硒蛋白Z重组兔单抗

Rrmab?兔单抗
2026-03-02~2026-04-30,KXJ26032026-03-02~2026-04-30,促销赠品
硒蛋白Z重组兔单抗
货号:bsm-62166R
产品详情
相关标记
相关产品
相关文献
常见问题

概述

产品编号
bsm-62166R
产品类型
重组兔单抗
英文名称
TXNRD2/SELZ Recombinant Rabbit mAb
中文名称
硒蛋白Z重组兔单抗
英文别名
GCCD5; SELZ; TR; TR-BETA; TR3; TRXR2; TXNR2; ESTM573010; TGR; Trxrd2; TRXR2_HUMAN; TXNRD2; Selenoprotein Z (SelZ); Thioredoxin reductase TR3; 1.8.1.9; KIAA1652; TRXR2_MOUSE; TRXR2_RAT;
抗体来源
Rabbit
免疫原
A synthesized peptide derived from human TXNRD2: 50-100/524
亚型
IgG
性状
Liquid
纯化方法
affinity purified by Protein A
克隆类型
Recombinant
克隆号
3D5
理论分子量
57 kDa
检测分子量
57 kDa
储存液
10mM phosphate buffered saline(pH 7.4) with 150mM sodium chloride, 0.05% BSA, 0.02% Proclin300 and 50% glycerol.
SWISS
Gene ID
保存条件
Store at 4℃ for short term. Store at -20℃ for long term. Avoid repeated freeze/thaw cycles.
注意事项
This product as supplied is intended for research use only, not for use in human, therapeutic or diagnostic applications.
背景资料
Involved in the control of reactive oxygen species levels and the regulation of mitochondrial redox homeostasis.Maintains thioredoxin in a reduced state. May play a role in redox-regulated cell signaling.
硒蛋白Z重组兔单抗硒蛋白Z重组兔单抗硒蛋白Z重组兔单抗

产品应用

应用已检合格种属预测种属推荐稀释比例
WBHuman, Mouse, Rat1:500-2000
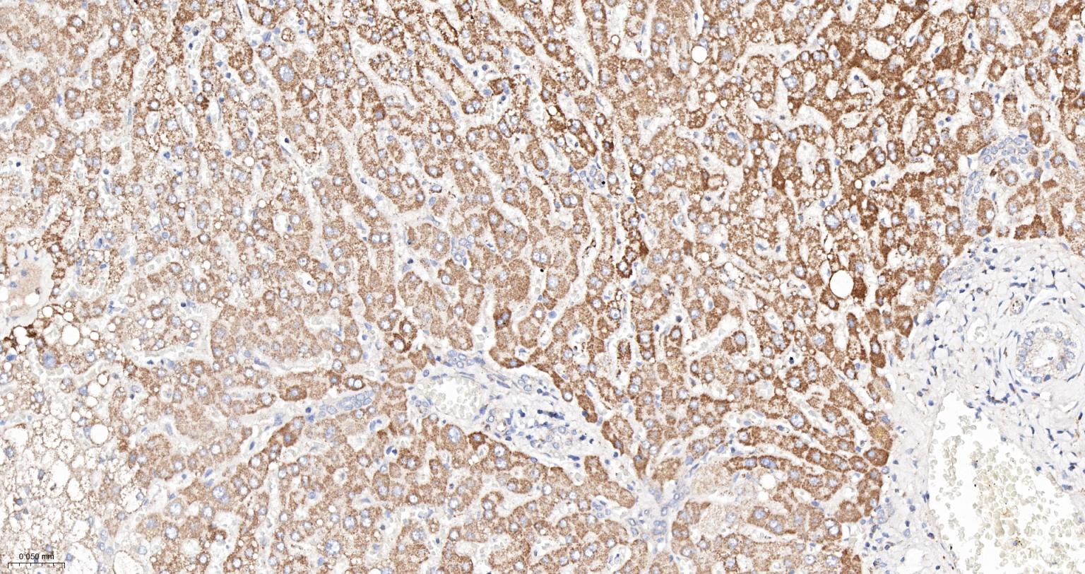
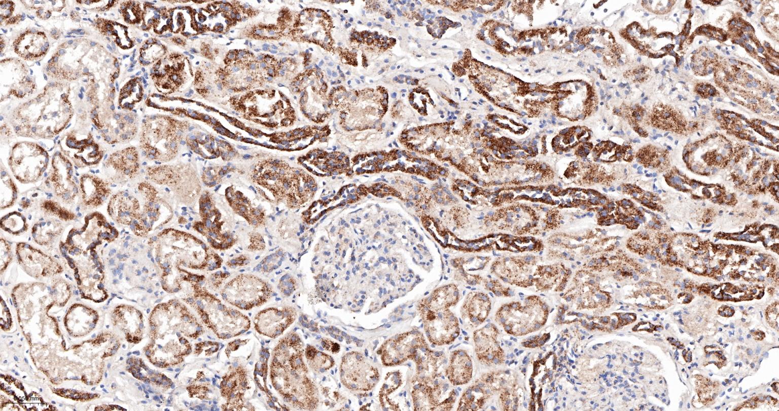
IHC-PHumanMouse, Rat1:100-500
IHC-FHumanMouse, Rat1:100-500
IFHumanMouse, Rat1:100-500

交叉反应

交叉反应: Human, Mouse, Rat

相关产品

暂无相关产品

靶标

基因名
TXNRD2
蛋白名
Thioredoxin reductase 2, mitochondrial
亚基
Homodimer.
亚细胞定位
Mitochondrion.
组织特异性
Highly expressed in the prostate, ovary, liver, testis, uterus, colon and small intestine. Intermediate levels in brain, skeletal muscle, heart and spleen. Low levels in placenta, pancreas, thymus and peripheral blood leukocytes. According to PubMed:10608886, high levels in kidney, whereas according to PubMed:9923614, levels are low.
相似性
Belongs to the class-I pyridine nucleotide-disulfide oxidoreductase family.
功能
Maintains thioredoxin in a reduced state. Implicated in the defenses against oxidative stress. May play a role in redox-regulated cell signaling.

标记抗体

暂无标记数据

同靶标产品

暂无同靶标产品

相关文献

提示: 发表研究结果有使用 bsm-62166R 时请让我们知道,以便我们可以引用参考文章。作为回馈,资料提供者将获得我们送上的小礼品。

暂无相关文献

常见问题

暂无常见问题