxidative phosphorylation > Complex I
Metabolism > Pathways and Processes > Redox metabolism > Oxidative stress
Signal Transduction > Metabolism > Mitochondrial
Tags & Cell Markers > Subcellular Markers > Organelles > Mitochondria
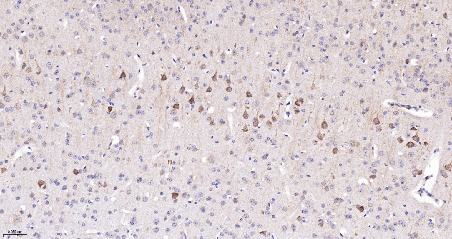
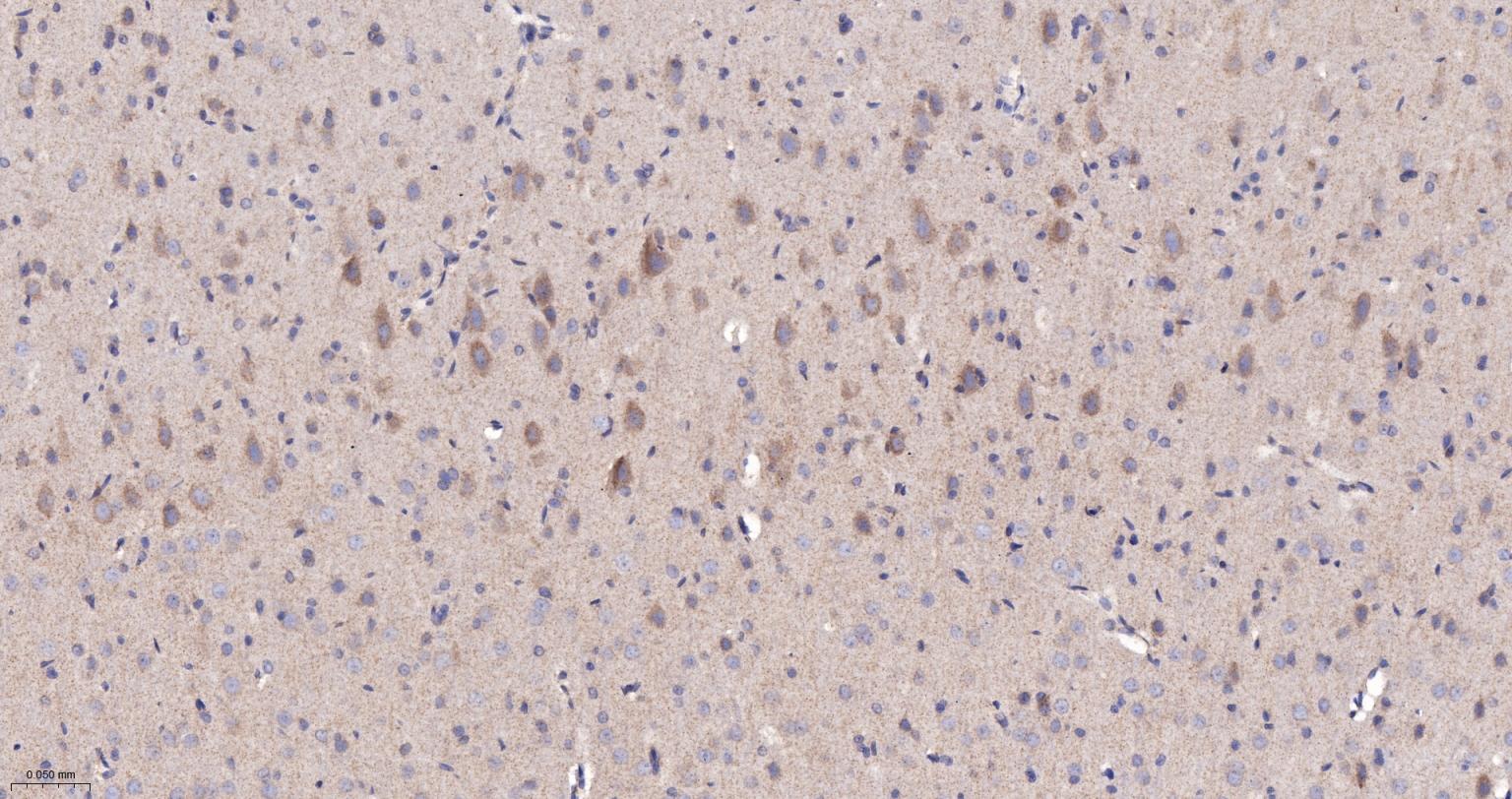
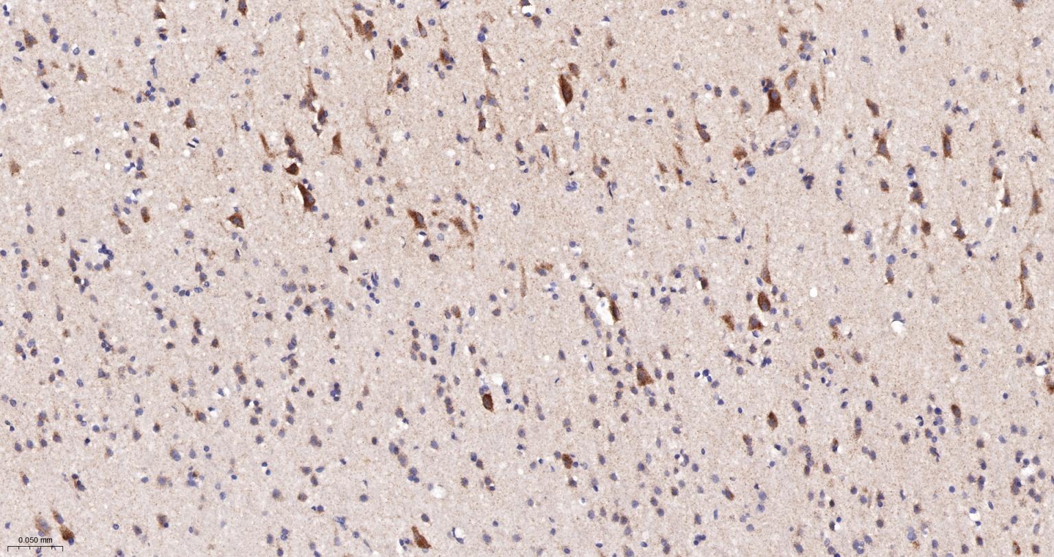
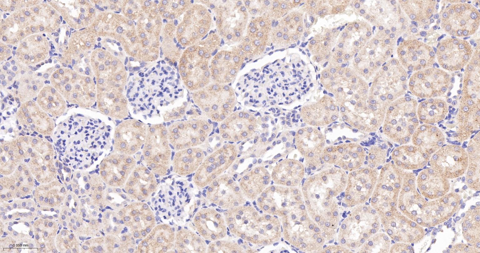
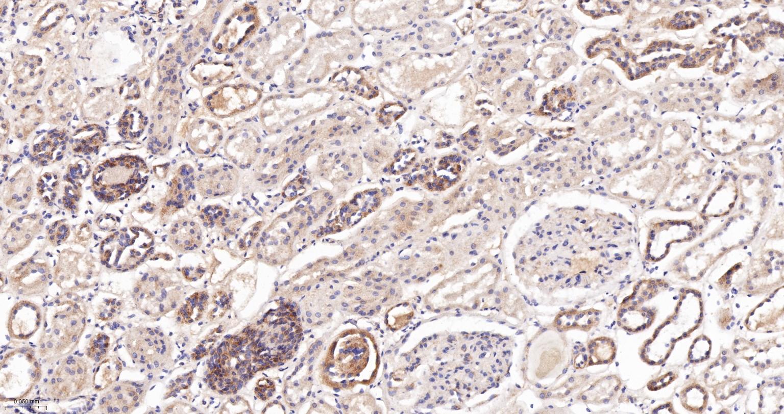
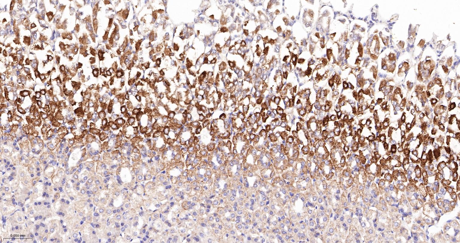
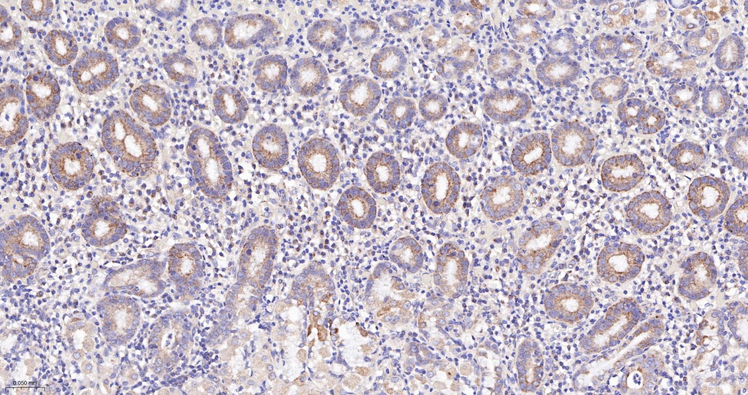
Core subunit of the mitochondrial membrane respiratory chain NADH dehydrogenase (Complex I) which catalyzes electron transfer from NADH through the respiratory chain, using ubiquinone as an electron acceptor.











| 应用 | 已检合格种属 | 预测种属 | 推荐稀释比例 |
|---|---|---|---|
| WB | Human, Mouse, Rat | 1:1000-2000 | |
| IHC-P | Human, Mouse, Rat | 1:100-500 | |
| IHC-F | Human, Mouse, Rat | 1:100-500 | |
| IF | Human, Mouse, Rat | 1:100-500 | |
| IP | Human, Mouse, Rat | 1:50-100 |
交叉反应: Human, Mouse, Rat
暂无相关产品