SLC45A3 Recombinant Rabbit mAb (一抗) - IHC-P,IHC-F,IF | Bioss

Rrmab?兔单抗
2026-03-02~2026-04-30,KXJ2603
SLC45A3 Recombinant Rabbit mAb (一抗) - IHC-P,IHC-F,IF | Bioss
货号:bsm-62496R
产品详情
相关标记
相关产品
相关文献
常见问题

概述

产品编号
bsm-62496R
产品类型
重组兔单抗、mIHC精品抗体
英文名称
SLC45A3 Recombinant Rabbit mAb
中文名称
前列腺癌相关蛋白6重组兔单抗
英文别名
IPCA-2; IPCA-6; IPCA-8; IPCA6; PCANAP2; PCANAP6; PCANAP8; PRST; S45A3_HUMAN; SLC45A3; Prostate cancer-associated protein 6; Prostein;
抗体来源
Rabbit
免疫原
A synthesized peptide derived from human SLC45A3: 402-450
亚型
IgG
性状
Liquid
纯化方法
affinity purified by Protein A
克隆类型
Recombinant
克隆号
8H3
理论分子量
59 kDa
检测分子量
52 kDa
储存液
10mM phosphate buffered saline(pH 7.4) with 150mM sodium chloride, 0.05% BSA, 0.02% Proclin300 and 50% glycerol.
SWISS
Gene ID
保存条件
Store at 4℃ for short term. Store at -20℃ for long term. Avoid repeated freeze/thaw cycles.
注意事项
This product as supplied is intended for research use only, not for use in human, therapeutic or diagnostic applications.
背景资料
Proton-associated sucrose transporter. May be able to transport also glucose and fructose.
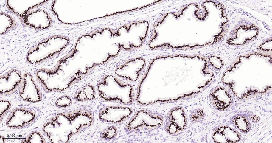
前列腺癌相关蛋白6重组兔单抗-bsm-62496R前列腺癌相关蛋白6重组兔单抗-bsm-62496R

产品应用

应用已检合格种属预测种属推荐稀释比例
IHC-PHuman1:100-500
IHC-FHuman1:100-500
IFHuman1:100-500

交叉反应

交叉反应: Human

相关产品

暂无相关产品

靶标

基因名
SLC45A3
蛋白名
Solute carrier family 45 member 3
亚细胞定位
Membrane; Multi-pass membrane protein
组织特异性
Prostate-specific. Expressed in all prostatic glandular cells. Expressed both in normal and cancerous prostates.
相似性
Belongs to the glycoside-pentoside-hexuronide (GPH) cation symporter transporter (TC 2.A.2) family.

同靶标产品

相关文献

提示: 发表研究结果有使用 bsm-62496R 时请让我们知道,以便我们可以引用参考文章。作为回馈,资料提供者将获得我们送上的小礼品。

常见问题