Cancer > Invasion/microenvironment > ECM > Extracellular matrix
Cardiovascular > Angiogenesis > Adhesion / ECM > Extracellular Matrix
Developmental Biology > Lineage specification > Ectoderm
Signal Transduction > Cytoskeleton / ECM > Extracellular Matrix > ECM Proteins > Fibronectin
Stem Cells > Lineage Markers > Ectoderm
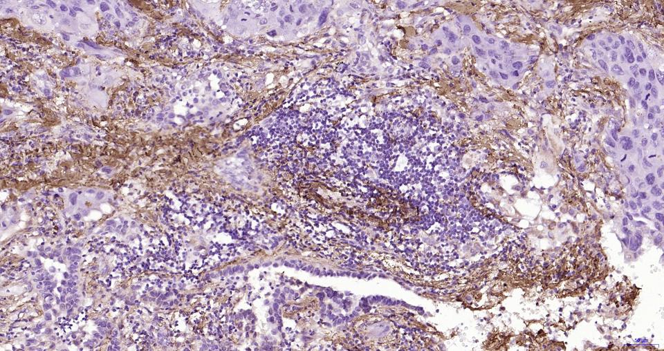
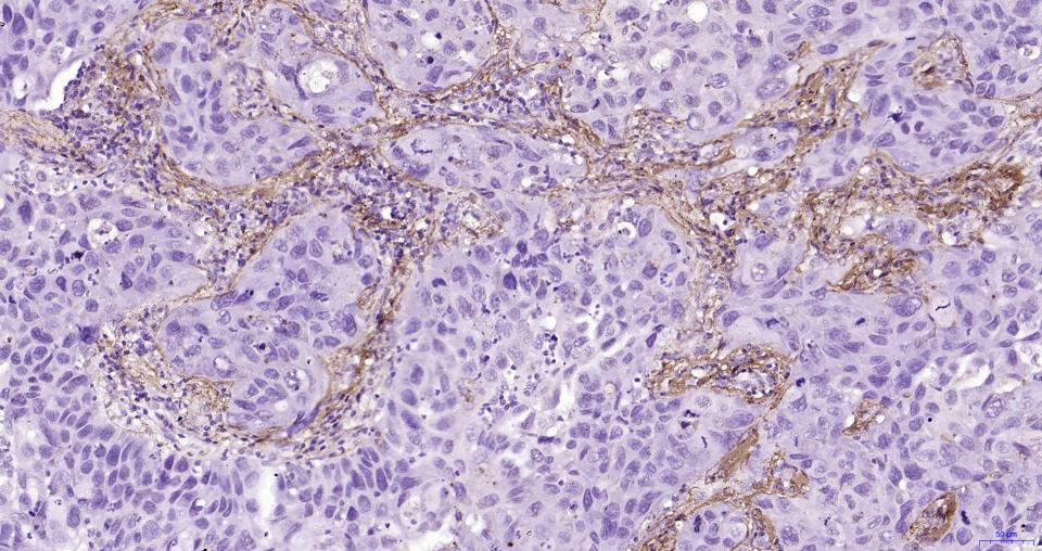
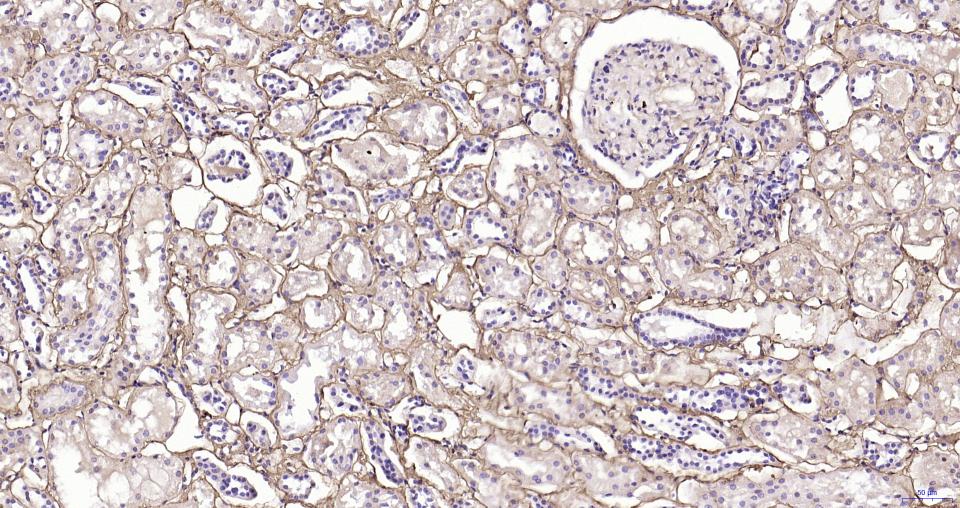
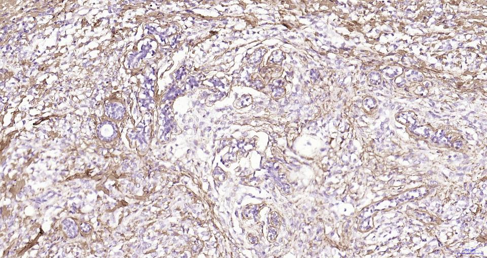
细胞粘附蛋白(Call Adhesion Protein)
FaN(Fibronectin)是一种细胞粘附蛋白,参与细胞粘附,分化,移动,伤口愈合,凝血和机体防卫。主要分布于结缔组织及大部分基底膜上,作为判断良恶性上皮源性肿瘤(如乳腺癌等)的一个主要参考指标,亦可作为恶性肿瘤转移和病人预后的判断指标










| 应用 | 已检合格种属 | 预测种属 | 推荐稀释比例 |
|---|---|---|---|
| WB | Human | 1:500-2000 | |
| IHC-P | Human | 1:100-500 | |
| IHC-F | Human | 1:100-500 | |
| IF | Human | 1:100-500 | |
| ICC/IF | Human | 1:50-200 |
交叉反应: Human
暂无相关产品
暂无标记数据
暂无同靶标产品
暂无相关文献
暂无常见问题