CD84重组兔单抗

Rrmab?兔单抗
2026-03-02~2026-04-30,KXJ26032026-03-02~2026-04-30,促销赠品
CD84重组兔单抗
货号:bsm-62503R
产品详情
相关标记
相关产品
相关文献
常见问题

概述

产品编号
bsm-62503R
产品类型
重组兔单抗
英文名称
CD84 Recombinant Rabbit mAb
中文名称
CD84重组兔单抗
英文别名
LY9B; SLAMF5; hCD84; mCD84; SLAF5_HUMAN; CD84; Cell surface antigen MAX.3; Hly9-beta; Leukocyte differentiation antigen CD84; Signaling lymphocytic activation molecule 5;
抗体来源
Rabbit
免疫原
A synthesized peptide derived from human CD84: 300-345
亚型
IgG
性状
Liquid
纯化方法
affinity purified by Protein A
克隆类型
Recombinant
克隆号
4A8
理论分子量
39 kDa
检测分子量
60-85 kDa
储存液
10mM phosphate buffered saline(pH 7.4) with 150mM sodium chloride, 0.05% BSA, 0.02% Proclin300 and 50% glycerol.
SWISS
Gene ID
保存条件
Store at 4℃ for short term. Store at -20℃ for long term. Avoid repeated freeze/thaw cycles.
注意事项
This product as supplied is intended for research use only, not for use in human, therapeutic or diagnostic applications.
背景资料
Self-ligand receptor of the signaling lymphocytic activation molecule (SLAM) family. SLAM receptors triggered by homo- or heterotypic cell-cell interactions are modulating the activation and differentiation of a wide variety of immune cells and thus are involved in the regulation and interconnection of both innate and adaptive immune response. Activities are controlled by presence or absence of small cytoplasmic adapter proteins, SH2D1A/SAP and/or SH2D1B/EAT-2.
CD84重组兔单抗CD84重组兔单抗CD84重组兔单抗CD84重组兔单抗CD84重组兔单抗CD84重组兔单抗

