谷氨酸受体1重组兔单抗

Rrmab?兔单抗
2026-03-02~2026-04-30,KXJ26032026-03-02~2026-04-30,促销赠品
谷氨酸受体1重组兔单抗
货号:bsm-62123R
产品详情
相关标记
相关产品
相关文献
常见问题

概述

产品编号
bsm-62123R
产品类型
重组兔单抗
英文名称
GluR1 Recombinant Rabbit mAb
中文名称
谷氨酸受体1重组兔单抗
英文别名
GLUH1; GLUR1; GLURA; GluA1; HBGR1; MRD67; MRT76; 2900051M01Rik; Glr-1; Glr1; GluR-A; Glur-1; HIPA1; gluR-K1; GRIA1_HUMAN; GRIA1; AMPA-selective glutamate receptor 1; Glutamate receptor ionotropic, AMPA 1; GRIA1_MOUSE; Glutamate receptor ionotropic, AMPA 1 (GluA1); GRIA1_RAT;
抗体来源
Rabbit
免疫原
A synthesized peptide derived from human GluR1: 850-906
亚型
IgG
性状
Liquid
纯化方法
affinity purified by Protein A
克隆类型
Recombinant
克隆号
5H8
理论分子量
102 kDa
检测分子量
102 kDa
储存液
10mM phosphate buffered saline(pH 7.4) with 150mM sodium chloride, 0.05% BSA, 0.02% Proclin300 and 50% glycerol.
SWISS
Gene ID
保存条件
Store at 4℃ for short term. Store at -20℃ for long term. Avoid repeated freeze/thaw cycles.
注意事项
This product as supplied is intended for research use only, not for use in human, therapeutic or diagnostic applications.
产品介绍
NMDAR1又称GluR1 (Glutamate Receptor 1)近年实验研究发现,许多NMDAR拮抗药均具有镇痛活性,表明NMDAR在痛觉传递中具有重要作用,这为新型镇痛药的研究开发提供了新的作用靶点。
背景资料
AMPA- (α-amino-3-hydroxy-5-methyl-4-isoxazolepropionic acid), kainate-, and NMDA- (N-methyl-D-aspartate) receptors are the three main families of ionotropic glutamate-gated ion channels. AMPA receptors (AMPARs) are comprised of four subunits (GluR 1-4), which assemble as homo- or hetero-tetramers to mediate the majority of fast excitatory transmissions in the central nervous system. AMPARs are implicated in synapse formation, stabilization, and plasticity.
谷氨酸受体1重组兔单抗谷氨酸受体1重组兔单抗谷氨酸受体1重组兔单抗谷氨酸受体1重组兔单抗谷氨酸受体1重组兔单抗谷氨酸受体1重组兔单抗谷氨酸受体1重组兔单抗谷氨酸受体1重组兔单抗谷氨酸受体1重组兔单抗

