辣椒素受体5重组兔单抗

Rrmab?兔单抗
2026-03-02~2026-04-30,KXJ26032026-03-02~2026-04-30,促销赠品
辣椒素受体5重组兔单抗
货号:bsm-62549R
产品详情
相关标记
相关产品
相关文献
常见问题

概述

产品编号
bsm-62549R
产品类型
重组兔单抗
英文名称
TRPV5 Recombinant Rabbit mAb
中文名称
辣椒素受体5重组兔单抗
英文别名
CAT2; ECAC1; OTRPC3; D630033B11; TRPV5_HUMAN; TRPV5; Calcium transport protein 2 (CaT2); Epithelial calcium channel 1 (ECaC | ECaC1); Osm-9-like TRP channel 3 (OTRPC3); TRPV5_MOUSE; Epithelial calcium channel 1 (ECaC1); TRPV5_RAT; Calcium transporter 2 (CaT2); Ecac;
抗体来源
Rabbit
免疫原
A synthesized peptide derived from human TRPV5: 1-100
亚型
IgG
性状
Liquid
纯化方法
affinity purified by Protein A
克隆类型
Recombinant
克隆号
4D7
理论分子量
83 kDa
检测分子量
90 kDa
储存液
10mM phosphate buffered saline(pH 7.4) with 150mM sodium chloride, 0.05% BSA, 0.02% Proclin300 and 50% glycerol.
SWISS
Gene ID
保存条件
Store at 4℃ for short term. Store at -20℃ for long term. Avoid repeated freeze/thaw cycles.
注意事项
This product as supplied is intended for research use only, not for use in human, therapeutic or diagnostic applications.
背景资料
Constitutively active calcium selective cation channel thought to be involved in Ca2+ reabsorption in kidney and intestine.Required for normal Ca2+ reabsorption in the kidney distal convoluted tubules.The channel is activated by low internal calcium level and the current exhibits an inward rectification.
辣椒素受体5重组兔单抗辣椒素受体5重组兔单抗辣椒素受体5重组兔单抗辣椒素受体5重组兔单抗辣椒素受体5重组兔单抗辣椒素受体5重组兔单抗

产品应用

应用已检合格种属预测种属推荐稀释比例
WBHuman, Mouse, Rat1:500-2000
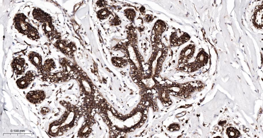
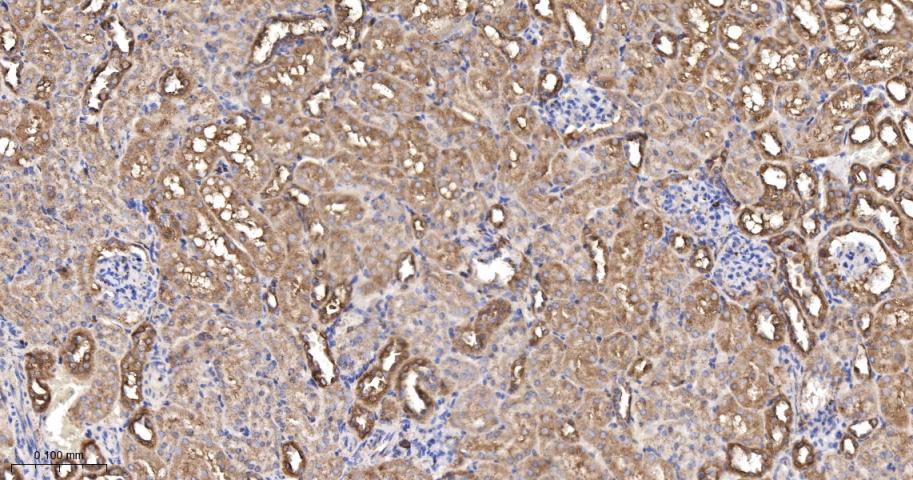
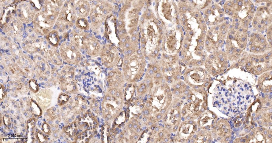
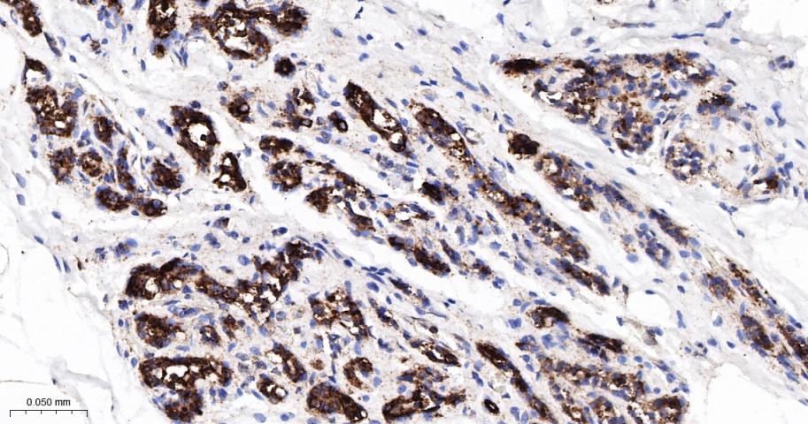
IHC-PHuman, Mouse, Rat1:100-500
IHC-FHuman, Mouse, Rat1:100-500
IFHuman, Mouse, Rat1:100-500

交叉反应

交叉反应: Human, Mouse, Rat

相关产品

暂无相关产品

靶标

基因名
TRPV5
蛋白名
Transient receptor potential cation channel subfamily V member 5
亚基
Homotetramer and probably heterotetramer with TRPV6. Interacts with TRPV6. Interacts with S100A10 and probably with the ANAX2-S100A10 heterotetramer. The interaction with S100A10 is required for the trafficking to the plasma membrane. Interacts with calmodulin. Interacts with BSPRY, which results in its inactivation (By similarity).
亚细胞定位
Apical cell membrane. Colocalized with S100A10 and ANAX2 along the apical domain of kidney distal tubular cells (By similarity). The expression of the glycosylated form in the cell membrane is increased in the presence of WNK3.
组织特异性
Expressed at high levels in kidney, small intestine and pancreas, and at lower levels in testis, prostate, placenta, brain, colon and rectum.
翻译后修饰
Glycosylated.
相似性
Belongs to the transient receptor (TC 1.A.4) family. TrpV subfamily. TRPV5 sub-subfamily.
Contains 5 ANK repeats.
功能
Constitutively active calcium selective cation channel thought to be involved in Ca(2+) reabsorption in kidney and intestine. The channel is activated by low internal calcium level and the current exhibits an inward rectification. A Ca(2+)-dependent feedback regulation includes fast channel inactivation and slow current decay. Heteromeric assembly with TRPV6 seems to modify channel properties. TRPV5-TRPV6 heteromultimeric concatemers exhibit voltage-dependent gating.

标记抗体

暂无标记数据

同靶标产品

暂无同靶标产品

相关文献

提示: 发表研究结果有使用 bsm-62549R 时请让我们知道,以便我们可以引用参考文章。作为回馈,资料提供者将获得我们送上的小礼品。

暂无相关文献

常见问题

暂无常见问题