钠/钾转运 ATP 酶亚基 beta-3重组兔单抗

Rrmab?兔单抗
2026-03-02~2026-04-30,KXJ26032026-03-02~2026-04-30,促销赠品
钠/钾转运 ATP 酶亚基 beta-3重组兔单抗
货号:bsm-62007R
产品详情
相关标记
相关产品
相关文献
常见问题

概述

产品编号
bsm-62007R
产品类型
重组兔单抗
英文名称
ATP1B3 Recombinant Rabbit mAb
中文名称
钠/钾转运 ATP 酶亚基 beta-3重组兔单抗
英文别名
ATPB-3; CD298; NKAB3S; AT1B3_HUMAN; ATP1B3; Sodium/potassium-dependent ATPase subunit beta-3 (ATPB-3); AT1B3_MOUSE; AT1B3_RAT;
抗体来源
Rabbit
免疫原
A synthesized peptide derived from human ATP1B3: 241-279
亚型
IgG
性状
Liquid
纯化方法
affinity purified by Protein A
克隆类型
Recombinant
克隆号
7B10
理论分子量
32 kDa
检测分子量
37 kDa
储存液
10mM phosphate buffered saline(pH 7.4) with 150mM sodium chloride, 0.05% BSA, 0.02% Proclin300 and 50% glycerol.
SWISS
Gene ID
保存条件
Store at 4℃ for short term. Store at -20℃ for long term. Avoid repeated freeze/thaw cycles.
注意事项
This product as supplied is intended for research use only, not for use in human, therapeutic or diagnostic applications.
背景资料
This is the non-catalytic component of the active enzyme, which catalyzes the hydrolysis of ATP coupled with the exchange of Na+ and K+ ions across the plasma membrane. The exact function of the beta-3 subunit is not known.
钠/钾转运 ATP 酶亚基 beta-3重组兔单抗钠/钾转运 ATP 酶亚基 beta-3重组兔单抗

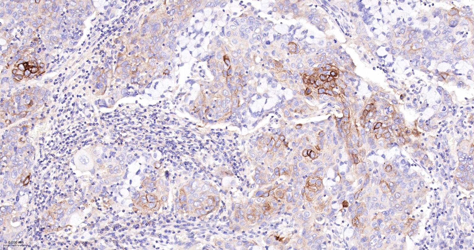
产品应用

应用已检合格种属预测种属推荐稀释比例
WBHumanMouse, Rat1:500-2000
IHC-PHumanMouse, Rat1:50-200
IHC-FHumanMouse, Rat1:50-200
IFHumanMouse, Rat1:50-200

交叉反应

交叉反应: Human (predicted: Mouse, Rat)

相关产品

暂无相关产品

靶标

基因名
ATP1B3
蛋白名
Sodium/potassium-transporting ATPase subunit beta-3
亚基
The sodium/potassium-transporting ATPase is composed of a catalytic alpha subunit, an auxiliary non-catalytic beta subunit and an additional regulatory subunit. Interacts with catalytic alpha subunit ATP12A.
功能
This is the non-catalytic component of the active enzyme, which catalyzes the hydrolysis of ATP coupled with the exchange of Na+ and K+ ions across the plasma membrane. The exact function of the beta-3 subunit is not known.

标记抗体

暂无标记数据

同靶标产品

暂无同靶标产品

相关文献

提示: 发表研究结果有使用 bsm-62007R 时请让我们知道,以便我们可以引用参考文章。作为回馈,资料提供者将获得我们送上的小礼品。

暂无相关文献

常见问题

暂无常见问题