磷酸变位酶1重组兔单抗

Rrmab?兔单抗
2026-03-02~2026-04-30,KXJ26032026-03-02~2026-04-30,促销赠品
磷酸变位酶1重组兔单抗
货号:bsm-60524R
产品详情
相关标记
相关产品
相关文献
常见问题

概述

产品编号
bsm-60524R
产品类型
重组兔单抗
英文名称
PGAM1 Recombinant Rabbit mAb
中文名称
磷酸变位酶1重组兔单抗
英文别名
HEL-S-35; PGAM-B; PGAMA; 2310050F24Rik; Pgam-1; Pgmut; PGAM1_HUMAN; PGAM1; BPG-dependent PGAM 1; Phosphoglycerate mutase isozyme B (PGAM-B); 5.4.2.11; 5.4.2.4; PGAM1_MOUSE; PGAM1_RAT;
抗体来源
Rabbit
免疫原
A synthesized peptide derived from human PGAMA1: 1-54/254
亚型
IgG/Kappa
性状
Liquid
纯化方法
affinity purified by Protein A
克隆类型
Recombinant
克隆号
D3C4
浓度
1mg/ml
储存液
0.01M TBS (pH7.4) with 1% BSA, 0.02% Proclin300 and 50% Glycerol.
保存条件
Shipped at 4℃. Store at -20℃ for one year. Avoid repeated freeze/thaw cycles.
注意事项
This product as supplied is intended for research use only, not for use in human, therapeutic or diagnostic applications.
背景资料
PGAM1 belongs to the phosphoglycerate mutase family, BPG-dependent PGAM subfamily. It is involved in the interconversion of 3- and 2-phosphoglycerate with 2,3-bisphosphoglycerate as the primer of the reaction.
磷酸变位酶1重组兔单抗磷酸变位酶1重组兔单抗磷酸变位酶1重组兔单抗磷酸变位酶1重组兔单抗磷酸变位酶1重组兔单抗磷酸变位酶1重组兔单抗磷酸变位酶1重组兔单抗磷酸变位酶1重组兔单抗磷酸变位酶1重组兔单抗磷酸变位酶1重组兔单抗磷酸变位酶1重组兔单抗

