WDR4重组兔单抗

Rrmab?兔单抗
2026-03-02~2026-04-30,KXJ26032026-03-02~2026-04-30,促销赠品
WDR4重组兔单抗
货号:bsm-62341R
产品详情
相关标记
相关产品
相关文献
常见问题

概述

产品编号
bsm-62341R
产品类型
重组兔单抗、mIHC精品抗体
英文名称
WDR4 Recombinant Rabbit mAb
中文名称
WDR4重组兔单抗
英文别名
WDR4_HUMAN; WDR4; Protein Wuho homolog (hWH); WD repeat-containing protein 4; GAMOS6; MIGSB; TRM82; TRMT82; Wuho; hWH;
抗体来源
Rabbit
免疫原
A synthesized peptide derived from human WDR4: 311-345/412
亚型
IgG
性状
Liquid
纯化方法
affinity purified by Protein A
克隆类型
Recombinant
克隆号
9A11
理论分子量
45 kDa
检测分子量
45 kDa
储存液
10mM phosphate buffered saline(pH 7.4) with 150mM sodium chloride, 0.05% BSA, 0.02% Proclin300 and 50% glycerol.
SWISS
Gene ID
保存条件
Store at 4℃ for short term. Store at -20℃ for long term. Avoid repeated freeze/thaw cycles.
注意事项
This product as supplied is intended for research use only, not for use in human, therapeutic or diagnostic applications.
背景资料
Required for the formation of N(7)-methylguanine at position 46 (m7G46) in tRNA. In the complex, it is required to stabilize and induce conformational change of the catalytic subunit.
WDR4重组兔单抗WDR4重组兔单抗WDR4重组兔单抗WDR4重组兔单抗WDR4重组兔单抗WDR4重组兔单抗WDR4重组兔单抗WDR4重组兔单抗WDR4重组兔单抗WDR4重组兔单抗WDR4重组兔单抗WDR4重组兔单抗

