α-半乳糖苷酶重组兔单抗

Rrmab?兔单抗
2026-03-02~2026-04-30,KXJ26032026-03-02~2026-04-30,促销赠品
α-半乳糖苷酶重组兔单抗
货号:bsm-62171R
产品详情
相关标记
相关产品
相关文献
常见问题

概述

产品编号
bsm-62171R
产品类型
重组兔单抗、mIHC精品抗体
英文名称
Galactosidase alpha Recombinant Rabbit mAb
中文名称
α-半乳糖苷酶重组兔单抗
英文别名
GALA; Ags; AGAL_HUMAN; GLA; Alpha-D-galactosidase A; Alpha-D-galactoside galactohydrolase; Galactosylgalactosylglucosylceramidase GLA; Melibiase; 3.2.1.22; AGAL_MOUSE;
抗体来源
Rabbit
免疫原
A synthesized peptide derived from human alpha Galactosidase A: 100-150/429
亚型
IgG
性状
Liquid
纯化方法
affinity purified by Protein A
克隆类型
Recombinant
克隆号
4D11
理论分子量
49 kDa
检测分子量
46 kDa
储存液
10mM phosphate buffered saline(pH 7.4) with 150mM sodium chloride, 0.05% BSA, 0.02% Proclin300 and 50% glycerol.
SWISS
Gene ID
保存条件
Store at 4℃ for short term. Store at -20℃ for long term. Avoid repeated freeze/thaw cycles.
注意事项
This product as supplied is intended for research use only, not for use in human, therapeutic or diagnostic applications.
背景资料
Catalyzes the hydrolysis of glycosphingolipids and participates in their degradation in the lysosome.
α-半乳糖苷酶重组兔单抗α-半乳糖苷酶重组兔单抗α-半乳糖苷酶重组兔单抗