产品应用

应用已检合格种属预测种属推荐稀释比例
WBHuman1:500-2000
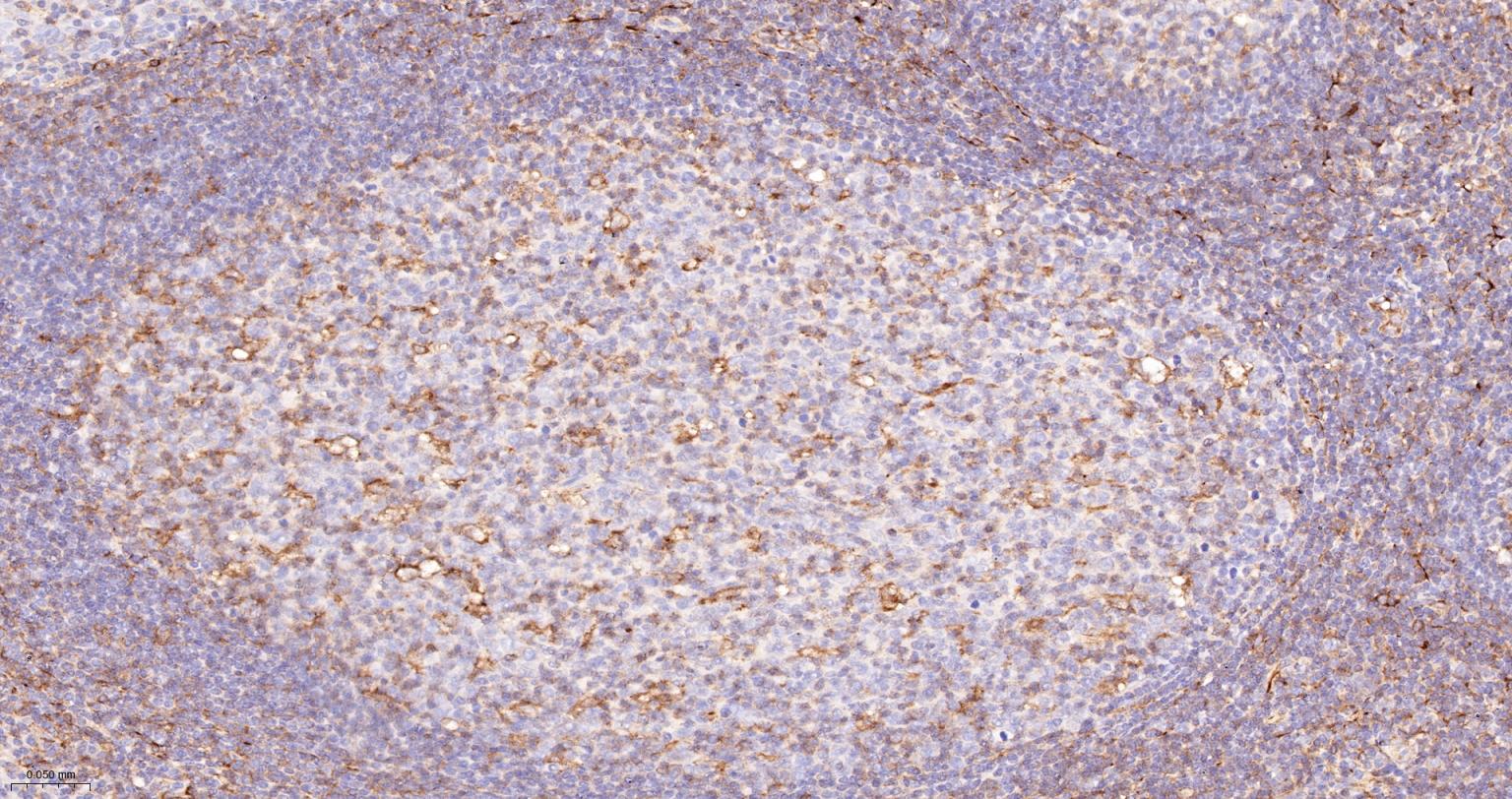
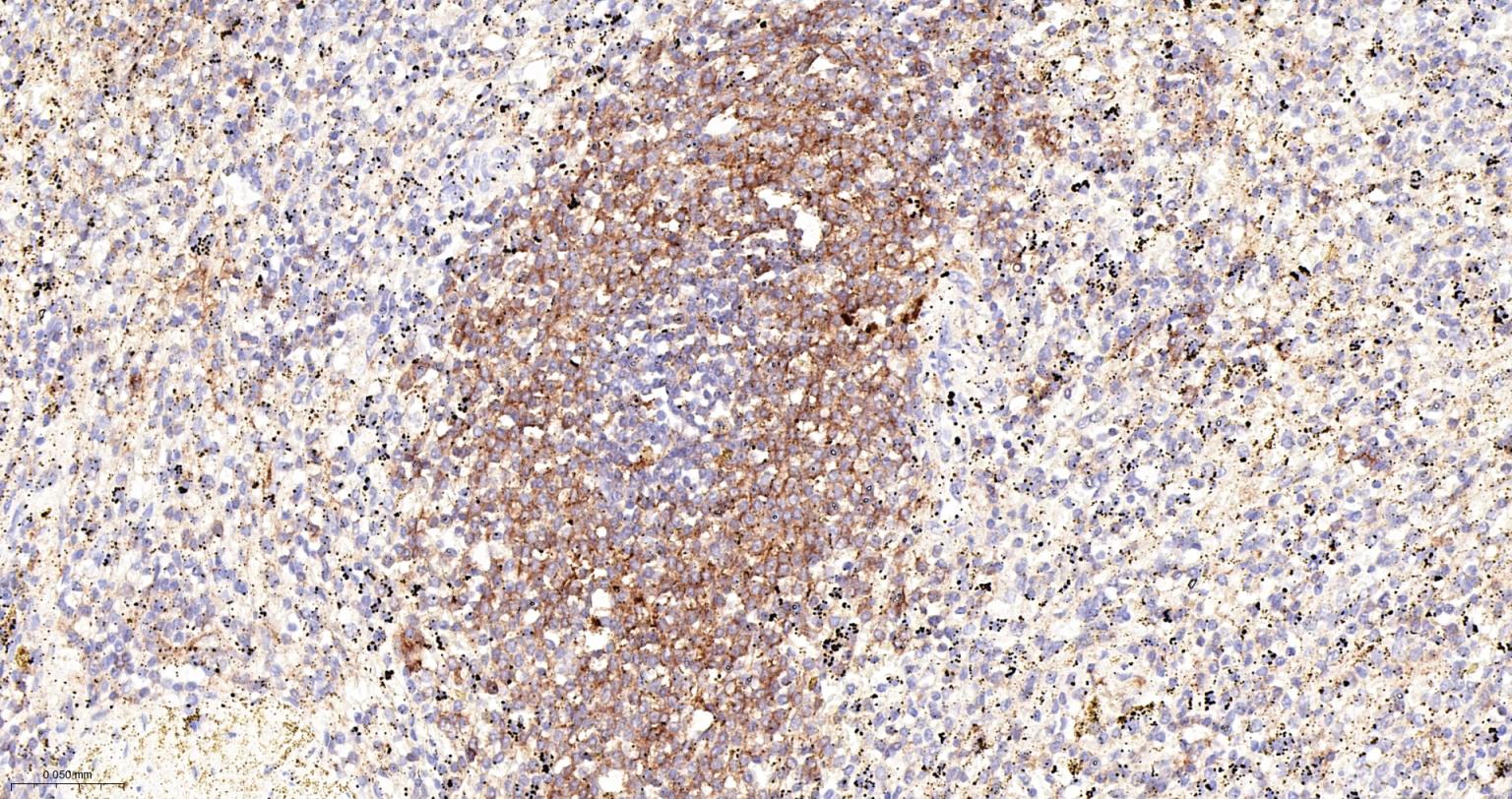
IHC-PHuman1:100-500
IHC-FHuman1:100-500
IFHuman1:100-500
Flow-CytHuman1:50-100
ICC/IFHuman1:100-500

