B淋巴细胞连接蛋白重组兔单抗

Rrmab?兔单抗
2026-03-02~2026-04-30,KXJ26032026-03-02~2026-04-30,促销赠品
B淋巴细胞连接蛋白重组兔单抗
货号:bsm-62608R
产品详情
相关标记
相关产品
相关文献
常见问题

概述

产品编号
bsm-62608R
产品类型
重组兔单抗
英文名称
BLNK Recombinant Rabbit mAb
中文名称
B淋巴细胞连接蛋白重组兔单抗
英文别名
AGM4; BASH; BLNK-S; LY57; SLP-65; SLP65; bca; Ly-57; Lyw-57; BLNK_HUMAN; BLNK; B-cell adapter containing a SH2 domain protein; B-cell adapter containing a Src homology 2 domain protein; Cytoplasmic adapter protein; Src homology 2 domain-containing leukocyte protein of 65 kDa (SLP-65); BLNK_MOUSE; Lymphocyte antigen 57; BLNK_RAT;
抗体来源
Rabbit
免疫原
A synthesized peptide derived from human BLNK: 401-456
亚型
IgG
性状
Liquid
纯化方法
affinity purified by Protein A
克隆类型
Recombinant
克隆号
1A12
理论分子量
50 kDa
检测分子量
70 kDa
储存液
10mM phosphate buffered saline(pH 7.4) with 150mM sodium chloride, 0.05% BSA, 0.02% Proclin300 and 50% glycerol.
SWISS
Gene ID
保存条件
Store at 4℃ for short term. Store at -20℃ for long term. Avoid repeated freeze/thaw cycles.
注意事项
This product as supplied is intended for research use only, not for use in human, therapeutic or diagnostic applications.
背景资料
Functions as a central linker protein, downstream of the B-cell receptor (BCR), bridging the SYK kinase to a multitude of signaling pathways and regulating biological outcomes of B-cell function and development. Plays a role in the activation of ERK/EPHB2, MAP kinase p38 and JNK. Modulates AP1 activation. Important for the activation of NF-kappa-B and NFAT. Plays an important role in BCR-mediated PLCG1 and PLCG2 activation and Ca2+ mobilization and is required for trafficking of the BCR to late endosomes.
B淋巴细胞连接蛋白重组兔单抗B淋巴细胞连接蛋白重组兔单抗B淋巴细胞连接蛋白重组兔单抗B淋巴细胞连接蛋白重组兔单抗B淋巴细胞连接蛋白重组兔单抗

