过氧化物酶体生物合成因子11B重组兔单抗

Rrmab?兔单抗
2026-03-02~2026-04-30,KXJ26032026-03-02~2026-04-30,促销赠品
过氧化物酶体生物合成因子11B重组兔单抗
货号:bsm-62689R
产品详情
相关标记
相关产品
相关文献
常见问题

概述

产品编号
bsm-62689R
产品类型
重组兔单抗
英文名称
PEX11B Recombinant Rabbit mAb
中文名称
过氧化物酶体生物合成因子11B重组兔单抗
英文别名
PEX11-BETA; PEX11beta; PEX14B; Pex11pbeta; PX11B_HUMAN; PEX11B; Peroxin-11B; Peroxisomal biogenesis factor 11B; Protein PEX11 homolog beta (PEX11-beta); PX11B_MOUSE;
抗体来源
Rabbit
免疫原
A synthesized peptide derived from human Peroxin 11B: 101-135
亚型
IgG
性状
Liquid
纯化方法
affinity purified by Protein A
克隆类型
Recombinant
克隆号
9H5
理论分子量
28 kDa
检测分子量
25 kDa
储存液
10mM phosphate buffered saline(pH 7.4) with 150mM sodium chloride, 0.05% BSA, 0.02% Proclin300 and 50% glycerol.
SWISS
Gene ID
保存条件
Store at 4℃ for short term. Store at -20℃ for long term. Avoid repeated freeze/thaw cycles.
注意事项
This product as supplied is intended for research use only, not for use in human, therapeutic or diagnostic applications.
背景资料
Involved in peroxisomal proliferation. May regulate peroxisomes division by recruiting the dynamin-related GTPase DNM1L to the peroxisomal membrane.
过氧化物酶体生物合成因子11B重组兔单抗过氧化物酶体生物合成因子11B重组兔单抗过氧化物酶体生物合成因子11B重组兔单抗过氧化物酶体生物合成因子11B重组兔单抗

产品应用

应用已检合格种属预测种属推荐稀释比例
WBHuman1:500-2000
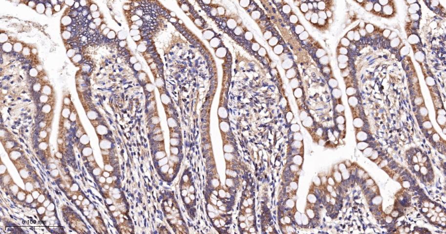
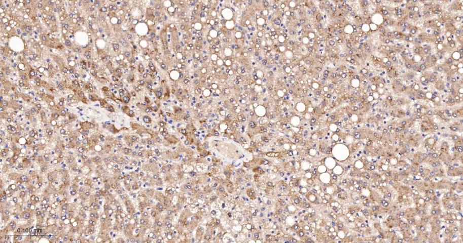
IHC-PHuman1:100-500
IHC-FHuman1:100-500
IFHuman1:100-500
Flow-CytHuman1:50-100
ICC/IFHuman1:50-200

交叉反应

交叉反应: Human

相关产品

暂无相关产品

靶标

基因名
PEX11B
蛋白名
Peroxisomal membrane protein 11B
亚细胞定位
Peroxisome membrane.
相似性
Belongs to the peroxin-11 family.
功能
Involved in peroxisomal proliferation. May regulate peroxisomes division by recruiting the dynamin-related GTPase DNM1L to the peroxisomal membrane.

标记抗体

暂无标记数据

同靶标产品

暂无同靶标产品

相关文献

提示: 发表研究结果有使用 bsm-62689R 时请让我们知道,以便我们可以引用参考文章。作为回馈,资料提供者将获得我们送上的小礼品。

暂无相关文献

常见问题

暂无常见问题