细胞膜钙ATP酶1重组兔单抗

Rrmab?兔单抗
2026-03-02~2026-04-30,KXJ26032026-03-02~2026-04-30,促销赠品
细胞膜钙ATP酶1重组兔单抗
货号:bsm-62073R
产品详情
相关标记
相关产品
相关文献
常见问题

概述

产品编号
bsm-62073R
产品类型
重组兔单抗
英文名称
PMCA1 Recombinant Rabbit mAb
中文名称
细胞膜钙ATP酶1重组兔单抗
英文别名
MRD66; PMCA1; PMCA1kb; DFNA82; PMCA2; PMCA2a; PMCA2i; CFAP39; CLA2; OPCA; PMCA3; PMCA3a; SCAX1; ATP2B2; MXRA1; PMCA4; PMCA4b; PMCA4x; AT2B1_HUMAN; ATP2B1; Plasma membrane calcium ATPase isoform 1 (PMCA1); Plasma membrane calcium pump isoform 1; 7.2.2.10; AT2B4_HUMAN; ATP2B4; Matrix-remodeling-associated protein 1; Plasma membrane calcium ATPase isoform 4; Plasma membrane calcium pump isoform 4; AT2B2_HUMAN; Plasma membrane calcium ATPase isoform 2; Plasma membrane calcium pump isoform 2; AT2B3_HUMAN; ATP2B3; Plasma membrane calcium ATPase isoform 3; Plasma membrane calcium pump isoform 3;
抗体来源
Rabbit
免疫原
A synthesized peptide derived from human PMCA1: 1100-1150/1220
亚型
IgG
性状
Liquid
纯化方法
affinity purified by Protein A
克隆类型
Recombinant
克隆号
10G8
理论分子量
135 kDa
检测分子量
130-250 kDa
储存液
10mM phosphate buffered saline(pH 7.4) with 150mM sodium chloride, 0.05% BSA, 0.02% Proclin300 and 50% glycerol.
SWISS
Gene ID
保存条件
Store at 4℃ for short term. Store at -20℃ for long term. Avoid repeated freeze/thaw cycles.
注意事项
This product as supplied is intended for research use only, not for use in human, therapeutic or diagnostic applications.
背景资料
Catalyzes the hydrolysis of ATP coupled with the transport of calcium from the cytoplasm to the extracellular space thereby maintaining intracellular calcium homeostasis.
细胞膜钙ATP酶1重组兔单抗细胞膜钙ATP酶1重组兔单抗细胞膜钙ATP酶1重组兔单抗细胞膜钙ATP酶1重组兔单抗细胞膜钙ATP酶1重组兔单抗细胞膜钙ATP酶1重组兔单抗细胞膜钙ATP酶1重组兔单抗细胞膜钙ATP酶1重组兔单抗细胞膜钙ATP酶1重组兔单抗

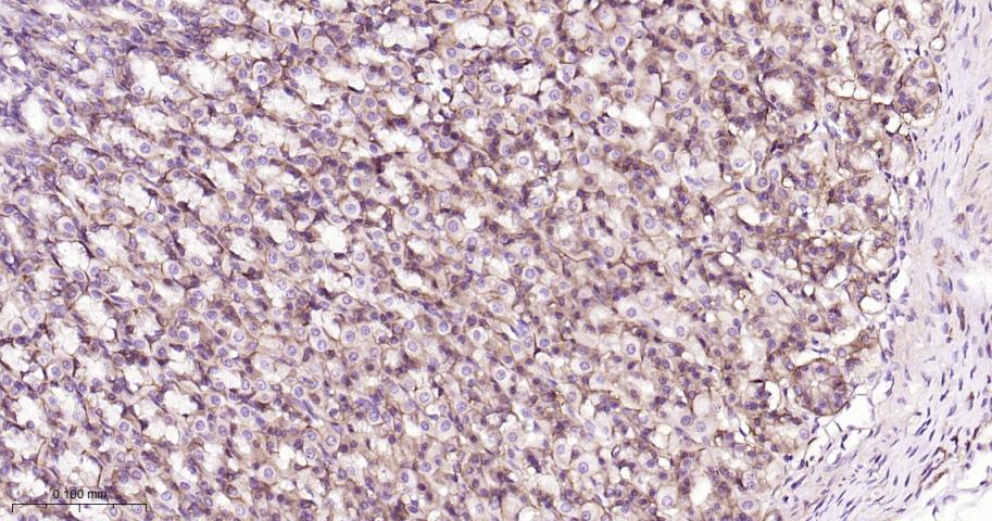
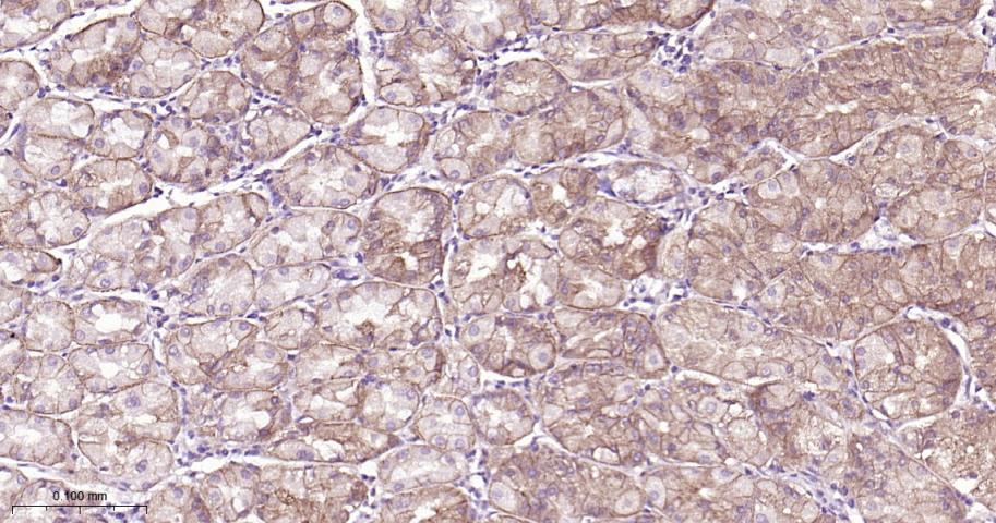
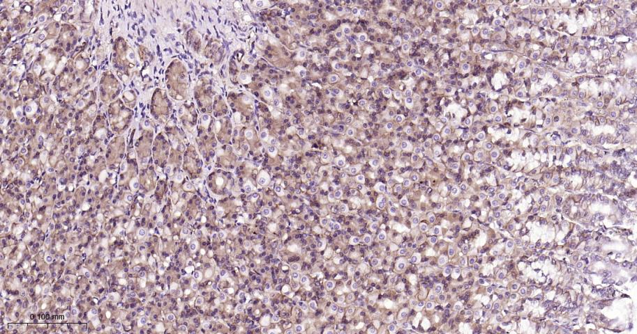
产品应用

