细胞间粘附分子-2(CD102)重组兔单抗

Rrmab?兔单抗
2026-03-02~2026-04-30,KXJ26032026-03-02~2026-04-30,促销赠品
细胞间粘附分子-2(CD102)重组兔单抗
货号:bsm-62574R
产品详情
相关标记
相关产品
相关文献
常见问题

概述

产品编号
bsm-62574R
产品类型
重组兔单抗
英文名称
ICAM2 Recombinant Rabbit mAb
中文名称
细胞间粘附分子-2(CD102)重组兔单抗
英文别名
CD102; Icam-2; Ly-60; ICAM2_HUMAN; ICAM2; ICAM2_MOUSE; Lymphocyte function-associated AG-1 counter-receptor;
抗体来源
Rabbit
免疫原
A synthesized peptide derived from mouse ICAM 2: 1-240
亚型
IgG
性状
Liquid
纯化方法
affinity purified by Protein A
克隆类型
Recombinant
克隆号
3D3
理论分子量
31 kDa
检测分子量
60 kDa
储存液
10mM phosphate buffered saline(pH 7.4) with 150mM sodium chloride, 0.05% BSA, 0.02% Proclin300 and 50% glycerol.
SWISS
Gene ID
保存条件
Store at 4℃ for short term. Store at -20℃ for long term. Avoid repeated freeze/thaw cycles.
注意事项
This product as supplied is intended for research use only, not for use in human, therapeutic or diagnostic applications.
产品介绍
ICAM-2也是免疫蛋白超家族粘附分子之一.
背景资料
May play a role in lymphocyte recirculation by blocking LFA1 dependent cell adhesion. Mediates adhesive interactions important for antigen specific immune response, NK cell mediated clearance, lymphocyte recirculation, and other cellular interactions important for immune response and surveillance.
细胞间粘附分子-2(CD102)重组兔单抗细胞间粘附分子-2(CD102)重组兔单抗细胞间粘附分子-2(CD102)重组兔单抗细胞间粘附分子-2(CD102)重组兔单抗细胞间粘附分子-2(CD102)重组兔单抗

产品应用

应用已检合格种属预测种属推荐稀释比例
WBMouseHuman1:500-2000
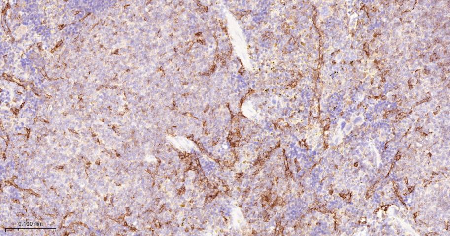
IHC-PMouseHuman1:50-200
IHC-FMouseHuman1:50-200
IFMouseHuman1:50-200
Flow-CytHumanMouse1:50-100
IPHuman, Mouse1:20-50

交叉反应

交叉反应: Human, Mouse

相关产品

暂无相关产品

靶标

基因名
ICAM2
蛋白名
Intercellular adhesion molecule 2
亚细胞定位
Membrane; Single-pass type I membrane protein.
组织特异性
Expressed in endothelial cells and leukocytes. High levels found in lung.
相似性
Belongs to the immunoglobulin superfamily. ICAM family.
Contains 2 Ig-like C2-type (immunoglobulin-like) domains.
功能
ICAM proteins are ligands for the leukocyte adhesion protein LFA-1 (integrin alpha-L/beta-2). ICAM2 may play a role in lymphocyte recirculation by blocking LFA-1-dependent cell adhesion. It mediates adhesive interactions important for antigen-specific immune response, NK-cell mediated clearance, lymphocyte recirculation, and other cellular interactions important for immune response and surveillance.

标记抗体

暂无标记数据

同靶标产品

暂无同靶标产品

相关文献

提示: 发表研究结果有使用 bsm-62574R 时请让我们知道,以便我们可以引用参考文章。作为回馈,资料提供者将获得我们送上的小礼品。

暂无相关文献

常见问题

暂无常见问题