肌动蛋白相关蛋白2重组兔单抗

Rrmab?兔单抗
2026-03-02~2026-04-30,KXJ26032026-03-02~2026-04-30,促销赠品
肌动蛋白相关蛋白2重组兔单抗
货号:bsm-62309R
产品详情
相关标记
相关产品
相关文献
常见问题

概述

产品编号
bsm-62309R
产品类型
重组兔单抗
英文名称
ARP2 Recombinant Rabbit mAb
中文名称
肌动蛋白相关蛋白2重组兔单抗
英文别名
ARP2; 4921510D23Rik; D6Ertd746e; ARP2_CHICK; ACTR2; Actin-like protein 2; Actin-like protein ACTL; ARP2_HUMAN; ARP2_MOUSE; ARP2_RAT;
抗体来源
Rabbit
免疫原
A synthesized peptide derived from human Actin related protein 2: 350-387
亚型
IgG
性状
Liquid
纯化方法
affinity purified by Protein A
克隆类型
Recombinant
克隆号
11H4
理论分子量
45 kDa
检测分子量
37 kDa
储存液
10mM phosphate buffered saline(pH 7.4) with 150mM sodium chloride, 0.05% BSA, 0.02% Proclin300 and 50% glycerol.
SWISS
Gene ID
保存条件
Store at 4℃ for short term. Store at -20℃ for long term. Avoid repeated freeze/thaw cycles.
注意事项
This product as supplied is intended for research use only, not for use in human, therapeutic or diagnostic applications.
背景资料
Functions as ATP-binding component of the Arp2/3 complex which is involved in regulation of actin polymerization and together with an activating nucleation-promoting factor (NPF) mediates the formation of branched actin networks.
肌动蛋白相关蛋白2重组兔单抗肌动蛋白相关蛋白2重组兔单抗肌动蛋白相关蛋白2重组兔单抗肌动蛋白相关蛋白2重组兔单抗肌动蛋白相关蛋白2重组兔单抗肌动蛋白相关蛋白2重组兔单抗肌动蛋白相关蛋白2重组兔单抗肌动蛋白相关蛋白2重组兔单抗肌动蛋白相关蛋白2重组兔单抗肌动蛋白相关蛋白2重组兔单抗肌动蛋白相关蛋白2重组兔单抗肌动蛋白相关蛋白2重组兔单抗