产品应用

应用已检合格种属预测种属推荐稀释比例
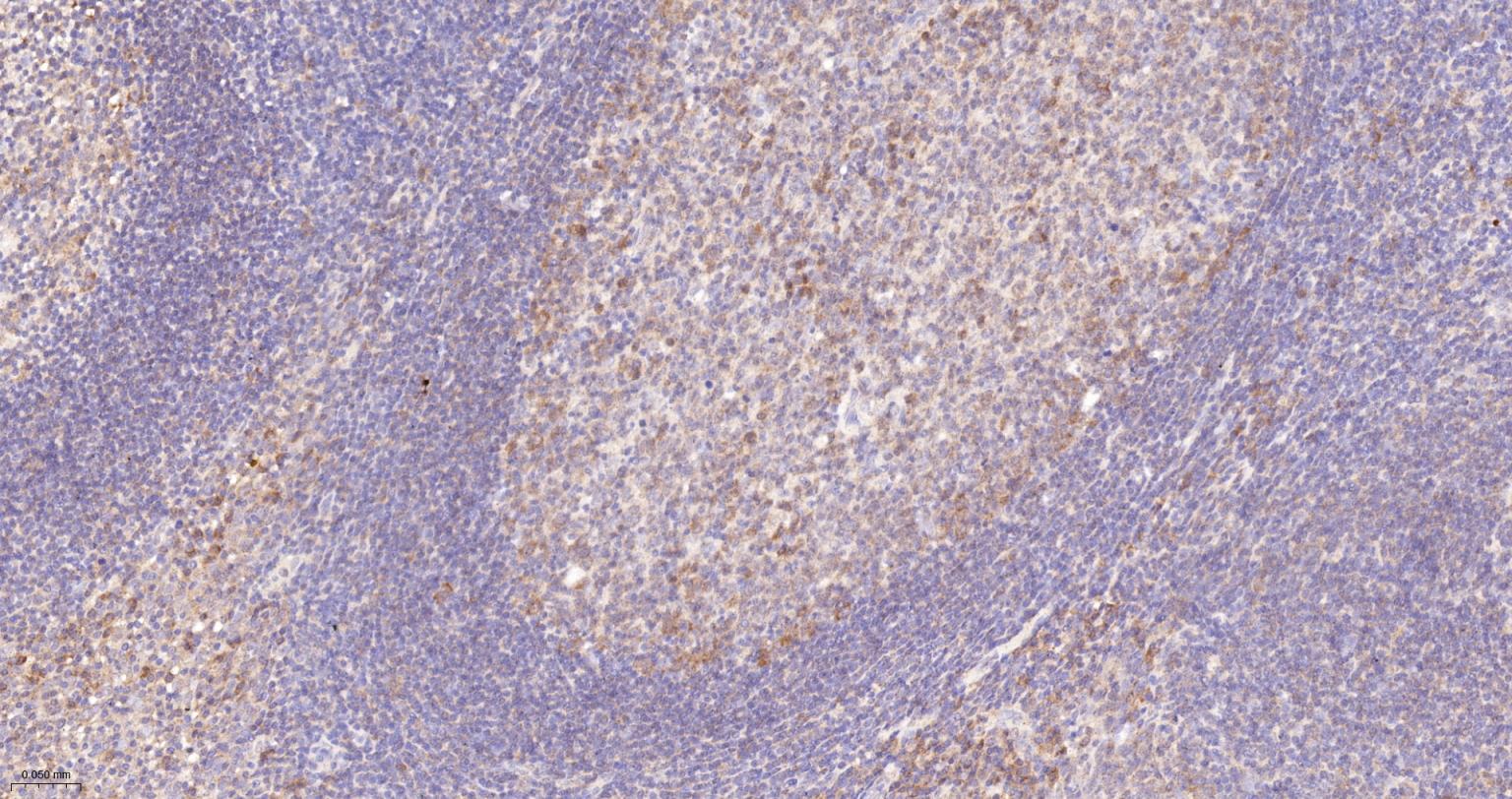
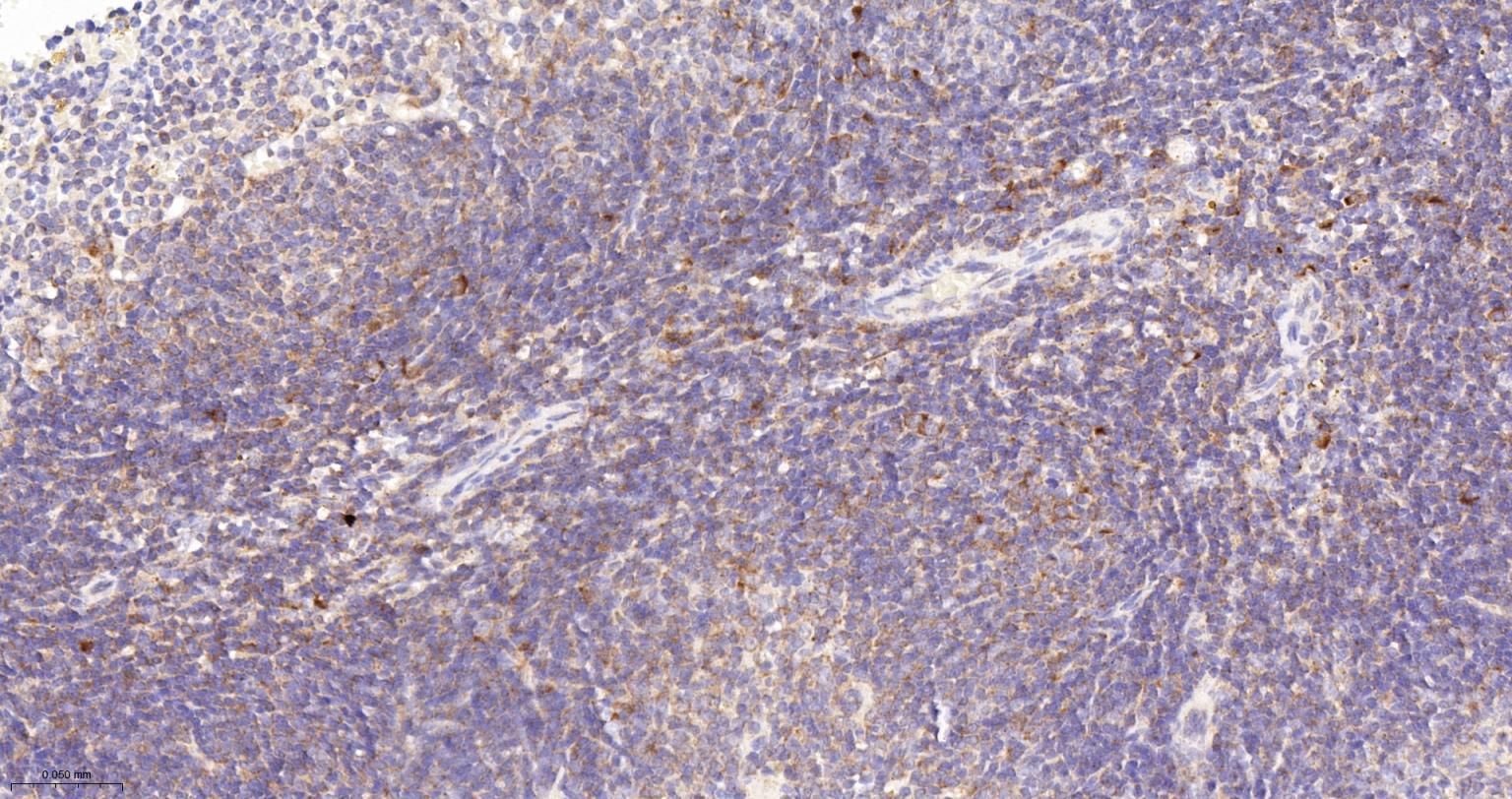
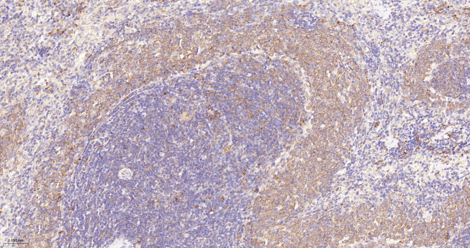
IHC-PHuman, Mouse, Rat1:50-200
IHC-FHuman, Mouse, Rat1:50-200
IFHuman, Mouse, Rat1:50-200
Flow-CytHumanMouse, Rat1:50-100
ICC/IFHumanMouse, Rat1:100-500

