异质核糖核蛋白Q重组兔单抗

Rrmab?兔单抗
2026-03-02~2026-04-30,KXJ26032026-03-02~2026-04-30,促销赠品
异质核糖核蛋白Q重组兔单抗
货号:bsm-61971R
产品详情
相关标记
相关产品
相关文献
常见问题

概述

产品编号
bsm-61971R
产品类型
重组兔单抗
英文名称
hnRNP Q Recombinant Rabbit mAb
中文名称
异质核糖核蛋白Q重组兔单抗
英文别名
GRY-RBP; GRYRBP; HNRNPQ; HNRPQ1; NSAP1; PP68; hnRNP-Q; 2610109K23Rik; 4632417O19Rik; Nsap1l; hnRNP Q; Ab2-339; HNRPQ_HUMAN; SYNCRIP; Glycine- and tyrosine-rich RNA-binding protein (GRY-RBP); NS1-associated protein 1; Synaptotagmin-binding, cytoplasmic RNA-interacting protein; HNRPQ; HNRPQ_MOUSE; HNRPQ_RAT; Liver regeneration-related protein LRRG077;
抗体来源
Rabbit
免疫原
A synthesized peptide derived from human hnRNP Q: 570-623
亚型
IgG
性状
Liquid
纯化方法
affinity purified by Protein A
克隆类型
Recombinant
克隆号
6F12
理论分子量
70 kDa
检测分子量
65-82 kDa
储存液
10mM phosphate buffered saline(pH 7.4) with 150mM sodium chloride, 0.05% BSA, 0.02% Proclin300 and 50% glycerol.
SWISS
Gene ID
保存条件
Store at 4℃ for short term. Store at -20℃ for long term. Avoid repeated freeze/thaw cycles.
注意事项
This product as supplied is intended for research use only, not for use in human, therapeutic or diagnostic applications.
背景资料
Heterogenous nuclear ribonucleoprotein (hnRNP) implicated in mRNA processing mechanisms. Component of the CRD-mediated complex that promotes MYC mRNA stability. Isoform 1, isoform 2 and isoform 3 are associated in vitro with pre-mRNA, splicing intermediates and mature mRNA protein complexes.
异质核糖核蛋白Q重组兔单抗异质核糖核蛋白Q重组兔单抗异质核糖核蛋白Q重组兔单抗异质核糖核蛋白Q重组兔单抗异质核糖核蛋白Q重组兔单抗异质核糖核蛋白Q重组兔单抗异质核糖核蛋白Q重组兔单抗异质核糖核蛋白Q重组兔单抗异质核糖核蛋白Q重组兔单抗异质核糖核蛋白Q重组兔单抗异质核糖核蛋白Q重组兔单抗异质核糖核蛋白Q重组兔单抗