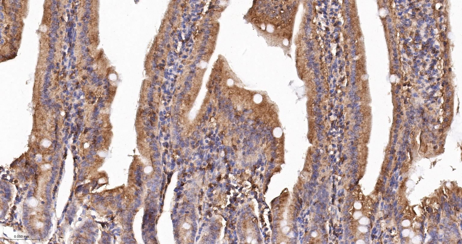
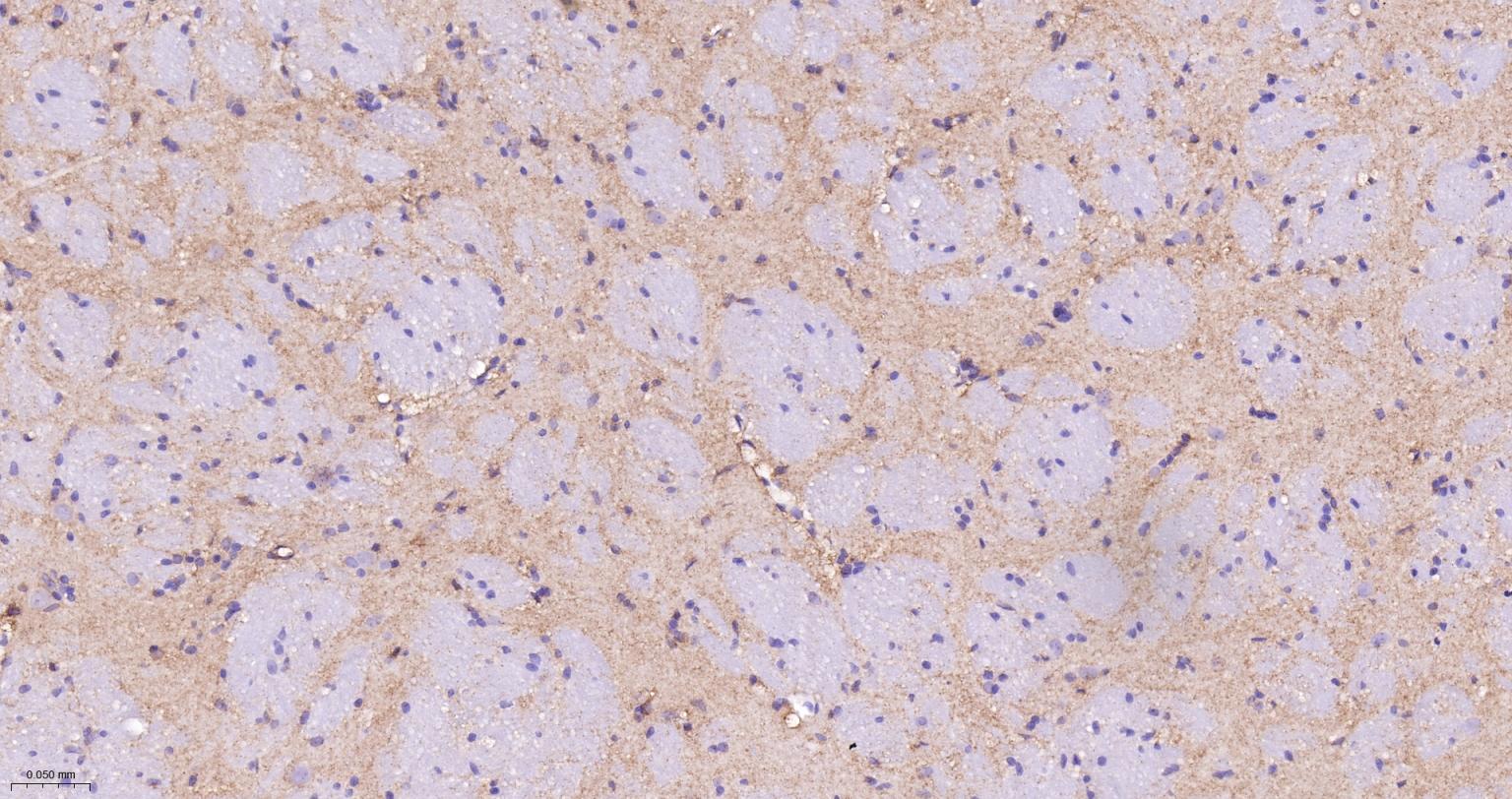
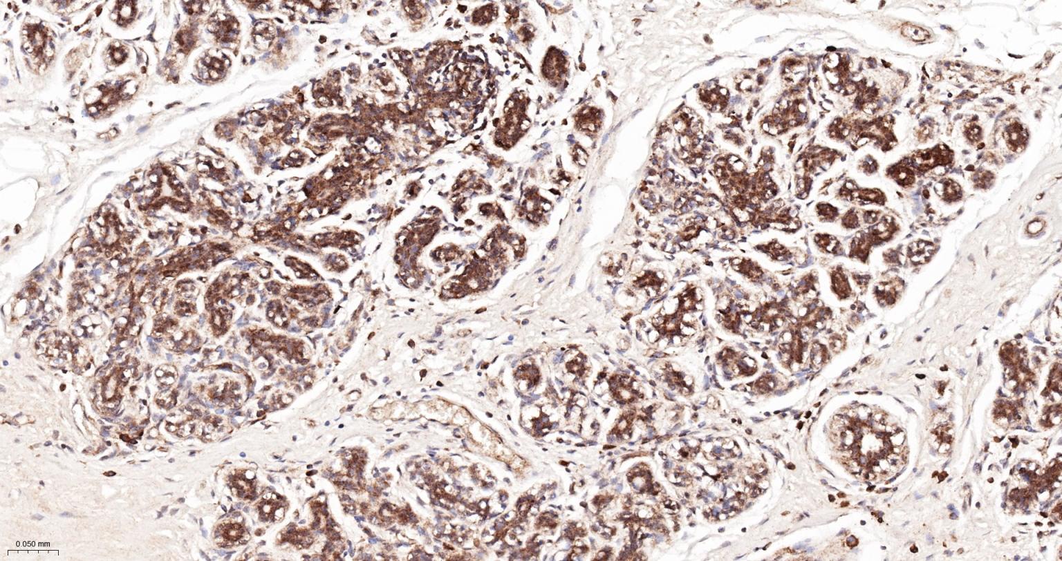
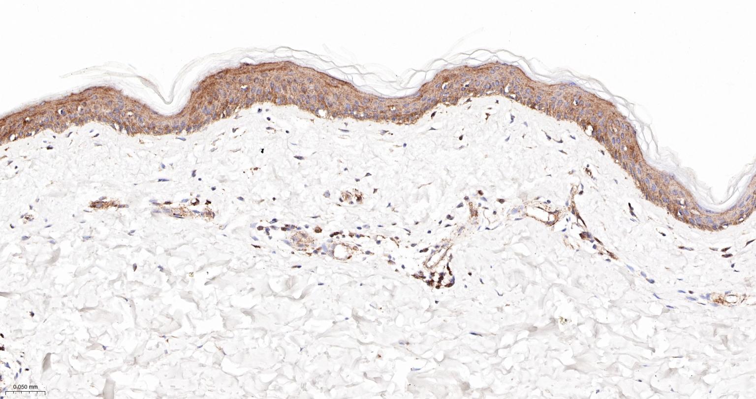
