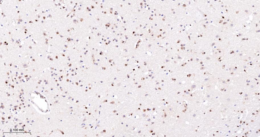
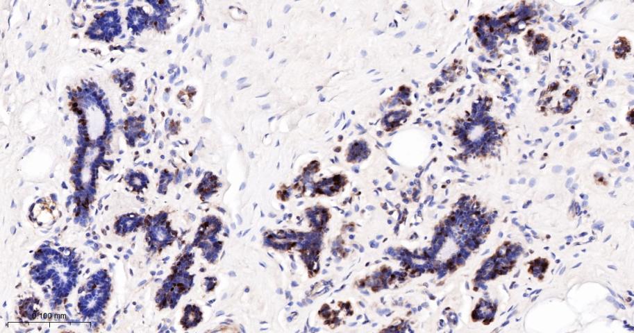
Cancer > Cell Death > Apoptosis > Apoptosis Markers > Bcl 2 family
Cancer > Cell Death > Apoptosis > Metabolism
Cancer > Cell Death > Autophagy > Autophagosome
Cancer > Invasion/microenvironment > Apoptosis > Bcl 2 family
Cardiovascular > Atherosclerosis > Apoptosis
Cardiovascular > Heart > Autophagy > Autophagosome
Cell Biology > Apoptosis > Intracellular > Bcl2 Family
Metabolism > Pathways and Processes > Metabolism processes > Apoptosis
Metabolism > Pathways and Processes > Metabolism processes > Autophagy and mitophagy > Autophagosome







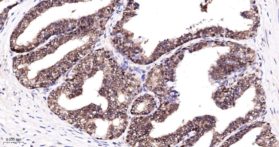
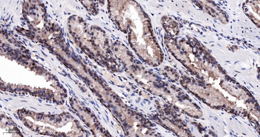
| 应用 | 已检合格种属 | 预测种属 | 推荐稀释比例 |
|---|---|---|---|
| WB | Human | Mouse, Rat | 1:500-1000 |
| IHC-P | Human | Mouse, Rat | 1:50-200 |
| IHC-F | Human | Mouse, Rat | 1:50-200 |
| IF | Human | Mouse, Rat | 1:50-200 |
| ICC/IF | Human, Mouse, Rat | 1:50-200 |
交叉反应: Human (predicted: Mouse, Rat)
暂无相关产品
暂无标记数据
暂无同靶标产品
暂无相关文献
暂无常见问题