产品应用

应用已检合格种属预测种属推荐稀释比例
WBHuman, Mouse1:500-2000
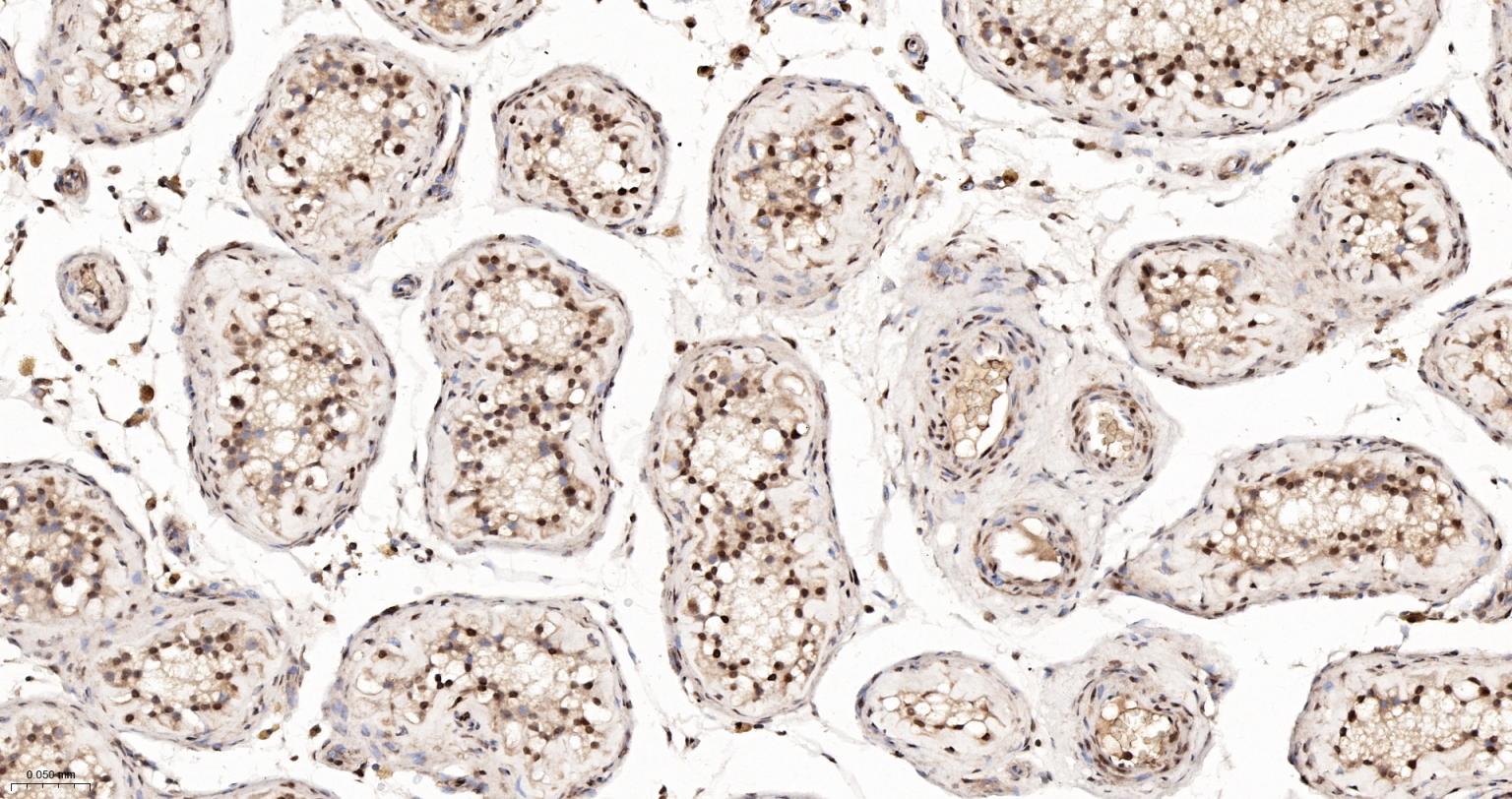
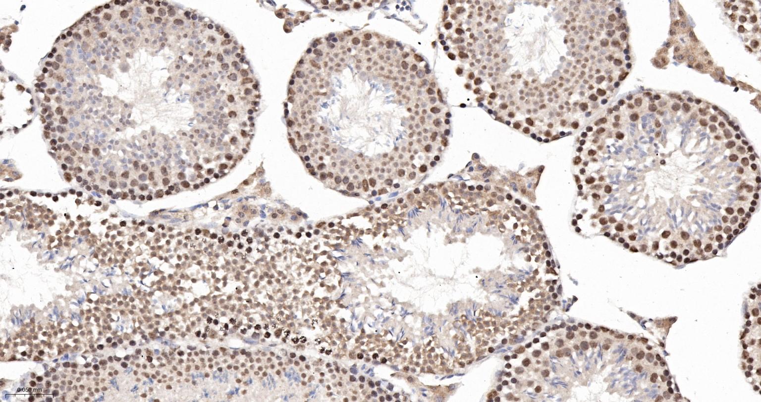
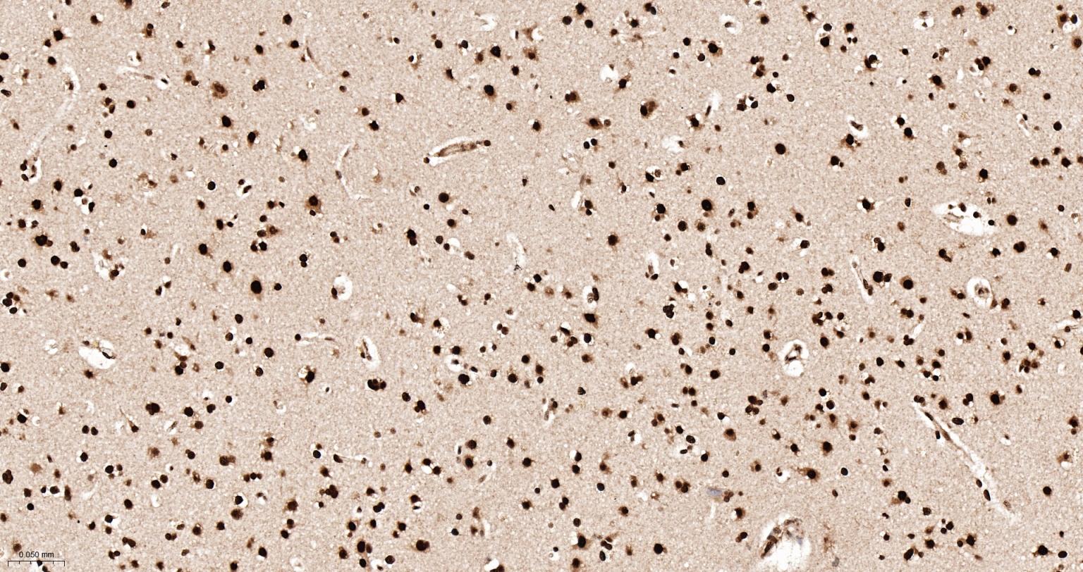
IHC-PHuman, Mouse1:100-500
IHC-FHuman, Mouse1:100-500
IFHuman, Mouse1:100-500
Flow-CytHumanMouse1:50-100
ICC/IFHumanMouse1:50-200

