ACSL4 Recombinant Rabbit mAb (一抗) - WB,IHC-P,IHC-F,IF,IP | Bioss

Rrmab?兔单抗
2026-05-01~2026-06-30,AB26052026-05-01~2026-06-30,WB精选(促销赠品)
ACSL4 Recombinant Rabbit mAb (一抗) - WB,IHC-P,IHC-F,IF,IP | Bioss
货号:bsm-62432R
产品详情
相关标记
相关产品
相关文献
常见问题

概述

产品编号
bsm-62432R
产品类型
重组兔单抗、mIHC精品抗体
英文名称
ACSL4 Recombinant Rabbit mAb
中文名称
酰基辅酶A合成酶4重组兔单抗
英文别名
ACS4; FACL4; LACS4; MRX63; MRX68; XLID63; 9430020A05Rik; ACSL4_HUMAN; ACSL4; Arachidonate--CoA ligase; Long-chain acyl-CoA synthetase 4 (LACS 4); 6.2.1.3; ACSL4_MOUSE; Long-chain acyl-CoA synthetase 4 (LACS 4 | mACS4); ACSL4_RAT;
抗体来源
Rabbit
免疫原
A synthesized peptide derived from human ACSL4: 650-691
亚型
IgG
性状
Liquid
纯化方法
affinity purified by Protein A
克隆类型
Recombinant
克隆号
1G12
理论分子量
79 kDa
检测分子量
75 kDa
储存液
10mM phosphate buffered saline(pH 7.4) with 150mM sodium chloride, 0.05% BSA, 0.02% Proclin300 and 50% glycerol.
SWISS
Gene ID
保存条件
Store at 4℃ for short term. Store at -20℃ for long term. Avoid repeated freeze/thaw cycles.
注意事项
This product as supplied is intended for research use only, not for use in human, therapeutic or diagnostic applications.
背景资料
Catalyzes the conversion of long-chain fatty acids to their active form acyl-CoA for both synthesis of cellular lipids, and degradation via beta-oxidation. Preferentially activates arachidonate and eicosapentaenoate as substrates.
酰基辅酶A合成酶4重组兔单抗-bsm-62432R酰基辅酶A合成酶4重组兔单抗-bsm-62432R酰基辅酶A合成酶4重组兔单抗-bsm-62432R酰基辅酶A合成酶4重组兔单抗-bsm-62432R酰基辅酶A合成酶4重组兔单抗-bsm-62432R酰基辅酶A合成酶4重组兔单抗-bsm-62432R酰基辅酶A合成酶4重组兔单抗-bsm-62432R酰基辅酶A合成酶4重组兔单抗-bsm-62432R酰基辅酶A合成酶4重组兔单抗-bsm-62432R酰基辅酶A合成酶4重组兔单抗-bsm-62432R

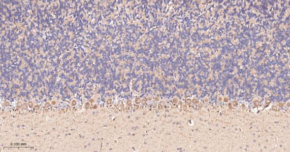
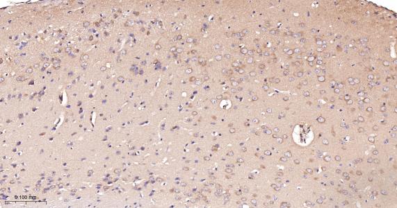
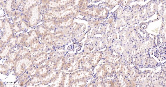
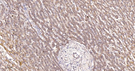
产品应用

应用已检合格种属预测种属推荐稀释比例
WBHuman, MouseRat1:500-2000
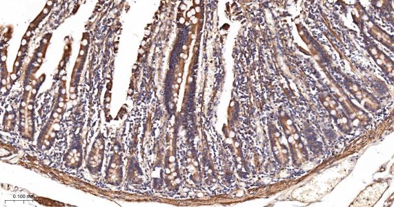
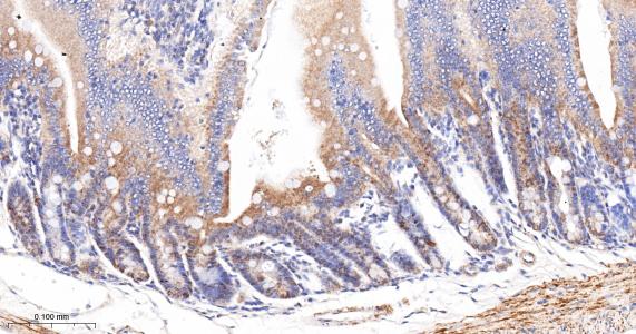
IHC-PHuman, Mouse, Rat1:100-500
IHC-FHuman, Mouse, Rat1:100-500
IFHuman, Mouse, Rat1:100-500
IPHuman, Mouse, Rat1:20-50

交叉反应

交叉反应: Human, Mouse, Rat

相关产品

暂无相关产品

靶标

基因名
ACSL4
蛋白名
Long-chain-fatty-acid--CoA ligase 4
亚细胞定位
Mitochondrion outer membrane. Peroxisome membrane. Microsome membrane. Endoplasmic reticulum membrane.
疾病
Defects in ACSL4 are the cause of mental retardation X-linked type 63 (MRX63) [MIM:300387]. Mental retardation is a mental disorder characterized by significantly sub-average general intellectual functioning associated with impairments in adaptative behavior and manifested during the developmental period. Non-syndromic mental retardation patients do not manifest other clinical signs.
Defects in ACSL4 are involved in Alport syndrome with mental retardation midface hypoplasia and elliptocytosis (ATS-MR) [MIM:300194]. A X-linked contiguous gene deletion syndrome characterized by glomerulonephritis, deafness, mental retardation, midface hypoplasia and elliptocytosis.
相似性
Belongs to the ATP-dependent AMP-binding enzyme family.
功能
Activation of long-chain fatty acids for both synthesis of cellular lipids, and degradation via beta-oxidation. Preferentially uses arachidonate and eicosapentaenoate as substrates.

同靶标产品

相关文献

提示: 发表研究结果有使用 bsm-62432R 时请让我们知道,以便我们可以引用参考文章。作为回馈,资料提供者将获得我们送上的小礼品。
具体参考文献:bsm-62432R 被引用于3文献中

常见问题