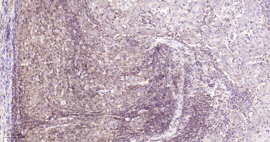
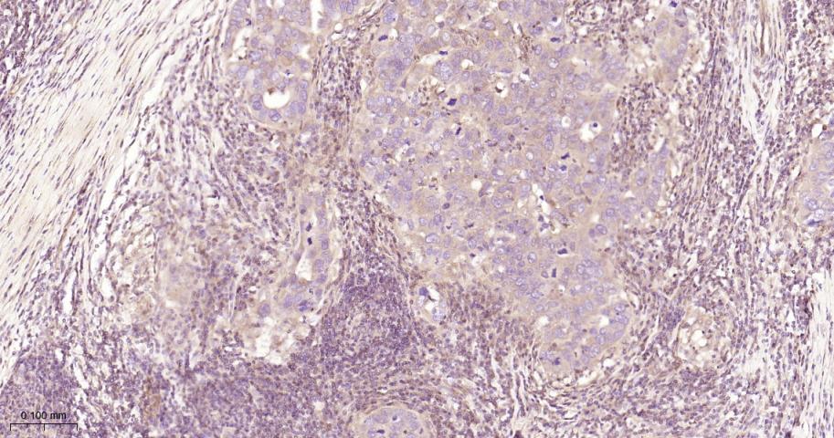
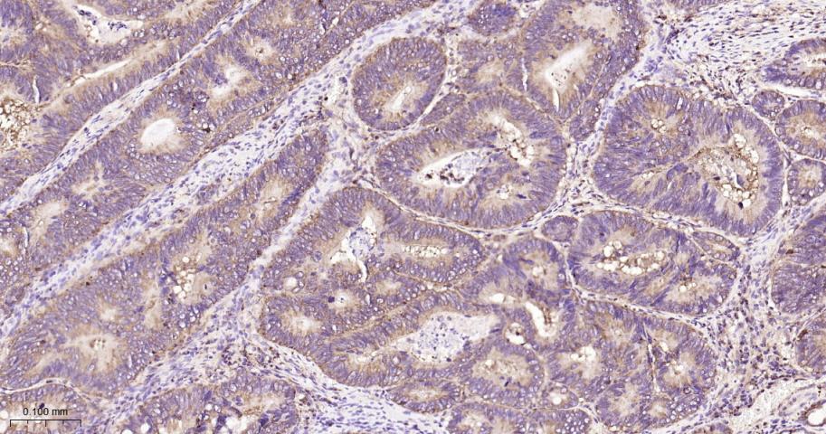
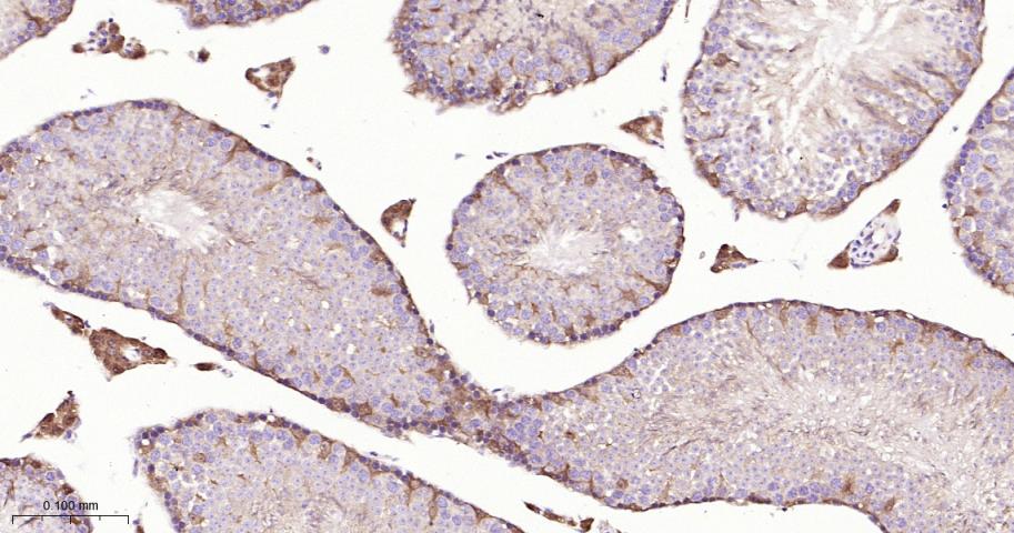
产品应用

应用已检合格种属预测种属推荐稀释比例
WBHuman, Mouse, Rat1:500-2000
IHC-PHuman, Mouse, Rat1:50-200
IHC-FHuman, Mouse, Rat1:50-200
IFHuman, Mouse, Rat1:50-200
Flow-CytHuman, Mouse, Rat1:50-100

交叉反应

交叉反应: Human, Mouse, Rat

相关产品

暂无相关产品

靶标

基因名
PGAM1
蛋白名
phosphoglycerate mutase 1
亚基
Homodimer.
组织特异性
In mammalian tissues there are two types of phosphoglycerate mutase isozymes: type-M in muscles and type-B in other tissues.
翻译后修饰
Acetylated at Lys-253, Lys-253 and Lys-254 under high glucose condition. Acetylation increases catalytic activity. Under glucose restriction SIRT1 levels dramatically increase and it deacetylates the enzyme.
相似性
Belongs to the phosphoglycerate mutase family. BPG-dependent PGAM subfamily.
功能
Interconversion of 3- and 2-phosphoglycerate with 2,3-bisphosphoglycerate as the primer of the reaction. Can also catalyze the reaction of EC 5.4.2.4 (synthase) and EC 3.1.3.13 (phosphatase), but with a reduced activity.

标记抗体

暂无标记数据

同靶标产品

暂无同靶标产品

相关文献

提示: 发表研究结果有使用 bsm-60524R 时请让我们知道,以便我们可以引用参考文章。作为回馈,资料提供者将获得我们送上的小礼品。

暂无相关文献

常见问题

暂无常见问题