产品应用

应用已检合格种属预测种属推荐稀释比例
WBMouse, RatHuman1:500-2000
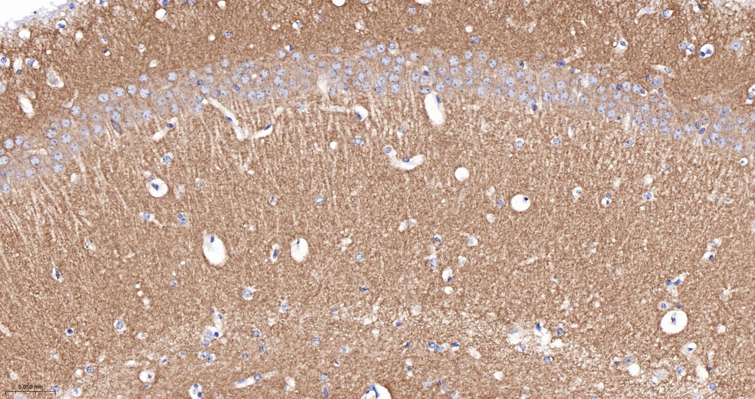
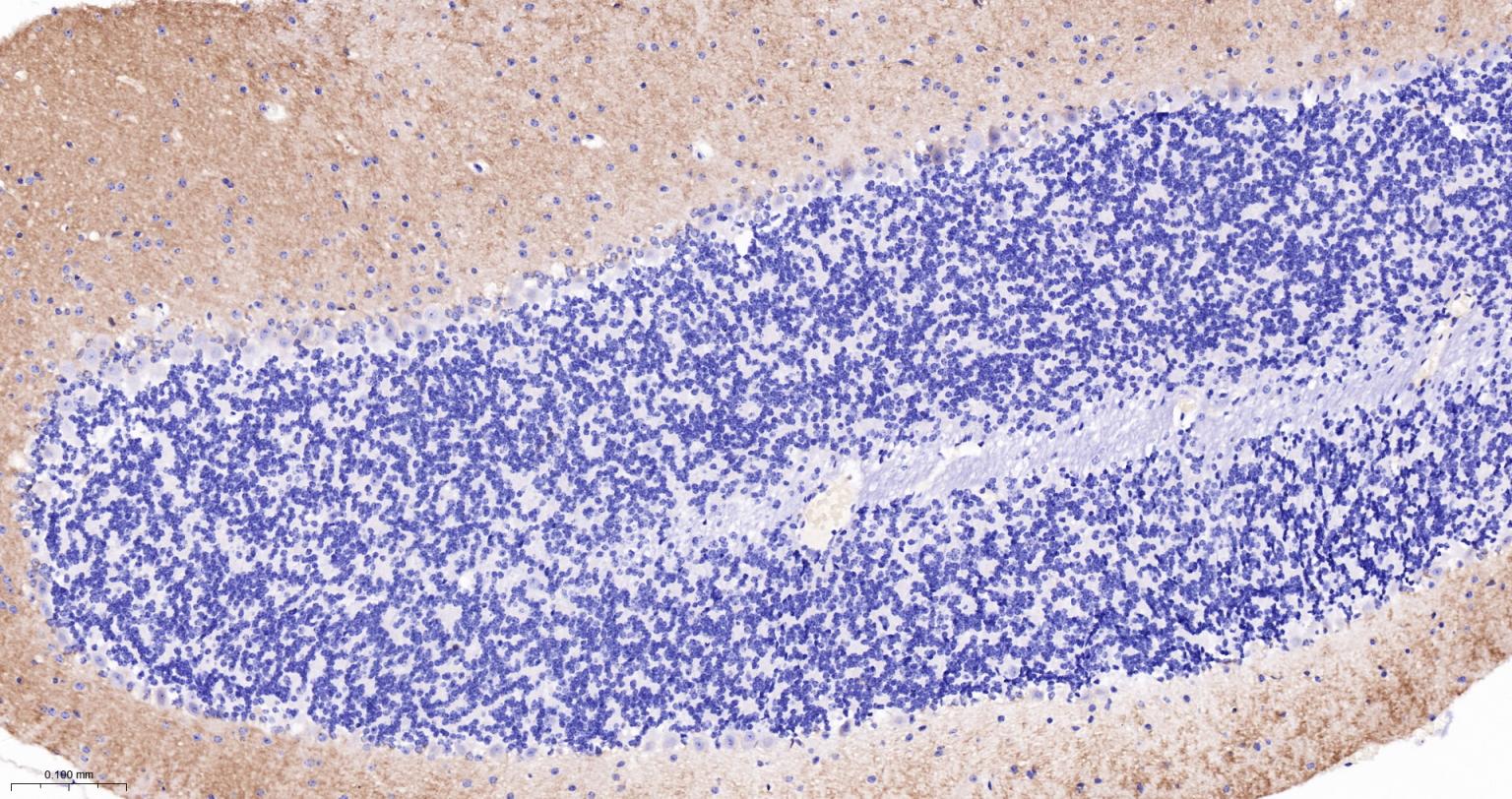
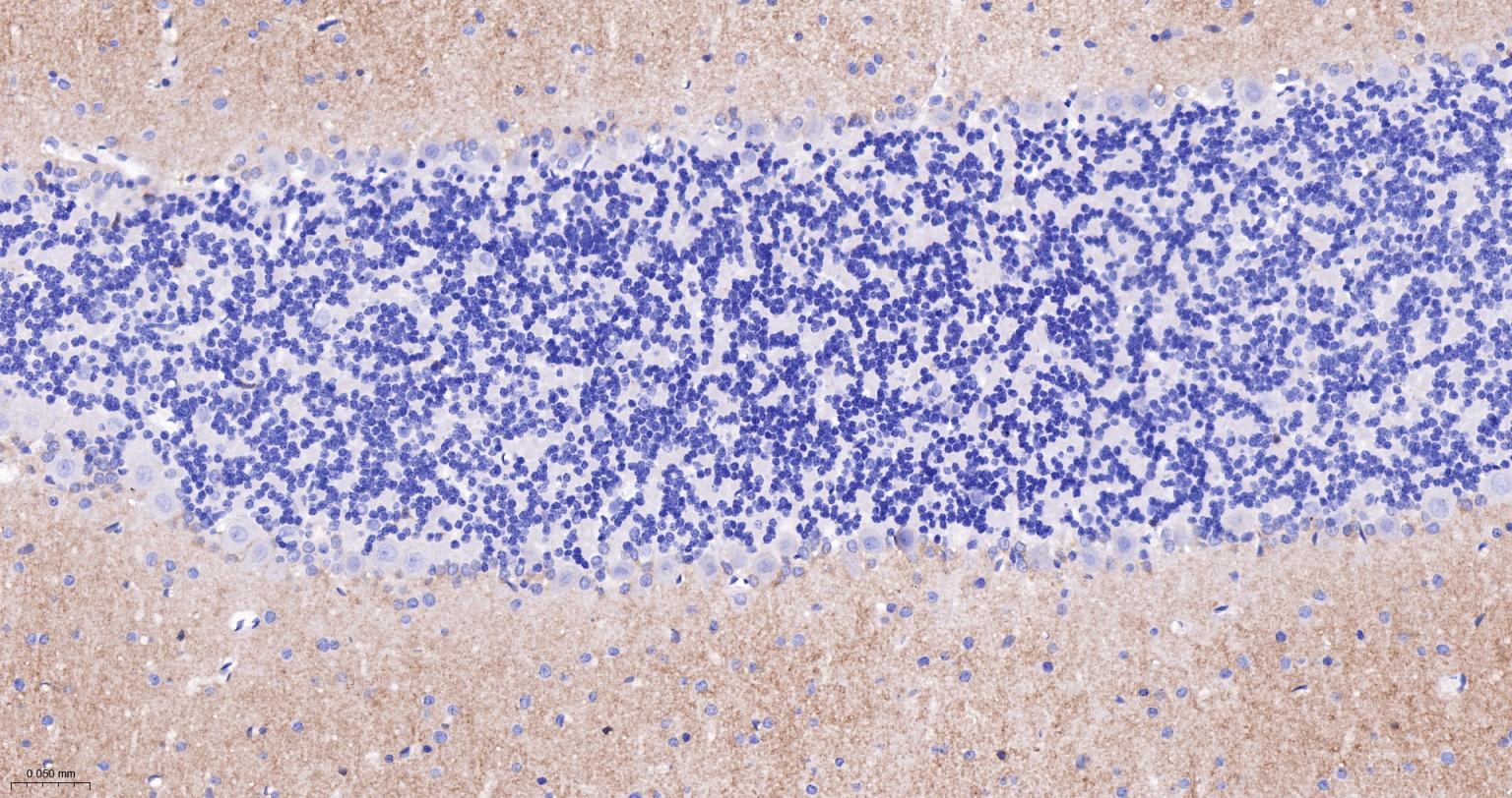
IHC-PHuman, Mouse, Rat1:100-500
IHC-FHuman, Mouse, Rat1:100-500
IFHuman, Mouse, Rat1:100-500
IPHuman, Mouse, Rat1:20-50