交叉反应

交叉反应: Human, Mouse, Rat

相关产品

暂无相关产品

靶标

基因名
BLNK
蛋白名
B-cell linker protein
亚基
Associates with PLCG1, VAV1 and NCK1 in a B-cell antigen receptor-dependent fashion. Interacts with VAV3, PLCG2 and GRB2. Interacts through its SH2 domain with CD79A.
亚细胞定位
Cytoplasm. Cell membrane. Note=BCR activation results in the translocation to membrane fraction.
组织特异性
Expressed in B-cell lineage and fibroblast cell lines (at protein level). Highest levels of expression in the spleen, with lower levels in the liver, kidney, pancreas, small intestines and colon.
翻译后修饰
Following BCR activation, phosphorylated on tyrosine residues by SYK and LYN. When phosphorylated, serves as a scaffold to assemble downstream targets of antigen activation, including PLCG1, VAV1, GRB2 and NCK1. Phosphorylation of Tyr-84, Tyr-178 and Tyr-189 facilitates PLCG1 binding. Phosphorylation of Tyr-96 facilitates BTK binding. Phosphorylation of Tyr-72 facilitates VAV1 and NCK1 binding. Phosphorylation is required for both Ca(2+) and MAPK signaling pathways.
疾病
Defects in BLNK are the cause of agammaglobulinemia type 4 (AGM4) [MIM:613502]. It is a primary immunodeficiency characterized by profoundly low or absent serum antibodies and low or absent circulating B cells due to an early block of B-cell development. Affected individuals develop severe infections in the first years of life.
相似性
Contains 1 SH2 domain.
功能
Functions as a central linker protein that bridges kinases associated with the B-cell receptor (BCR) with a multitude of signaling pathways, regulating biological outcomes of B-cell function and development. Plays a role in the activation of ERK/EPHB2, MAP kinase p38 and JNK. Modulates AP1 activation. Important for the activation of NF-kappa-B and NFAT. Plays an important role in BCR-mediated PLCG1 and PLCG2 activation and Ca(2+) mobilization and is required for trafficking of the BCR to late endosomes. However, does not seem to be required for pre-BCR-mediated activation of MAP kinase and phosphatidyl-inositol 3 (PI3) kinase signaling. May be required for the RAC1-JNK pathway. Plays a critical role in orchestrating the pro-B cell to pre-B cell transition. Plays an important role in BCR-induced B-cell apoptosis.

标记抗体

暂无标记数据

同靶标产品

暂无同靶标产品

相关文献

提示: 发表研究结果有使用 bsm-62608R 时请让我们知道,以便我们可以引用参考文章。作为回馈,资料提供者将获得我们送上的小礼品。

暂无相关文献

常见问题

暂无常见问题