载脂蛋白D重组兔单抗

Rrmab?兔单抗
2026-03-02~2026-04-30,KXJ26032026-03-02~2026-04-30,促销赠品
载脂蛋白D重组兔单抗
货号:bsm-62203R
产品详情
相关标记
相关产品
相关文献
常见问题

概述

产品编号
bsm-62203R
产品类型
重组兔单抗
英文名称
Apolipoprotein D Recombinant Rabbit mAb
中文名称
载脂蛋白D重组兔单抗
英文别名
APOD_HUMAN; APOD; Apo-D;
抗体来源
Rabbit
免疫原
A synthesized peptide derived from human Apolipoprotein D: 1-58/189
亚型
IgG
性状
Liquid
纯化方法
affinity purified by Protein A
克隆类型
Recombinant
克隆号
4E11
理论分子量
21 kDa
检测分子量
28 kDa
储存液
10mM phosphate buffered saline(pH 7.4) with 150mM sodium chloride, 0.05% BSA, 0.02% Proclin300 and 50% glycerol.
SWISS
Gene ID
保存条件
Store at 4℃ for short term. Store at -20℃ for long term. Avoid repeated freeze/thaw cycles.
注意事项
This product as supplied is intended for research use only, not for use in human, therapeutic or diagnostic applications.
产品介绍
载脂蛋白D(apolipoprotein D,apoD)是一个糖蛋白,它最初是在人血浆的高密度脂蛋白中被分离出来的。apoD在结构上与其他类型的载脂蛋白存在很大的差异,被归入脂肪促成素家族。apoD可以与胆固醇、黄体酮、胆红素等多种疏水性小分子结合。
apoD在多种脊索动物的各类组织中广泛表达, 在脊椎动物中重要的生理功能。最近的研究表明,apoD可以作为多种癌症及神经系统疾病的早期诊断标记, apoD是一个多配体、多功能的蛋白质.
背景资料
APOD occurs in the macromolecular complex with lecithin-cholesterol acyltransferase. It is probably involved in the transport and binding of bilin. Appears to be able to transport a variety of ligands in a number of different contexts.
载脂蛋白D重组兔单抗载脂蛋白D重组兔单抗载脂蛋白D重组兔单抗

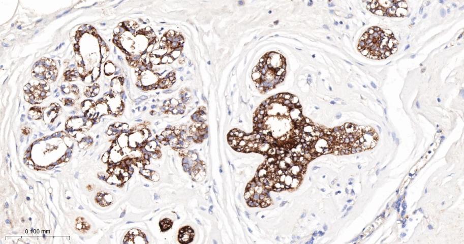
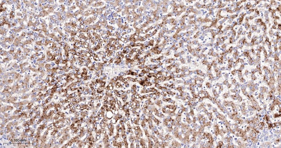
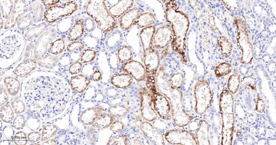
产品应用

应用已检合格种属预测种属推荐稀释比例
IHC-PHuman1:100-500
IHC-FHuman1:100-500
IFHuman1:100-500

交叉反应

交叉反应: Human

相关产品

暂无相关产品

靶标

基因名
APOD
蛋白名
Apolipoprotein D
亚基
Homodimer. In plasma, also exists as a disulfide-linked heterodimer with APOA2.
亚细胞定位
Secreted.
组织特异性
Expressed in liver, intestine, pancreas, kidney, placenta, adrenal, spleen, fetal brain tissue and tears.
翻译后修饰
N-glycosylatd. N-glycan heterogeneity at Asn-65: Hex5HexNAc4 (major) and Hex6HexNAc5 (minor); at Asn-98: Hex5HexNAc4 (minor), dHex1Hex5HexNAc4 (major), dHex1Hex6HexNAc5 (minor) and dHex1Hex7HexNAc6 (minor).
相似性
Belongs to the calycin superfamily. Lipocalin family.
功能
APOD occurs in the macromolecular complex with lecithin-cholesterol acyltransferase. It is probably involved in the transport and binding of bilin. Appears to be able to transport a variety of ligands in a number of different contexts.

标记抗体

暂无标记数据

同靶标产品

暂无同靶标产品

相关文献

提示: 发表研究结果有使用 bsm-62203R 时请让我们知道,以便我们可以引用参考文章。作为回馈,资料提供者将获得我们送上的小礼品。

暂无相关文献

常见问题

暂无常见问题