GRP78/Bip Recombinant Rabbit mAb (一抗) - IHC-P,IHC-F,IF,ICC/IF | Bioss

Rrmab?兔单抗
2026-05-01~2026-06-30,AB2605
GRP78/Bip Recombinant Rabbit mAb (一抗) - IHC-P,IHC-F,IF,ICC/IF | Bioss
货号:bsm-62645R
产品详情
相关标记
相关产品
相关文献
常见问题

概述

产品编号
bsm-62645R
产品类型
重组兔单抗
英文名称
GRP78/Bip Recombinant Rabbit mAb
中文名称
葡萄糖调节蛋白78重组兔单抗
英文别名
BIP; GRP78; HEL-S-89n; BIP_HUMAN; HSPA5; 78 kDa glucose-regulated protein (GRP-78); Binding-immunoglobulin protein (BiP); Heat shock protein 70 family protein 5 (HSP70 family protein 5); Heat shock protein family A member 5; Immunoglobulin heavy chain-binding protein; 3.6.4.10;
抗体来源
Rabbit
免疫原
A synthesized peptide derived from human GRP78 BiP: 600-654
亚型
IgG
性状
Liquid
纯化方法
affinity purified by Protein A
克隆类型
Recombinant
克隆号
9D16
理论分子量
72 kDa
检测分子量
78 kDa
储存液
10mM phosphate buffered saline(pH 7.4) with 150mM sodium chloride, 0.05% BSA, 0.02% Proclin300 and 50% glycerol.
SWISS
Gene ID
保存条件
Store at 4℃ for short term. Store at -20℃ for long term. Avoid repeated freeze/thaw cycles.
注意事项
This product as supplied is intended for research use only, not for use in human, therapeutic or diagnostic applications.
产品介绍
葡萄糖调节蛋白78是热休克蛋白70家族的成员之一,又称:热休克蛋白70蛋白5,作为一种分子伴侣在蛋白质的折叠和转运过程及内质网应激反应中发挥重要作用.它在多种肿瘤组织中呈高表达.
背景资料
Endoplasmic reticulum chaperone that plays a key role in protein folding and quality control in the endoplasmic reticulum lumen. Involved in the correct folding of proteins and degradation of misfolded proteins via its interaction with DNAJC10/ERdj5, probably to facilitate the release of DNAJC10/ERdj5 from its substrate.
葡萄糖调节蛋白78重组兔单抗-bsm-62645R葡萄糖调节蛋白78重组兔单抗-bsm-62645R葡萄糖调节蛋白78重组兔单抗-bsm-62645R葡萄糖调节蛋白78重组兔单抗-bsm-62645R葡萄糖调节蛋白78重组兔单抗-bsm-62645R葡萄糖调节蛋白78重组兔单抗-bsm-62645R葡萄糖调节蛋白78重组兔单抗-bsm-62645R葡萄糖调节蛋白78重组兔单抗-bsm-62645R

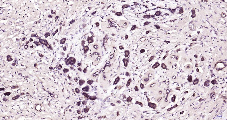
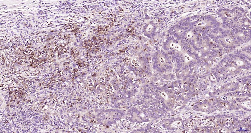
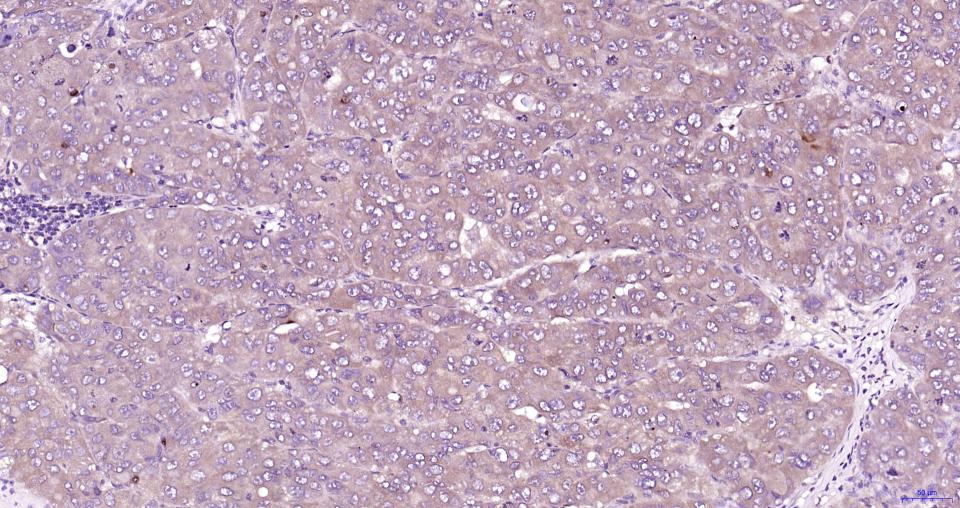
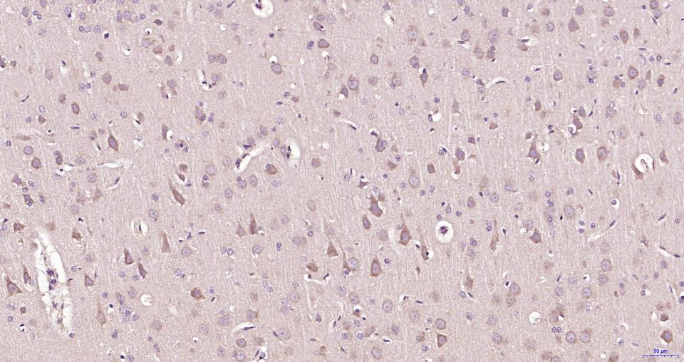
产品应用