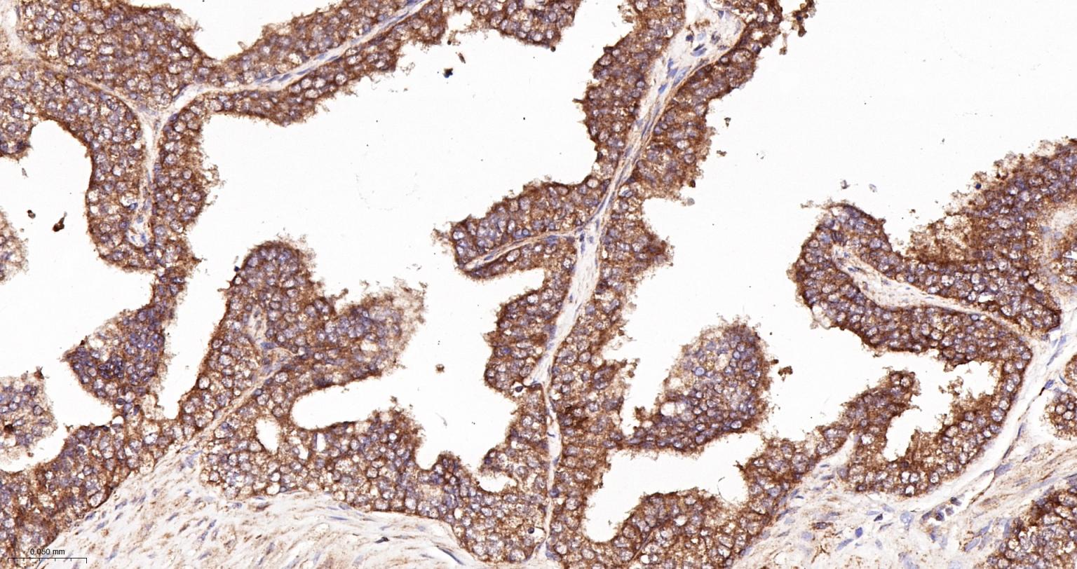
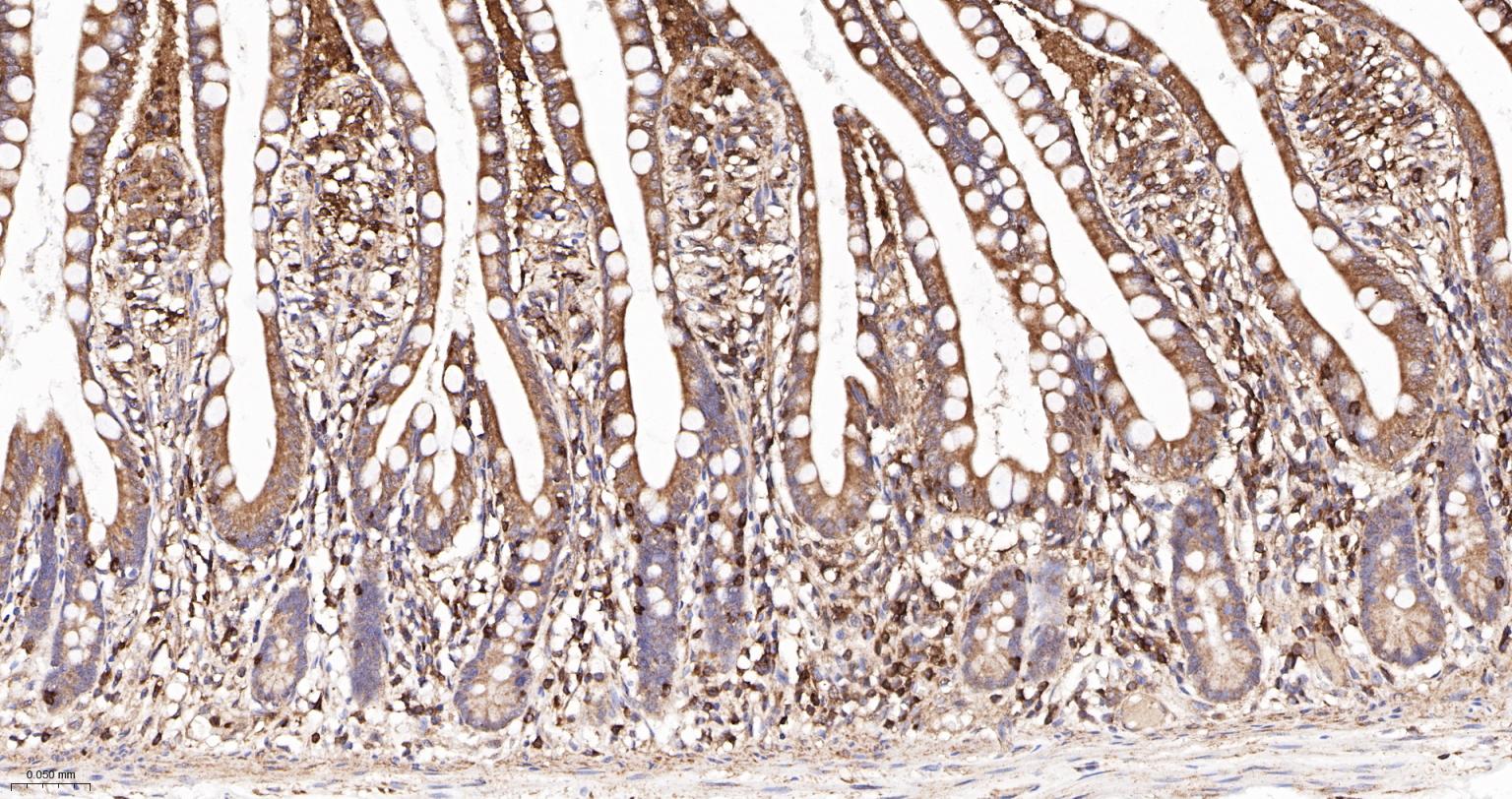
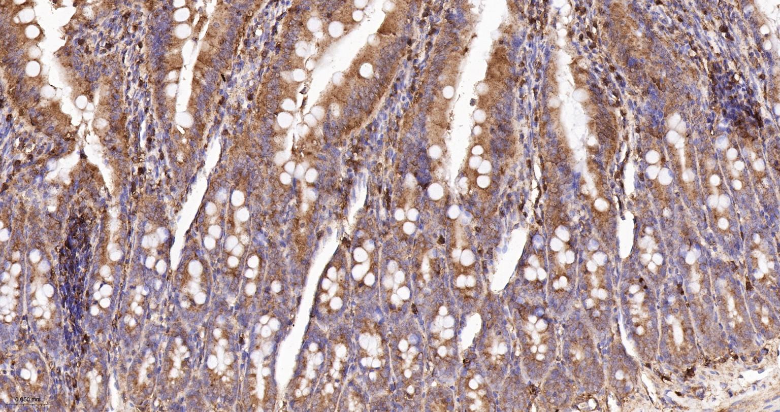
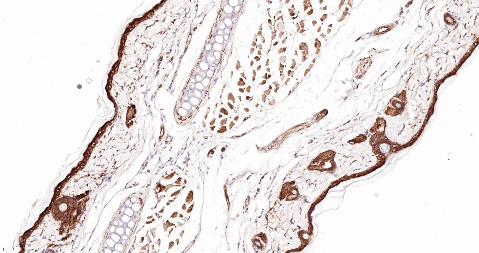
产品应用

