毒蕈碱型乙酰胆碱受体重组兔单抗

Rrmab?兔单抗
2026-03-02~2026-04-30,KXJ26032026-03-02~2026-04-30,促销赠品
毒蕈碱型乙酰胆碱受体重组兔单抗
货号:bsm-62216R
产品详情
相关标记
相关产品
相关文献
常见问题

概述

产品编号
bsm-62216R
产品类型
重组兔单抗
英文名称
CHRM2 Recombinant Rabbit mAb
中文名称
毒蕈碱型乙酰胆碱受体重组兔单抗
英文别名
HM2; AChR-M2; Chrm-2; M2; ACM2_HUMAN; CHRM2;
抗体来源
Rabbit
免疫原
A synthesized peptide derived from human CHRM2: 152-180/466
亚型
IgG
性状
Liquid
纯化方法
affinity purified by Protein A
克隆类型
Recombinant
克隆号
12G9
理论分子量
52 kDa
检测分子量
52 kDa
储存液
10mM phosphate buffered saline(pH 7.4) with 150mM sodium chloride, 0.05% BSA, 0.02% Proclin300 and 50% glycerol.
SWISS
Gene ID
保存条件
Store at 4℃ for short term. Store at -20℃ for long term. Avoid repeated freeze/thaw cycles.
注意事项
This product as supplied is intended for research use only, not for use in human, therapeutic or diagnostic applications.
产品介绍
ChRM2 ( muscarinic acetylcholine receptor M2 ) 毒蕈碱型乙酰胆碱受体通过与G蛋白偶联,调节各种细胞应答,包括抑制腺苷酸环化酶,降解磷酸肌醇和调节钾通道。
毒蕈碱型乙酰胆碱受体(又称:Cholinergic receptor,mucarinic 2)是一类可以被毒蕈碱激活而受阿托品抑制的受体.此抗体真对Cholinergic receptor,mucarinic 2蛋白的N-端部分。
背景资料
The muscarinic acetylcholine receptor mediates various cellular responses, including inhibition of adenylate cyclase, breakdown of phosphoinositides and modulation of potassium channels through the action of G proteins.
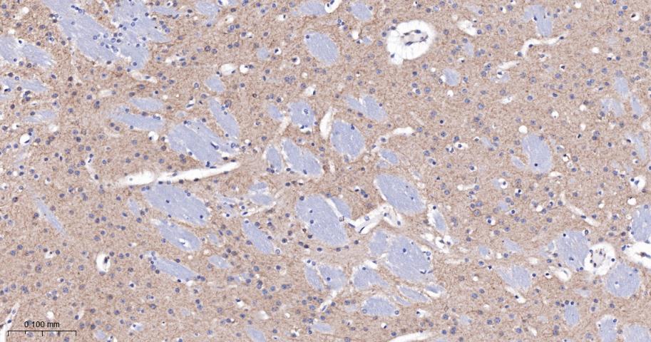
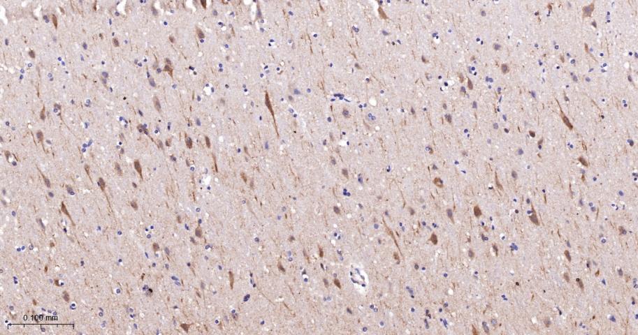
毒蕈碱型乙酰胆碱受体重组兔单抗毒蕈碱型乙酰胆碱受体重组兔单抗毒蕈碱型乙酰胆碱受体重组兔单抗毒蕈碱型乙酰胆碱受体重组兔单抗毒蕈碱型乙酰胆碱受体重组兔单抗

产品应用

应用已检合格种属预测种属推荐稀释比例
WBHuman, Mouse, Rat1:500-2000
IHC-PHuman, Mouse, Rat1:50-200
IHC-FHuman, Mouse, Rat1:50-200
IFHuman, Mouse, Rat1:50-200
IPHuman, Mouse, Rat1:20-50

交叉反应

交叉反应: Human, Mouse, Rat

相关产品

暂无相关产品

靶标

基因名
CHRM2
蛋白名
Muscarinic acetylcholine receptor M2
亚基
Interacts with ARRB1 and ARRB2. Interacts with GNB2L1/RACK1; the interaction regulates CHRM2 internalization.
亚细胞定位
Cell membrane; Multi-pass membrane protein. Cell junction, synapse, postsynaptic cell membrane; Multi-pass membrane protein.
疾病
Genetic variations in CHRM2 can influence susceptibility to major depressive disorder (MDD) [MIM:608516]. MDD is one of the most common psychiatric disorders. MDD is a complex trait characterized by one or more major depressive episodes without a history of manic, mixed, or hypomanic episodes. A major depressive episode is characterized by at least 2 weeks during which there is a new onset or clear worsening of either depressed mood or loss of interest or pleasure in nearly all activities. Four additional symptoms must also be present including changes in appetite, weight, sleep, and psychomotor activity; decreased energy; feelings of worthlessness or guilt; difficulty thinking, concentrating, or making decisions; or recurrent thoughts of death or suicidal ideation, plans, or attempts. The episode must be accompanied by distress or impairment in social, occupational, or other important areas of functioning.
相似性
Belongs to the G-protein coupled receptor 1 family. Muscarinic acetylcholine receptor subfamily. CHRM2 sub-subfamily.
功能
The muscarinic acetylcholine receptor mediates various cellular responses, including inhibition of adenylate cyclase, breakdown of phosphoinositides and modulation of potassium channels through the action of G proteins. Primary transducing effect is adenylate cyclase inhibition.

标记抗体

暂无标记数据

同靶标产品

暂无同靶标产品

相关文献

提示: 发表研究结果有使用 bsm-62216R 时请让我们知道,以便我们可以引用参考文章。作为回馈,资料提供者将获得我们送上的小礼品。

暂无相关文献

常见问题

暂无常见问题