Cancer > Cancer Metabolism > Metabolic signaling pathway > Metabolism of lipids and lipoproteins
Cancer > Cancer Metabolism > Response to hypoxia
Metabolism > Pathways and Processes > Metabolic signaling pathways > Lipid and lipoprotein metabolism > Lipid metabolism
Metabolism > Pathways and Processes > Metabolism processes > Hypoxia
Metabolism > Types of disease > Cancer
Signal Transduction > Cytoskeleton / ECM > Extracellular Matrix > ECM Proteins > Collagen
Signal Transduction > Protein Trafficking > Chaperones > Other Chaperones






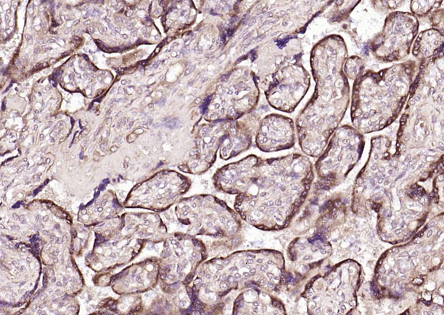
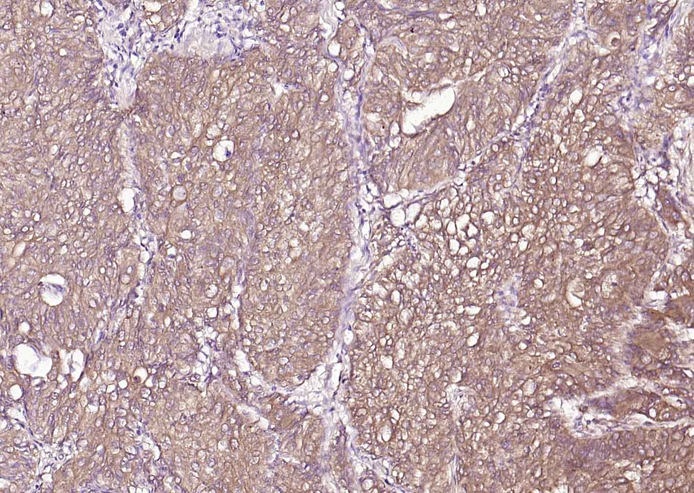
| 应用 | 已检合格种属 | 预测种属 | 推荐稀释比例 |
|---|---|---|---|
| WB | Human, Rat | 1:500-1000 | |
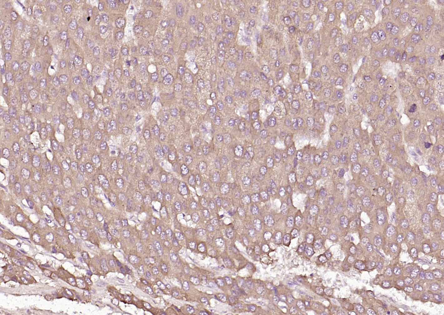
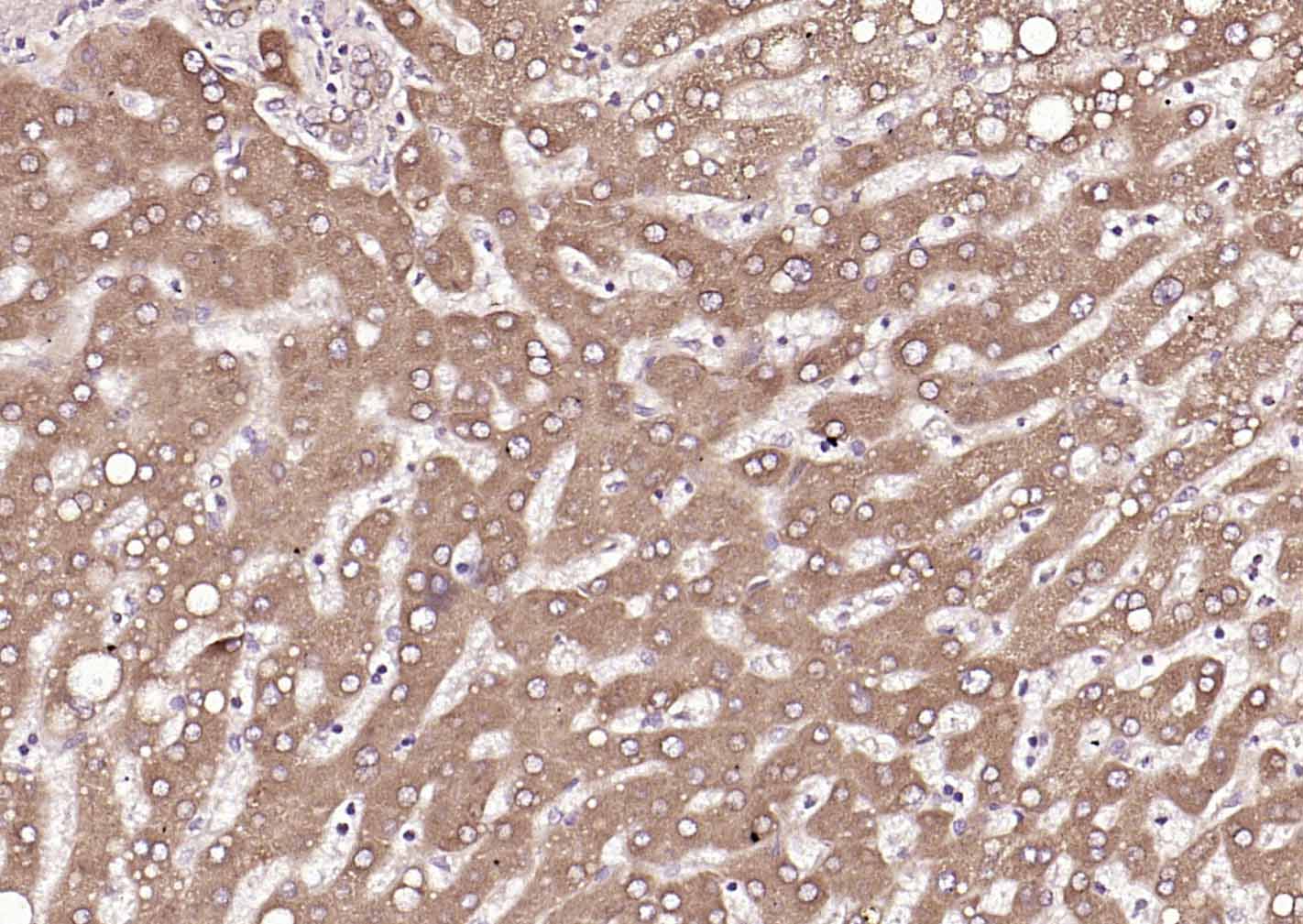
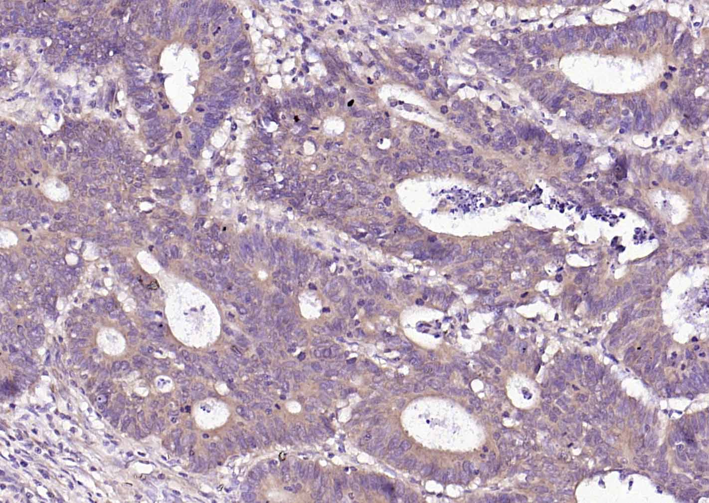
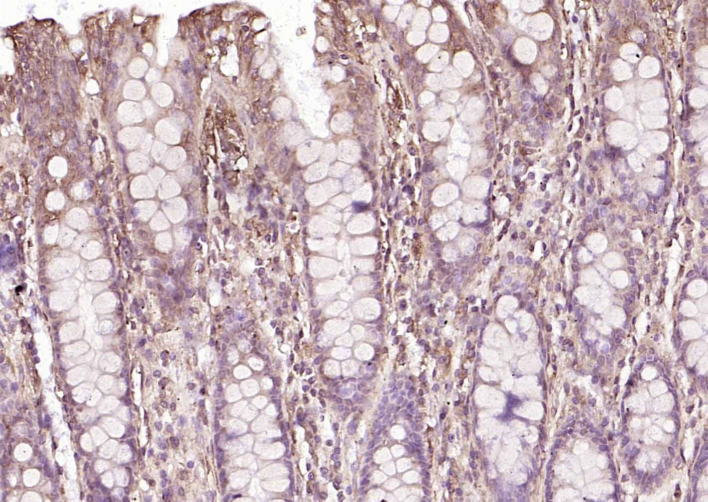
| IHC-P | Human | Rat | 1:100-500 |
| IHC-F | Human | Rat | 1:100-500 |
| IF | Human | Rat | 1:100-500 |
| ICC/IF | Human, Rat | 1:50-100 |
交叉反应: Human (predicted: Rat)
暂无相关产品