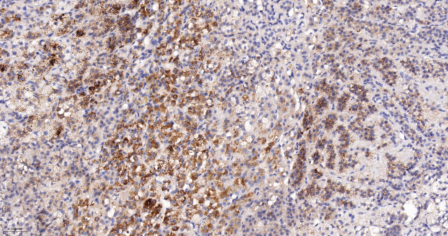
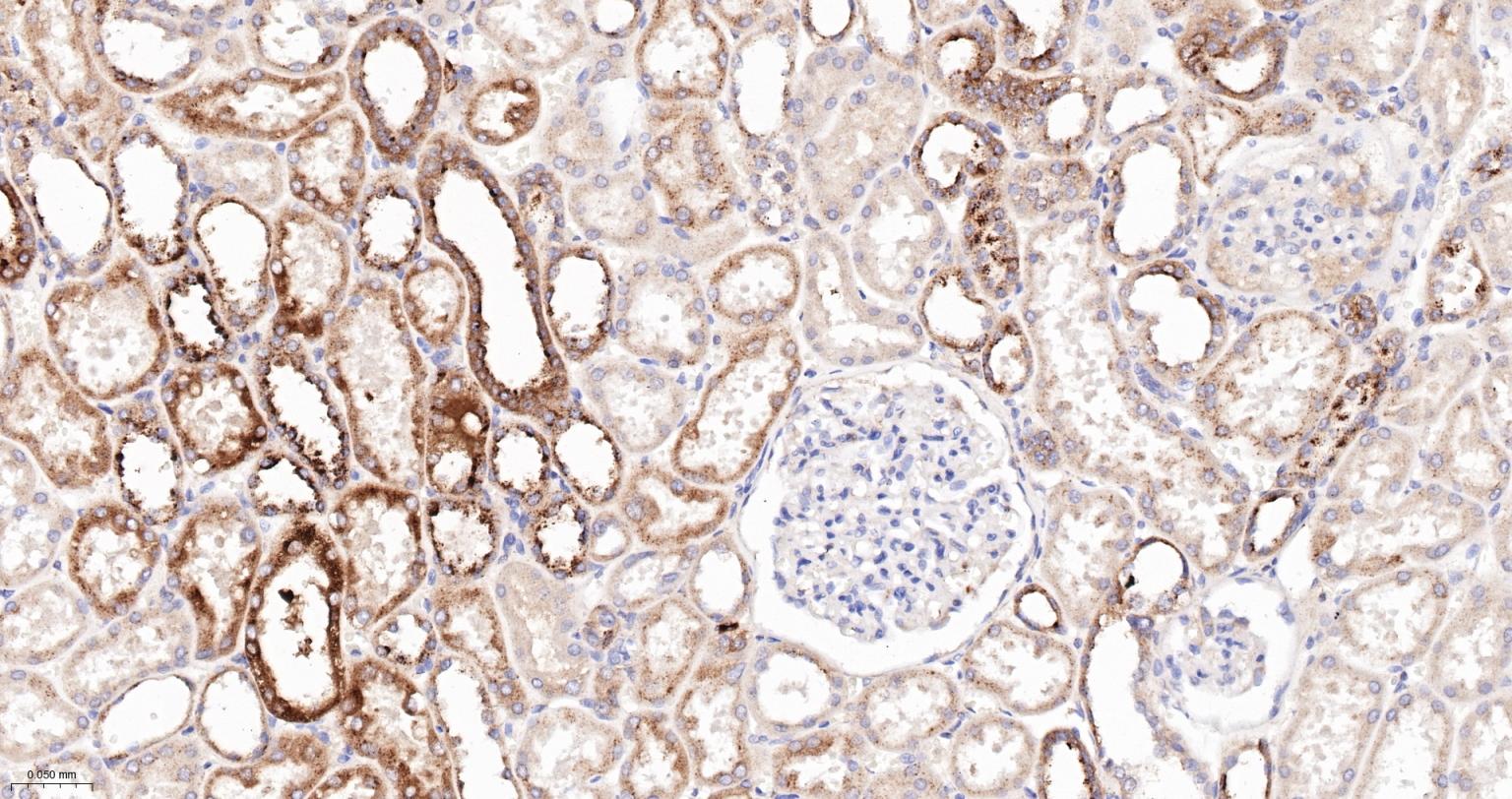
产品应用

应用已检合格种属预测种属推荐稀释比例
WBHuman1:500-2000
IHC-PHuman1:50-200
IHC-FHuman1:50-200
IFHuman1:50-200
Flow-CytHuman1:50-100
ICC/IFHuman1:50-200
IPHuman1:20-50

交叉反应

交叉反应: Human

相关产品

暂无相关产品

靶标

基因名
GLA
蛋白名
alpha-galactosidase A
亚基
Homodimer.
亚细胞定位
Lysosome.
疾病
Defects in GLA are the cause of Fabry disease (FD) [MIM:301500]. FD is a rare X-linked sphingolipidosis disease where glycolipid accumulates in many tissues. The disease consists of an inborn error of glycosphingolipid catabolism. FD patients show systemic accumulation of globotriaoslyceramide (Gb3) and related glycosphingolipids in the plasma and cellular lysosomes throughout the body. Clinical recognition in males results from characteristic skin lesions (angiokeratomas) over the lower trunk. Patients may show ocular deposits, febrile episodes, and burning pain in the extremities. Death results from renal failure, cardiac or cerebral complications of hypertension or other vascular disease. Heterozygous females may exhibit the disorder in an attenuated form, they are more likely to show corneal opacities.
相似性
Belongs to the glycosyl hydrolase 27 family.

标记抗体

暂无标记数据

同靶标产品

暂无同靶标产品

相关文献

提示: 发表研究结果有使用 bsm-62171R 时请让我们知道,以便我们可以引用参考文章。作为回馈,资料提供者将获得我们送上的小礼品。

暂无相关文献

常见问题

暂无常见问题