应用已检合格种属预测种属推荐稀释比例
WBHuman, Mouse, Rat1:500-2000
IHC-PHuman, Mouse, Rat1:100-500
IHC-FHuman, Mouse, Rat1:100-500
IFHuman, Mouse, Rat1:100-500
ICC/IFHumanMouse, Rat1:50-200

交叉反应

交叉反应: Human, Mouse, Rat

相关产品

暂无相关产品

靶标

基因名
ACTR2
蛋白名
Actin-related protein 2
亚基
Component of the Arp2/3 complex composed of ARP2, ARP3, ARPC1B/p41-ARC, ARPC2/p34-ARC, ARPC3/p21-ARC, ARPC4/p20-ARC and ARPC5/p16-ARC.
亚细胞定位
Cytoplasm; cytoskeleton. Cell projection.
相似性
Belongs to the actin family. ARP2 subfamily.
功能
Functions as ATP-binding component of the Arp2/3 complex which is involved in regulation of actin polymerization and together with an activating nucleation-promoting factor (NPF) mediates the formation of branched actin networks. Seems to contact the pointed end of the daughter actin filament.

标记抗体

暂无标记数据

同靶标产品

暂无同靶标产品

相关文献

提示: 发表研究结果有使用 bsm-62309R 时请让我们知道,以便我们可以引用参考文章。作为回馈,资料提供者将获得我们送上的小礼品。

暂无相关文献

常见问题

暂无常见问题