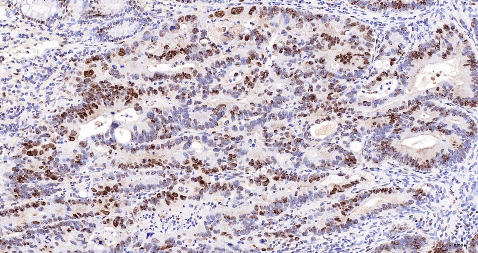
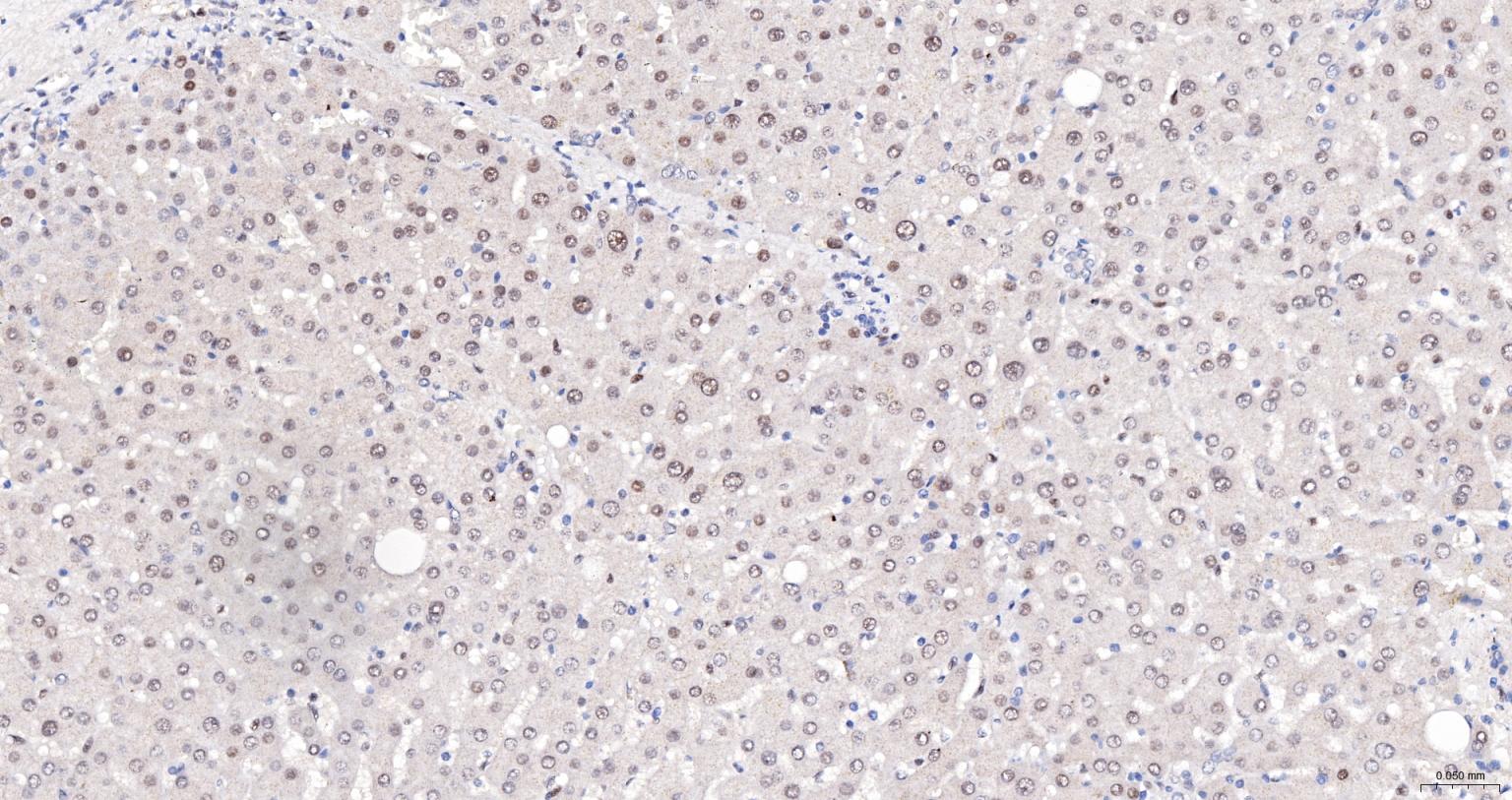
