IFT88 Recombinant Rabbit mAb (一抗) - WB,IHC-P,IHC-F,IF | Bioss

Rrmab?兔单抗
2026-05-01~2026-06-30,AB2605
IFT88 Recombinant Rabbit mAb (一抗) - WB,IHC-P,IHC-F,IF | Bioss
货号:bsm-62706R
产品详情
相关标记
相关产品
相关文献
常见问题

概述

产品编号
bsm-62706R
产品类型
重组兔单抗
英文名称
IFT88 Recombinant Rabbit mAb
中文名称
IFT88重组兔单抗
英文别名
IFT88_HUMAN; IFT88; Recessive polycystic kidney disease protein Tg737 homolog; Tetratricopeptide repeat protein 10 (TPR repeat protein 10); TG737; TTC10; D13S1056E; DAF19; hTg737;
抗体来源
Rabbit
免疫原
A synthesized peptide derived from human IFT88: 1-28
亚型
IgG
性状
Liquid
纯化方法
affinity purified by Protein A
克隆类型
Recombinant
克隆号
4A12
理论分子量
93 kDa
检测分子量
80 kDa
储存液
10mM phosphate buffered saline(pH 7.4) with 150mM sodium chloride, 0.05% BSA, 0.02% Proclin300 and 50% glycerol.
SWISS
Gene ID
保存条件
Store at 4℃ for short term. Store at -20℃ for long term. Avoid repeated freeze/thaw cycles.
注意事项
This product as supplied is intended for research use only, not for use in human, therapeutic or diagnostic applications.
背景资料
Involved in primary cilium biogenesis.
IFT88重组兔单抗-bsm-62706RIFT88重组兔单抗-bsm-62706RIFT88重组兔单抗-bsm-62706RIFT88重组兔单抗-bsm-62706RIFT88重组兔单抗-bsm-62706RIFT88重组兔单抗-bsm-62706RIFT88重组兔单抗-bsm-62706RIFT88重组兔单抗-bsm-62706RIFT88重组兔单抗-bsm-62706R

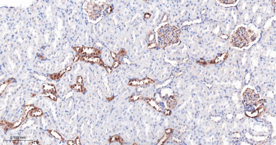
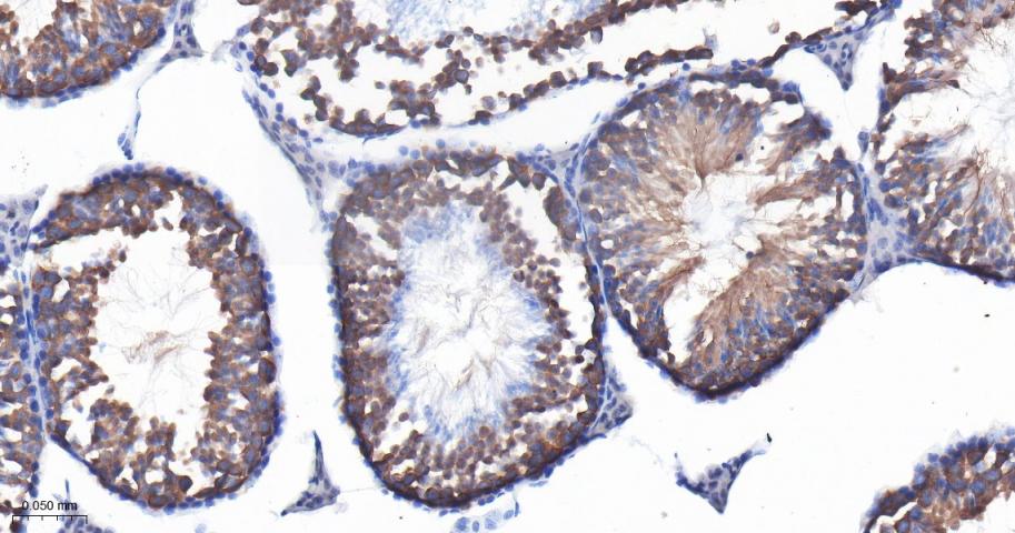
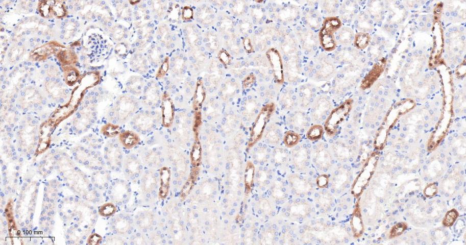
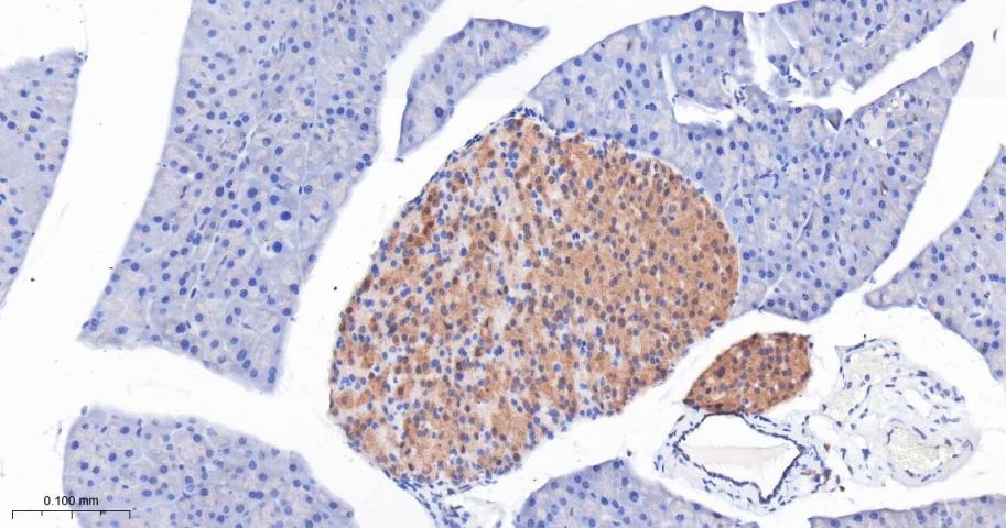
产品应用