交叉反应

交叉反应: Human, Mouse, Rat

相关产品

暂无相关产品

靶标

基因名
GRIA1
蛋白名
Glutamate receptor 1
亚基
Homotetramer or heterotetramer of pore-forming glutamate receptor subunits. Tetramers may be formed by the dimerization of dimers. Interacts with DLG1 via its C-terminus. Interacts with SYNDIG1 and GRIA2. Interacts with LRFN. Interacts with HIP1 and RASGRF2. Found in a complex with GRIA2, GRIA3, GRIA4, CNIH2, CNIH3, CACNG2, CACNG3, CACNG4, CACNG5, CACNG7 and CACNG8. Interacts with CACNG5. Interacts with CNIH2 and CACNG2.
亚细胞定位
Cell membrane; Multi-pass membrane protein. Endoplasmic reticulum membrane; Multi-pass membrane protein. Cell junction, synapse, postsynaptic cell membrane; Multi-pass membrane protein. Cell junction, synapse, postsynaptic cell membrane, postsynaptic density. Cell projection, dendrit. Cell projection, dendritic spine. Note=Interaction with CACNG2, CNIH2 and CNIH3 promotes cell surface expression.
组织特异性
Widely expressed in brain.
翻译后修饰
Palmitoylated. Depalmitoylated upon glutamate stimulation. Cys-603 palmitoylation leads to Golgi retention and decreased cell surface expression. In contrast, Cys-829 palmitoylation does not affect cell surface expression but regulates stimulation-dependent endocytosis.
相似性
Belongs to the glutamate-gated ion channel (TC 1.A.10.1) family. GRIA1 subfamily.
功能
Ionotropic glutamate receptor. L-glutamate acts as an excitatory neurotransmitter at many synapses in the central nervous system. Binding of the excitatory neurotransmitter L-glutamate induces a conformation change, leading to the opening of the cation channel, and thereby converts the chemical signal to an electrical impulse. The receptor then desensitizes rapidly and enters a transient inactive state, characterized by the presence of bound agonist. In the presence of CACNG4 or CACNG7 or CACNG8, shows resensitization which is characterized by a delayed accumulation of current flux upon continued application of glutamate.

标记抗体

暂无标记数据

同靶标产品

暂无同靶标产品

相关文献

提示: 发表研究结果有使用 bsm-62123R 时请让我们知道,以便我们可以引用参考文章。作为回馈,资料提供者将获得我们送上的小礼品。

暂无相关文献

常见问题

暂无常见问题