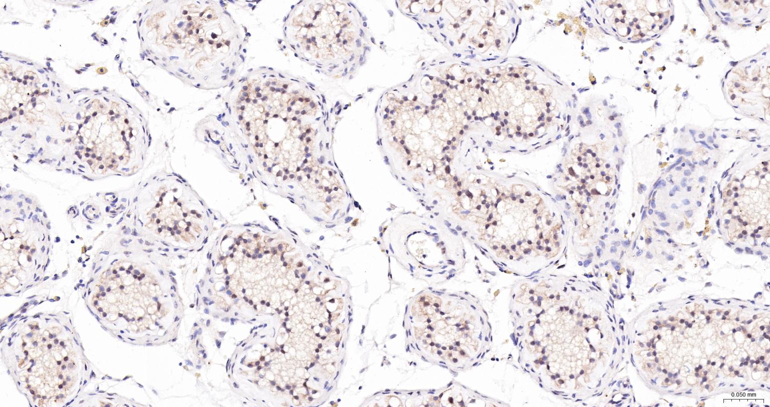
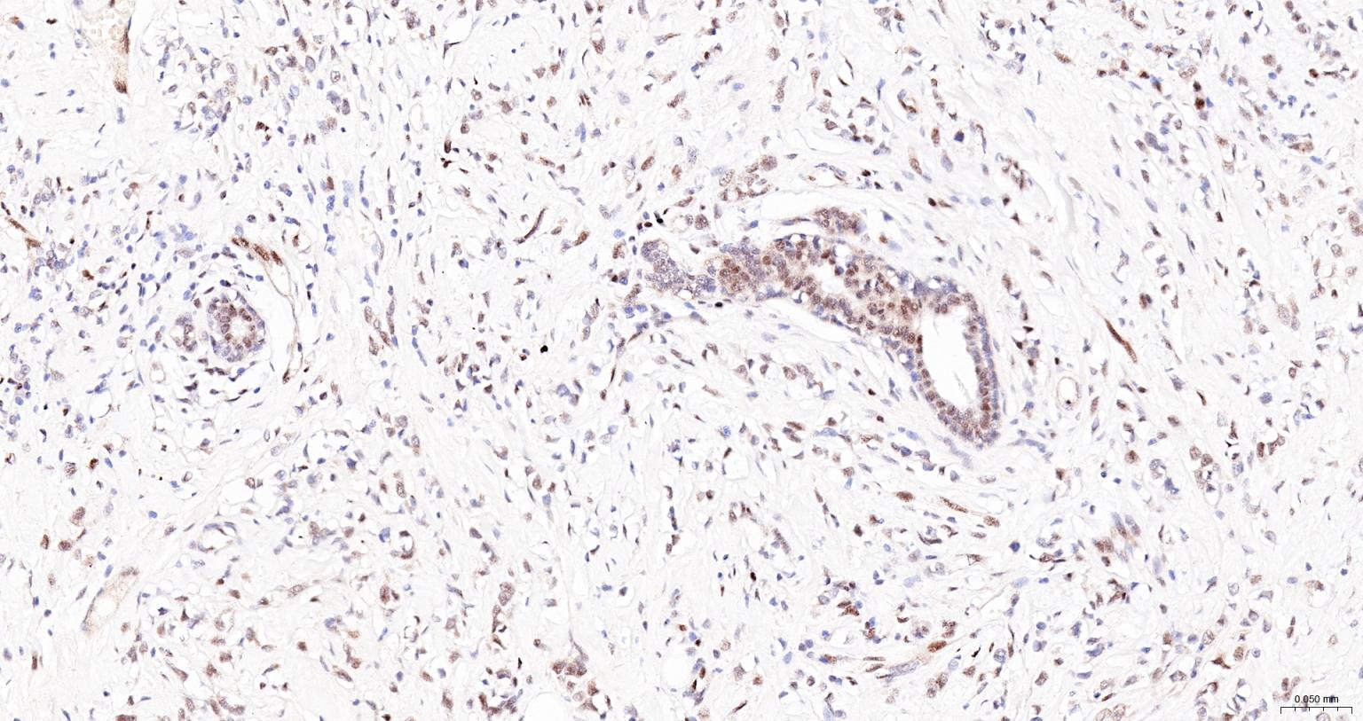
产品应用