应用已检合格种属预测种属推荐稀释比例
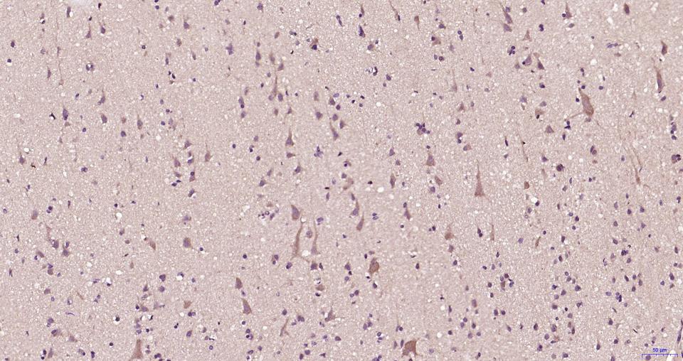
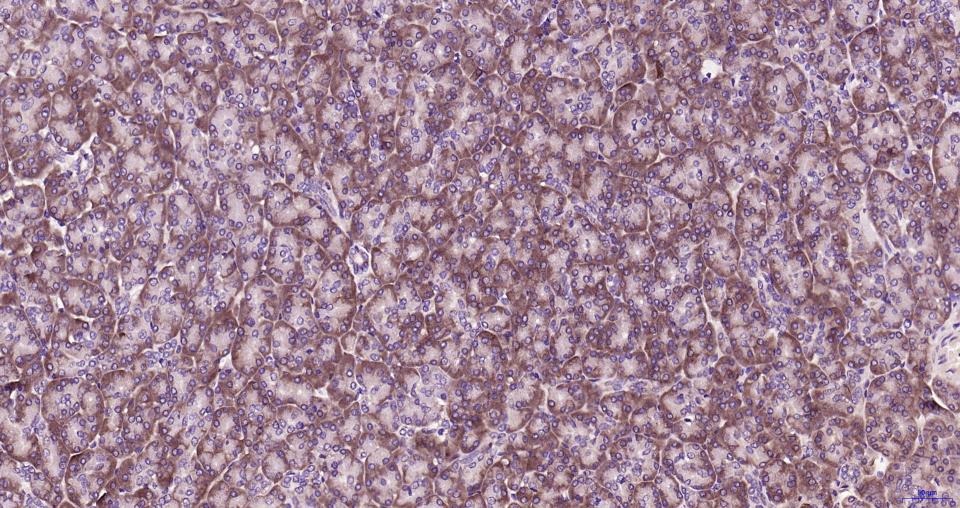
IHC-PHuman, Mouse, Rat1:50-200
IHC-FHuman, Mouse, Rat1:50-200
IFHuman, Mouse, Rat1:50-200
ICC/IFHumanMouse, Rat1:50-200

交叉反应

交叉反应: Human, Mouse, Rat

相关产品

暂无相关产品

靶标

基因名
HSPA5
蛋白名
Endoplasmic reticulum chaperone BiP
亚细胞定位
Endoplasmic reticulum lumen. Melanosome. Identified by mass spectrometry in melanosome fractions from stage I to stage IV.
疾病
Note=Autoantigen in rheumatoid arthritis.
相似性
Belongs to the heat shock protein 70 family.
功能
Probably plays a role in facilitating the assembly of multimeric protein complexes inside the ER.

同靶标产品

相关文献

提示: 发表研究结果有使用 bsm-62645R 时请让我们知道,以便我们可以引用参考文章。作为回馈,资料提供者将获得我们送上的小礼品。

常见问题