应用已检合格种属预测种属推荐稀释比例
WBHumanMouse, Rat1:500-2000
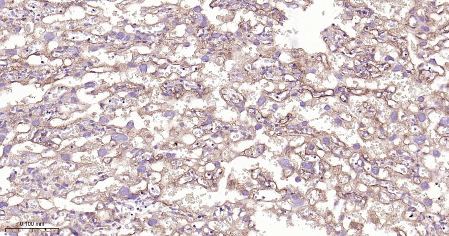
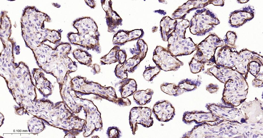
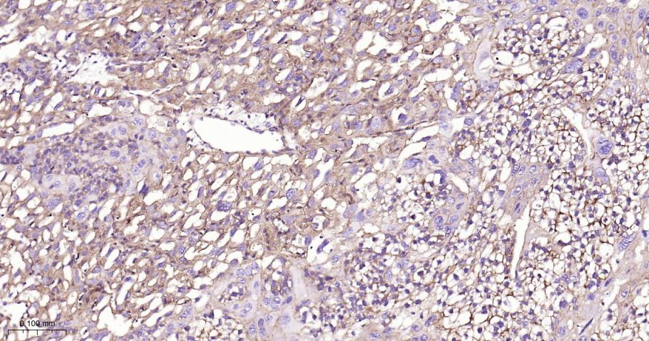
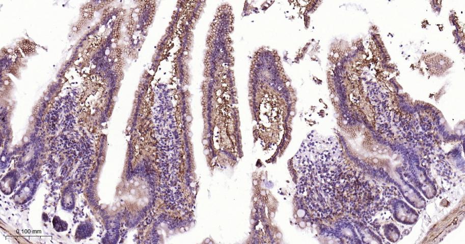
IHC-PHuman, Mouse, Rat1:50-200
IHC-FHuman, Mouse, Rat1:50-200
IFHuman, Mouse, Rat1:50-200

交叉反应

交叉反应: Human, Mouse, Rat

相关产品

暂无相关产品

靶标

基因名
ATP2B1
蛋白名
Plasma membrane calcium-transporting ATPase 1
亚细胞定位
Cell membrane; Multi-pass membrane protein.
组织特异性
Isoform XE and isoform XB are the most abundant isoforms and are detected at low levels in brain and fetal skeletal muscle. The other isoforms are only found at lower levels and not in fetal tissues.
相似性
Belongs to the cation transport ATPase (P-type) (TC 3.A.3) family. Type IIB subfamily.
功能
Calcium Pump PMCA3 ATPase belongs to the family of P-type primary ion transport ATPases characterized by the formation of an aspartyl phosphate intermediate during the reaction cycle. These enzymes remove bivalent calcium ions from eukaryotic cells against very large concentration gradients and play a critical role in intracellular calcium homeostasis. The mammalian plasma membrane calcium ATPase isoforms are encoded by at least four separate genes and the diversity of these enzymes is further increased by alternative splicing of transcripts. The expression of different isoforms and splice variants is regulated in a developmental, tissue- and cell type-specific manner, suggesting that these pumps are functionally adapted to the physiological needs of particular cells and tissues. Calcium Pump PMCA3 ATPase is the plasma membrane calcium ATPase isoform 3.

标记抗体

暂无标记数据

同靶标产品

暂无同靶标产品

相关文献

提示: 发表研究结果有使用 bsm-62073R 时请让我们知道,以便我们可以引用参考文章。作为回馈,资料提供者将获得我们送上的小礼品。

暂无相关文献

常见问题

暂无常见问题