丝氨酸/苏氨酸蛋白激酶39重组兔单抗

Rrmab?兔单抗
2026-03-02~2026-04-30,KXJ26032026-03-02~2026-04-30,促销赠品
丝氨酸/苏氨酸蛋白激酶39重组兔单抗
货号:bsm-62328R
产品详情
相关标记
相关产品
相关文献
常见问题

概述

产品编号
bsm-62328R
产品类型
重组兔单抗
英文名称
STK39 Recombinant Rabbit mAb
中文名称
丝氨酸/苏氨酸蛋白激酶39重组兔单抗
英文别名
DCHT; PASK; SPAK; Gm50618; RF005; Rnl5; STK39_HUMAN; STK39; Ste-20-related kinase; Serine/threonine-protein kinase 39; 2.7.11.1; STK39_MOUSE; STK39_RAT; Pancreatic serine/threonine-protein kinase (PS/TK | PSTK1);
抗体来源
Rabbit
免疫原
A synthesized peptide derived from human STK39: 401-454
亚型
IgG
性状
Liquid
纯化方法
affinity purified by Protein A
克隆类型
Recombinant
克隆号
6G7
理论分子量
59 kDa
检测分子量
68 kDa
储存液
10mM phosphate buffered saline(pH 7.4) with 150mM sodium chloride, 0.05% BSA, 0.02% Proclin300 and 50% glycerol.
SWISS
Gene ID
保存条件
Store at 4℃ for short term. Store at -20℃ for long term. Avoid repeated freeze/thaw cycles.
注意事项
This product as supplied is intended for research use only, not for use in human, therapeutic or diagnostic applications.
背景资料
Effector serine/threonine-protein kinase component of the WNK-SPAK/OSR1 kinase cascade, which is involved in various processes, such as ion transport, response to hypertonic stress and blood pressure.Specifically recognizes and binds proteins with a RFXV motif.
丝氨酸/苏氨酸蛋白激酶39重组兔单抗丝氨酸/苏氨酸蛋白激酶39重组兔单抗丝氨酸/苏氨酸蛋白激酶39重组兔单抗丝氨酸/苏氨酸蛋白激酶39重组兔单抗丝氨酸/苏氨酸蛋白激酶39重组兔单抗

产品应用

应用已检合格种属预测种属推荐稀释比例
WBHuman1:500-2000
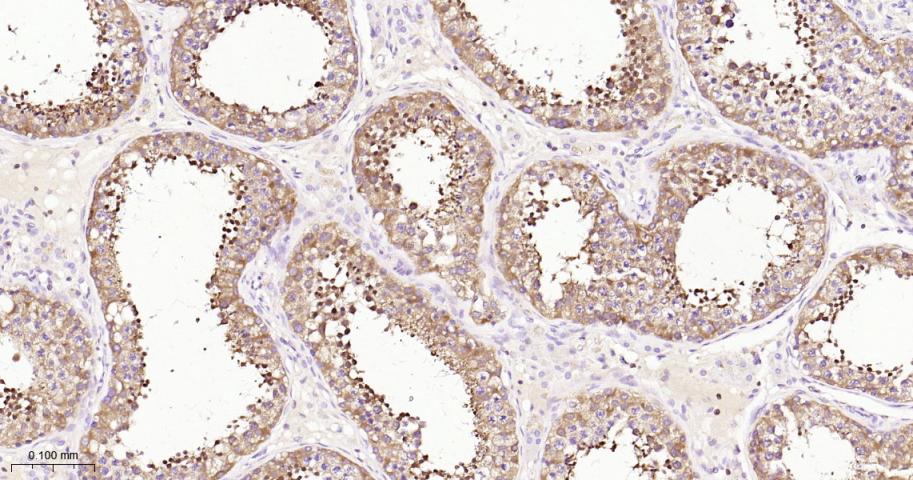
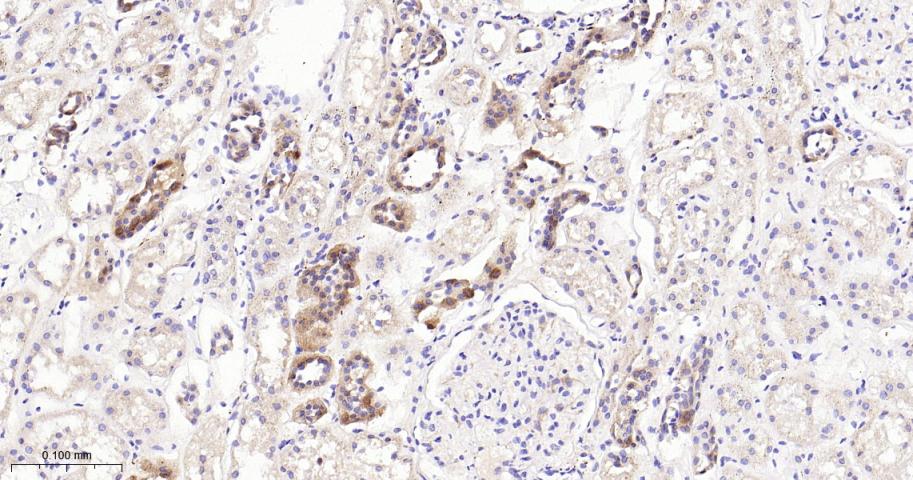
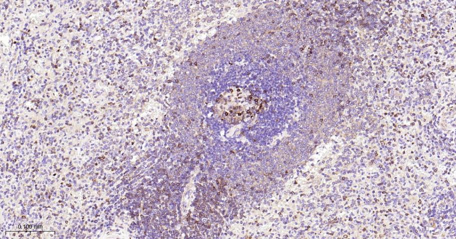
IHC-PHuman1:50-200
IHC-FHuman1:50-200
IFHuman1:50-200
Flow-CytHuman1:50-100

交叉反应

交叉反应: Human

相关产品

暂无相关产品

靶标

基因名
STK39
蛋白名
STE20/SPS1-related proline-alanine-rich protein kinase
亚基
The phosphorylated form forms a complex with WNK2 (By similarity).
亚细胞定位
Cytoplasm. Nucleus. Nucleus when caspase-cleaved.
组织特异性
Predominantly expressed in brain and pancreas followed by heart, lung, kidney, skeletal muscle, liver, placenta and testis.
翻译后修饰
Phosphorylated at Ser-309 by PRKCQ.
相似性
Belongs to the protein kinase superfamily.
STE Ser/Thr protein kinase family. STE20 subfamily.
Contains 1 protein kinase domain.
功能
May act as a mediator of stress-activated signals.

标记抗体

暂无标记数据

同靶标产品

暂无同靶标产品

相关文献

提示: 发表研究结果有使用 bsm-62328R 时请让我们知道,以便我们可以引用参考文章。作为回馈,资料提供者将获得我们送上的小礼品。

暂无相关文献

常见问题

暂无常见问题