应用已检合格种属预测种属推荐稀释比例
WBHuman1:500-2000
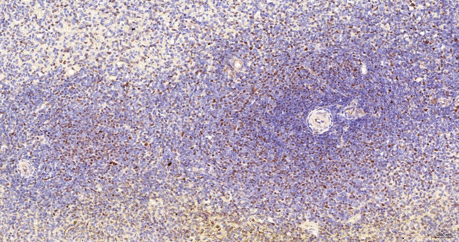
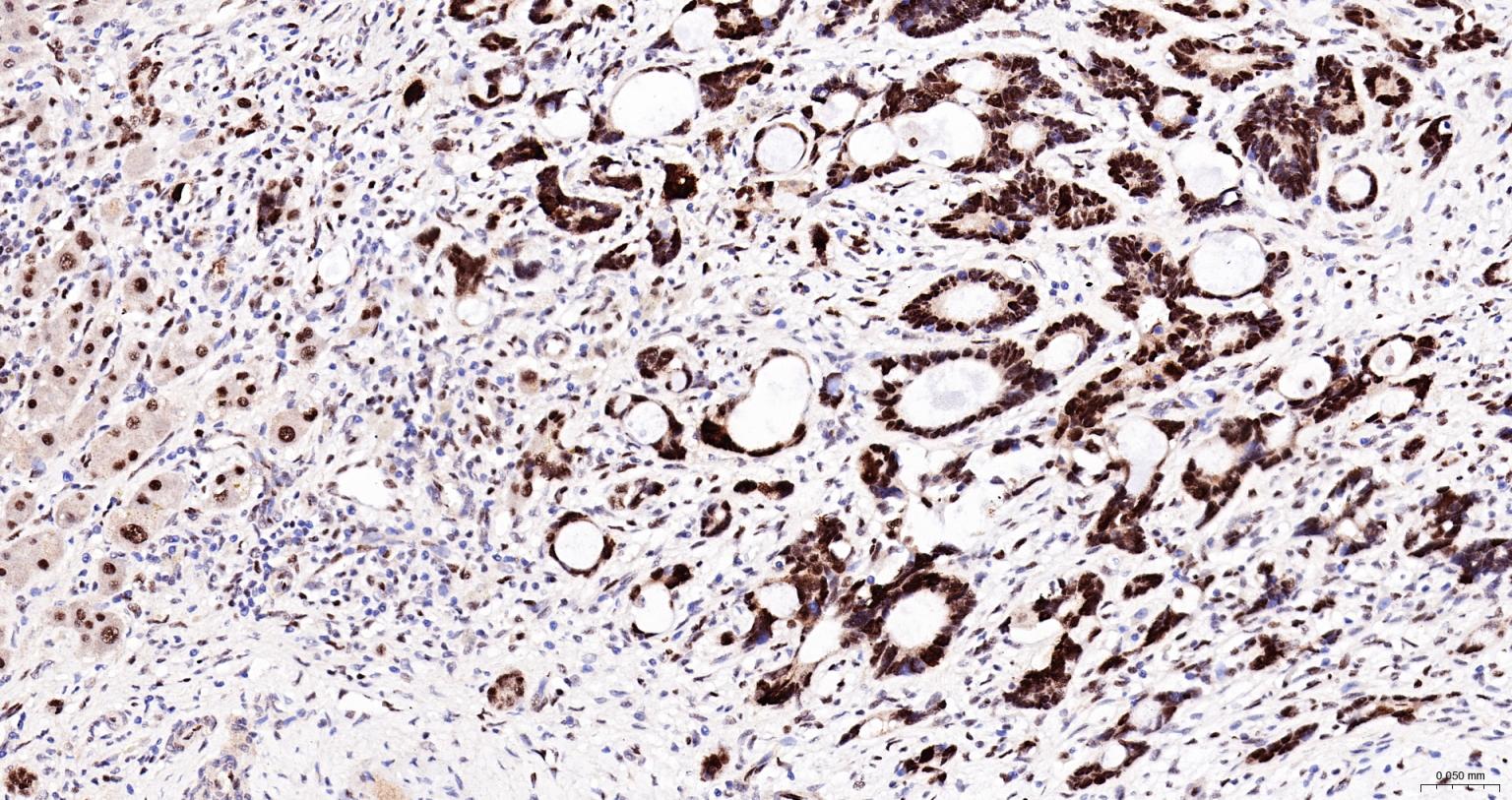
IHC-PHuman1:50-200
IHC-FHuman1:50-200
IFHuman1:50-200
Flow-CytHuman1:50-100
ICC/IFHuman1:50-200

交叉反应

交叉反应: Human

相关产品

暂无相关产品

靶标

基因名
WDR4
蛋白名
tRNA (guanine-N(7)-)-methyltransferase non-catalytic subunit WDR4

标记抗体

暂无标记数据

同靶标产品

暂无同靶标产品

相关文献

提示: 发表研究结果有使用 bsm-62341R 时请让我们知道,以便我们可以引用参考文章。作为回馈,资料提供者将获得我们送上的小礼品。

暂无相关文献

常见问题

暂无常见问题