交叉反应

交叉反应: Human

相关产品

暂无相关产品

靶标

基因名
CD84
蛋白名
SLAM family member 5
亚基
Homodimer; via its extracellular domain. Forms a head to tail dimer with a CD48 molecule from another cell. Interacts with SH2 domain-containing proteins SH2D1A/SAP and SH2D1B/hEAT-2. Interacts with tyrosine-protein phosphatases PTPN6 and PTPN11 via its phosphorylated cytoplasmic domain, and this interaction is blocked by SH2D1A.
亚细胞定位
Cell membrane; Single-pass type I membrane protein.
组织特异性
Predominantly expressed in hematopoietic tissues such as lymph node, spleen, thymus, and bone marrow. Detected also in lung.
翻译后修饰
Phosphorylated by tyrosine-protein kinase LCK on tyrosine residues following ligation induced by agonist monoclonal antibody. The association with SH2D1A/SAP is dependent of tyrosines phosphorylation of its cytoplasmic domain
相似性
Contains 1 Ig-like C2-type (immunoglobulin-like)
功能
Plays a role as adhesion receptor functioning by homophilic interactions and by clustering. Recruits SH2 domain-containing proteins SH2D1A/SAP. Increases proliferative responses of activated T-cells and SH2D1A/SAP does not seen be required for this process. Homophilic interactions enhance interferon gamma/IFNG secretion in lymphocytes and induce platelet stimulation via a SH2D1A/SAP-dependent pathway. May serve as a marker for hematopoietic progenitor cells.

标记抗体

暂无标记数据

同靶标产品

暂无同靶标产品

相关文献

提示: 发表研究结果有使用 bsm-62503R 时请让我们知道,以便我们可以引用参考文章。作为回馈,资料提供者将获得我们送上的小礼品。

暂无相关文献

常见问题

暂无常见问题