PSMD14 Recombinant Rabbit mAb (一抗) - WB,IHC-P,IHC-F,IF,ICC/IF | Bioss

Rrmab?兔单抗
2026-05-01~2026-06-30,AB26052026-05-01~2026-06-30,WB精选(促销赠品)
PSMD14 Recombinant Rabbit mAb (一抗) - WB,IHC-P,IHC-F,IF,ICC/IF | Bioss
货号:bsm-62064R
产品详情
相关标记
相关产品
相关文献
常见问题

概述

产品编号
bsm-62064R
产品类型
重组兔单抗
英文名称
PSMD14 Recombinant Rabbit mAb
中文名称
蛋白酶调解因子14重组兔单抗
英文别名
PAD1; POH1; RPN11; 2610312C03Rik; 3200001M20Rik; rpm11; PSDE_HUMAN; PSMD14; 26S proteasome regulatory subunit RPN11; 26S proteasome-associated PAD1 homolog 1; 3.4.19.-; PSDE_MOUSE; MAD1;
抗体来源
Rabbit
免疫原
A synthesized peptide derived from human PSMD14: 150-200
亚型
IgG
性状
Liquid
纯化方法
affinity purified by Protein A
克隆类型
Recombinant
克隆号
1G11
理论分子量
35 kDa
检测分子量
36 kDa
储存液
10mM phosphate buffered saline(pH 7.4) with 150mM sodium chloride, 0.05% BSA, 0.02% Proclin300 and 50% glycerol.
SWISS
Gene ID
保存条件
Store at 4℃ for short term. Store at -20℃ for long term. Avoid repeated freeze/thaw cycles.
注意事项
This product as supplied is intended for research use only, not for use in human, therapeutic or diagnostic applications.
背景资料
Component of the 26S proteasome, a multiprotein complex involved in the ATP-dependent degradation of ubiquitinated proteins. This complex plays a key role in the maintenance of protein homeostasis by removing misfolded or damaged proteins, which could impair cellular functions, and by removing proteins whose functions are no longer required. Therefore, the proteasome participates in numerous cellular processes, including cell cycle progression, apoptosis, or DNA damage repair. 
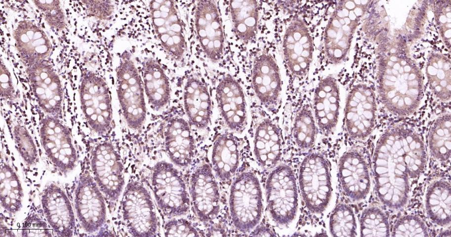
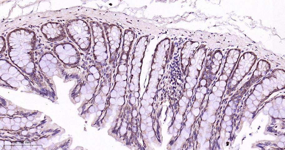
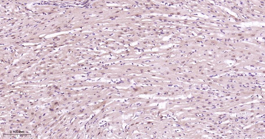
蛋白酶调解因子14重组兔单抗-bsm-62064R蛋白酶调解因子14重组兔单抗-bsm-62064R蛋白酶调解因子14重组兔单抗-bsm-62064R蛋白酶调解因子14重组兔单抗-bsm-62064R蛋白酶调解因子14重组兔单抗-bsm-62064R蛋白酶调解因子14重组兔单抗-bsm-62064R蛋白酶调解因子14重组兔单抗-bsm-62064R蛋白酶调解因子14重组兔单抗-bsm-62064R蛋白酶调解因子14重组兔单抗-bsm-62064R

产品应用

应用已检合格种属预测种属推荐稀释比例
WBHuman, Mouse, Rat1:500-2000
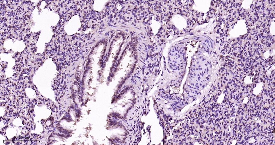
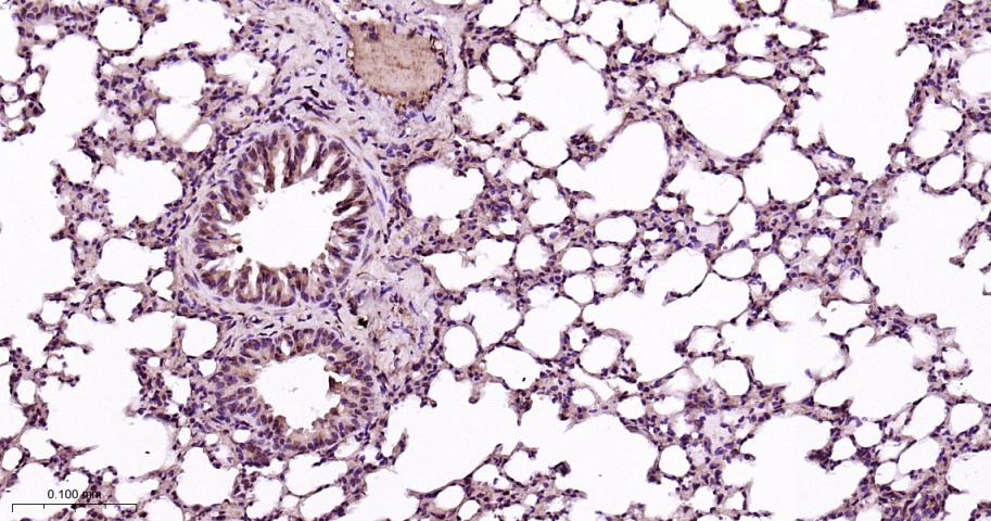
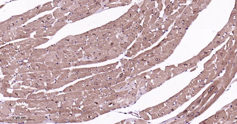
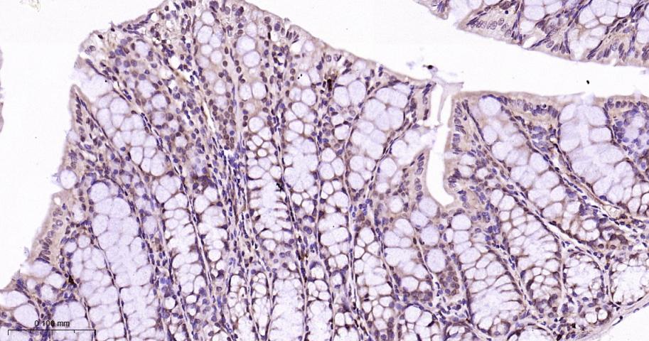
IHC-PHuman, Mouse, Rat1:100-500
IHC-FHuman, Mouse, Rat1:100-500
IFHuman, Mouse, Rat1:100-500
ICC/IFHuman, Mouse, Rat1:100-500

交叉反应

交叉反应: Human, Mouse, Rat

相关产品

暂无相关产品

靶标

基因名
PSMD14
蛋白名
26S proteasome non-ATPase regulatory subunit 14
组织特异性
Widely expressed. Highest levels in heart and skeletal muscle.
相似性
Belongs to the peptidase M67A family. PSMD14 subfamily.
Contains 1 MPN (JAB/Mov34) domain.
功能
Metalloprotease component of the 26S proteasome that specifically cleaves 'Lys-63'-linked polyubiquitin chains. The 26S proteasome is involved in the ATP-dependent degradation of ubiquitinated proteins. The function of the 'Lys-63'-specific deubiquitination of the proteasome is unclear.

同靶标产品

相关文献

提示: 发表研究结果有使用 bsm-62064R 时请让我们知道,以便我们可以引用参考文章。作为回馈,资料提供者将获得我们送上的小礼品。

常见问题