Rho GTP酶激活蛋白GAP重组兔单抗

Rrmab?兔单抗
2026-03-02~2026-04-30,KXJ26032026-03-02~2026-04-30,促销赠品
Rho GTP酶激活蛋白GAP重组兔单抗
货号:bsm-62359R
产品详情
相关标记
相关产品
相关文献
常见问题

概述

产品编号
bsm-62359R
产品类型
重组兔单抗
英文名称
RACGAP1 Recombinant Rabbit mAb
中文名称
Rho GTP酶激活蛋白GAP重组兔单抗
英文别名
RGAP1_HUMAN; RACGAP1; Male germ cell RacGap (MgcRacGAP); Protein CYK4 homolog (CYK4 | HsCYK-4); KIAA1478; MGCRACGAP; CDAN3B; CYK4; HsCYK-4; ID-GAP; RCGAP1;
抗体来源
Rabbit
免疫原
A synthesized peptide derived from human RacGAP1: 46-92
亚型
IgG
性状
Liquid
纯化方法
affinity purified by Protein A
克隆类型
Recombinant
克隆号
7C5
理论分子量
71 kDa
检测分子量
71 kDa
储存液
10mM phosphate buffered saline(pH 7.4) with 150mM sodium chloride, 0.05% BSA, 0.02% Proclin300 and 50% glycerol.
SWISS
Gene ID
保存条件
Store at 4℃ for short term. Store at -20℃ for long term. Avoid repeated freeze/thaw cycles.
注意事项
This product as supplied is intended for research use only, not for use in human, therapeutic or diagnostic applications.
背景资料
Component of the centralspindlin complex that serves as a microtubule-dependent and Rho-mediated signaling required for the myosin contractile ring formation during the cell cycle cytokinesis. Required for proper attachment of the midbody to the cell membrane during cytokinesis. Sequentially binds to ECT2 and RAB11FIP3 which regulates cleavage furrow ingression and abscission during cytokinesis.
Rho GTP酶激活蛋白GAP重组兔单抗Rho GTP酶激活蛋白GAP重组兔单抗Rho GTP酶激活蛋白GAP重组兔单抗Rho GTP酶激活蛋白GAP重组兔单抗

产品应用

应用已检合格种属预测种属推荐稀释比例
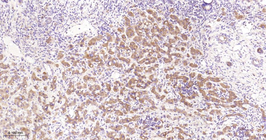
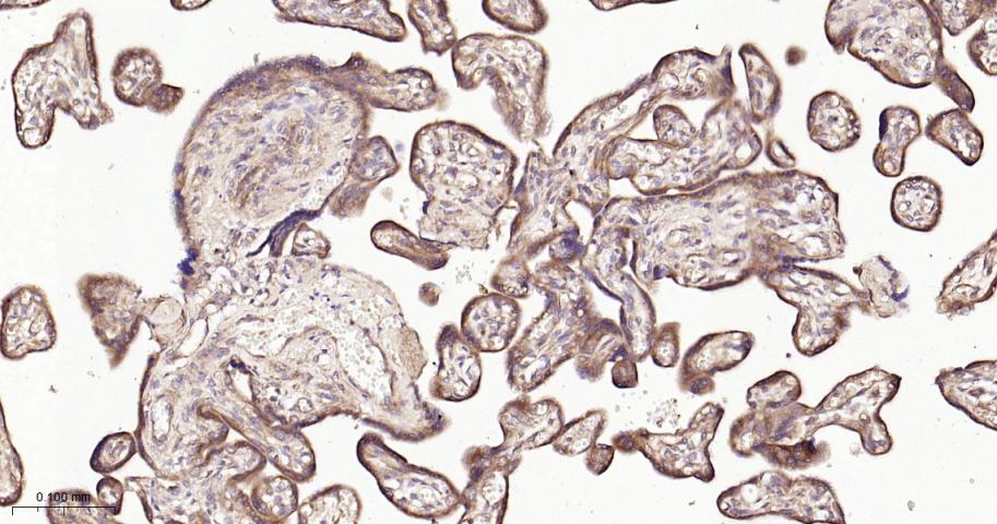
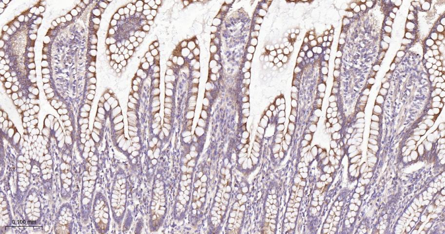
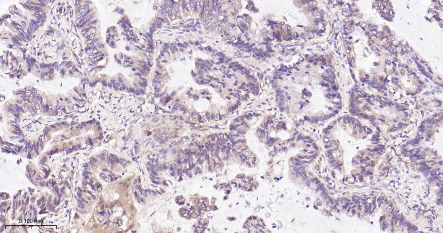
IHC-PHuman1:100-500
IHC-FHuman1:100-500
IFHuman1:100-500

交叉反应

交叉反应: Human

相关产品

暂无相关产品

靶标

基因名
RACGAP1
蛋白名
Rac GTPase-activating protein 1
亚基
Heterotetramer of two molecules each of RACGAP1 and KIF23.
亚细胞定位
Nucleus. Cytoplasm. Cytoplasm, cytoskeleton, spindle.
组织特异性
Highly expressed in testis, thymus and placenta. Expressed at lower levels in spleen and peripheral blood lymphocytes. In testis, expression is restricted to germ cells with the highest levels of expression found in spermatocytes. Expression is regulated in a cell cycle-dependent manner and peaks during G2/M phase.
翻译后修饰
Phosphorylated at multiple sites in the midbody duringcytokinesis. Phosphorylation by AURKB on Ser-387 at the midbody is,at least in part, responsible for exerting its latent GAP activitytowards RhoA. Phosphorylation on multiple serine residues by PLK1enhances its association with ECT2 and is critical for cleavagefurrow formation.
相似性
Contains 1 phorbol-ester/DAG-type zinc finger. Contains 1 Rho-GAP domain.
功能
Component of the centralspindlin complex that serves asa microtubule-dependent and Rho-mediated signaling required for themyosin contractile ring formation during the cell cyclecytokinesis. Plays key roles in controlling cell growth anddifferentiation of hematopoietic cells through mechanisms otherthan regulating Rac GTPase activity. Also involved in theregulation of growth-related processes in adipocytes and myoblasts.May be involved in regulating spermatogenesis and in the RACGAP1pathway in neuronal proliferation. Shows strong GAP (GTPaseactivation) activity towards CDC42 and RAC1 and less towards RHOA.Essential for the early stages of embryogenesis. May play a role inregulating cortical activity through RHOA during cytokinesis. Mayparticipate in the regulation of sulfate transport in male germcells.

标记抗体

暂无标记数据

同靶标产品

暂无同靶标产品

相关文献

提示: 发表研究结果有使用 bsm-62359R 时请让我们知道,以便我们可以引用参考文章。作为回馈,资料提供者将获得我们送上的小礼品。

暂无相关文献

常见问题

暂无常见问题