交叉反应

交叉反应: Human, Mouse

相关产品

暂无相关产品

靶标

基因名
SYNCRIP
蛋白名
Heterogeneous nuclear ribonucleoprotein Q
亚细胞定位
Nucleus > nucleoplasm. Expressed predominantly in the nucleoplasm and Cytoplasm. Microsome. Endoplasmic reticulum. Nucleus. The tyrosine phosphorylated form bound to RNA is found in microsomes (By similarity). Localized in cytoplasmic mRNP granules containing untranslated mRNAs.
组织特异性
Ubiquitously expressed. Detected in heart, brain, pancreas, placenta, spleen, lung, liver, skeletal muscle, kidney, thymus, prostate, uterus, small intestine, colon, peripheral blood and testis.
翻译后修饰
Phosphorylated on tyrosine. The membrane-bound form found in microsomes is phosphorylated in vitro by insulin receptor tyrosine kinase (INSR). Phosphorylation is inhibited upon binding to RNA, whereas the cytoplasmic form is poorly phosphorylated (By similarity). Phosphorylated upon DNA damage, probably by ATM or ATR.
相似性
Contains 3 RRM (RNA recognition motif) domains.
功能
Heterogenous nuclear ribonucleoprotein (hnRNP) implicated in mRNA processing mechanisms. Component of the CRD-mediated complex that promotes MYC mRNA stability. Isoform 1, isoform 2 and isoform 3 are associated in vitro with pre-mRNA, splicing intermediates and mature mRNA protein complexes. Isoform 1 binds to apoB mRNA AU-rich sequences. Isoform 1 is part of the APOB mRNA editosome complex and may modulate the postranscriptional C to U RNA-editing of the APOB mRNA through either by binding to A1CF (APOBEC1 complementation factor), to APOBEC1 or to RNA itself. May be involved in translationally coupled mRNA turnover. Implicated with other RNA-binding proteins in the cytoplasmic deadenylation/translational and decay interplay of the FOS mRNA mediated by the major coding-region determinant of instability (mCRD) domain. Interacts in vitro preferentially with poly(A) and poly(U) RNA sequences. Isoform 3 may be involved in cytoplasmic vesicle-based mRNA transport through interaction with synaptotagmins.

标记抗体

暂无标记数据

同靶标产品

暂无同靶标产品

相关文献

提示: 发表研究结果有使用 bsm-61971R 时请让我们知道,以便我们可以引用参考文章。作为回馈,资料提供者将获得我们送上的小礼品。

暂无相关文献

常见问题

暂无常见问题