应用已检合格种属预测种属推荐稀释比例
WBHumanMouse, Rat1:500-2000
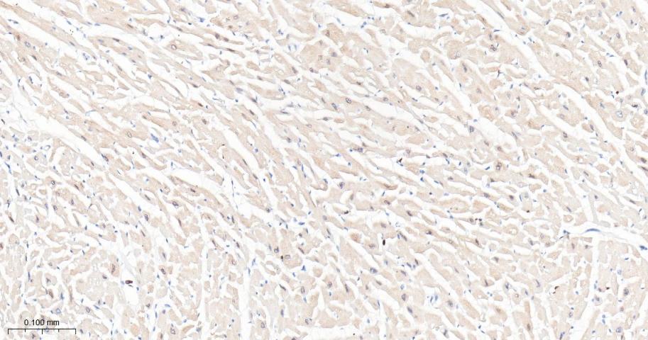
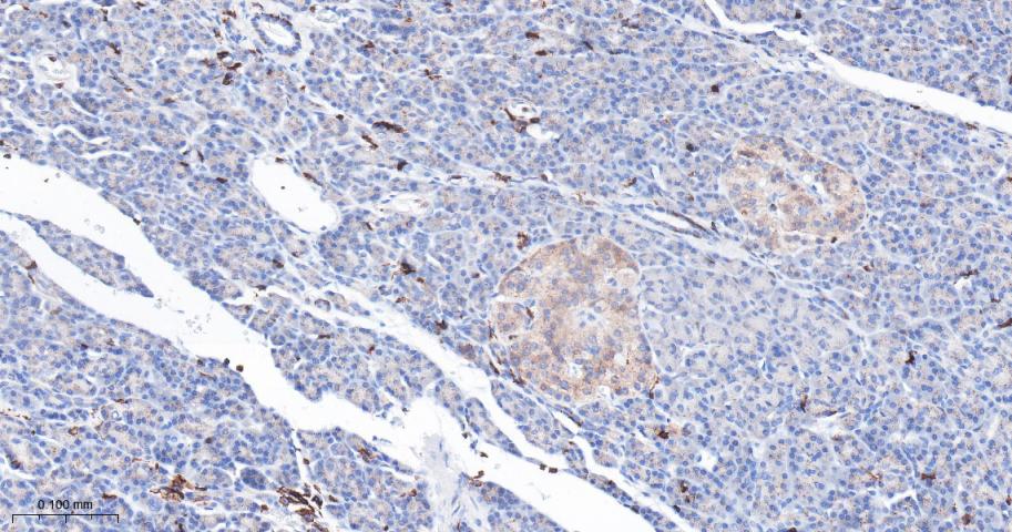
IHC-PHuman, Mouse, Rat1:100-500
IHC-FHuman, Mouse, Rat1:100-500
IFHuman, Mouse, Rat1:100-500

交叉反应

交叉反应: Human, Mouse, Rat

相关产品

暂无相关产品

靶标

基因名
IFT88
蛋白名
Intraflagellar transport protein 88 homolog

同靶标产品

相关文献

提示: 发表研究结果有使用 bsm-62706R 时请让我们知道,以便我们可以引用参考文章。作为回馈,资料提供者将获得我们送上的小礼品。

常见问题