




| 应用 | 已检合格种属 | 预测种属 | 推荐稀释比例 |
|---|---|---|---|
| WB | Mouse, Rat | Human | 1:500-2000 |
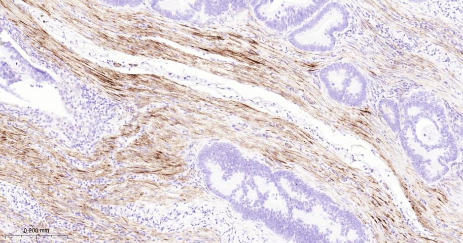
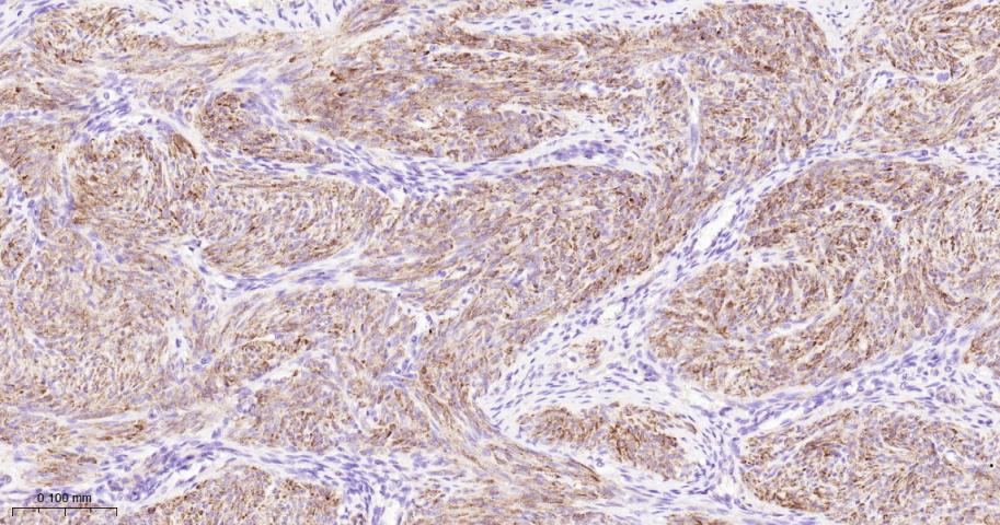
| IHC-P | Human | Mouse, Rat | 1:50-200 |
| IHC-F | Human | Mouse, Rat | 1:50-200 |
| IF | Human | Mouse, Rat | 1:50-200 |
| Flow-Cyt | Human | Mouse, Rat | 1:50-100 |
| IP | Human, Mouse, Rat | 1:20-50 |
交叉反应: Human, Mouse (predicted: Rat)
暂无相关产品
Expressed in popliteal artery and 182 other cell types or tissues
Phosphorylation increases the actin-activated myosin ATPase activity and thereby regulates the contractile activity. It is required to generate the driving force in the migration of the cells but not necessary for localization of myosin-2 at the leading edge.
Myosin regulatory subunit that plays an important role in regulation of both smooth muscle and nonmuscle cell contractile activity via its phosphorylation. Implicated in cytokinesis, receptor capping, and cell locomotion (PubMed:11942626, PubMed:2526655).<br>
In myoblasts, may regulate PIEZO1-dependent cortical actomyosin assembly involved in myotube formation (By similarity).
暂无标记数据
暂无同靶标产品
暂无相关文献
暂无常见问题