VAMP1 Recombinant Rabbit mAb (一抗) - WB,IHC-P,IHC-F,IF,ICC/IF | Bioss

Rrmab?兔单抗
2026-03-02~2026-04-30,KXJ2603
VAMP1 Recombinant Rabbit mAb (一抗) - WB,IHC-P,IHC-F,IF,ICC/IF | Bioss
货号:bsm-61962R
产品详情
相关标记
相关产品
相关文献
常见问题

概述

产品编号
bsm-61962R
产品类型
重组兔单抗
英文名称
VAMP1 Recombinant Rabbit mAb
中文名称
囊泡相关膜蛋白1重组兔单抗
英文别名
CMS25; SAX1; SPAX1; SYB1; VAMP-1; Syb-1; lew; VAMP1_HUMAN; VAMP1; Synaptobrevin-1; VAMP1_MOUSE; VAMP1_RAT;
抗体来源
Rabbit
免疫原
A synthesized peptide derived from human VAMP1: 1-45/118
亚型
IgG
性状
Liquid
纯化方法
affinity purified by Protein A
克隆类型
Recombinant
克隆号
3A6
理论分子量
13 kDa
检测分子量
16 kDa
储存液
10mM phosphate buffered saline(pH 7.4) with 150mM sodium chloride, 0.05% BSA, 0.02% Proclin300 and 50% glycerol.
SWISS
Gene ID
保存条件
Store at 4℃ for short term. Store at -20℃ for long term. Avoid repeated freeze/thaw cycles.
注意事项
This product as supplied is intended for research use only, not for use in human, therapeutic or diagnostic applications.
背景资料
Involved in the targeting and/or fusion of transport vesicles to their target membrane.
囊泡相关膜蛋白1重组兔单抗-bsm-61962R囊泡相关膜蛋白1重组兔单抗-bsm-61962R囊泡相关膜蛋白1重组兔单抗-bsm-61962R囊泡相关膜蛋白1重组兔单抗-bsm-61962R囊泡相关膜蛋白1重组兔单抗-bsm-61962R

产品应用

应用已检合格种属预测种属推荐稀释比例
WBMouse, RatHuman1:500-2000
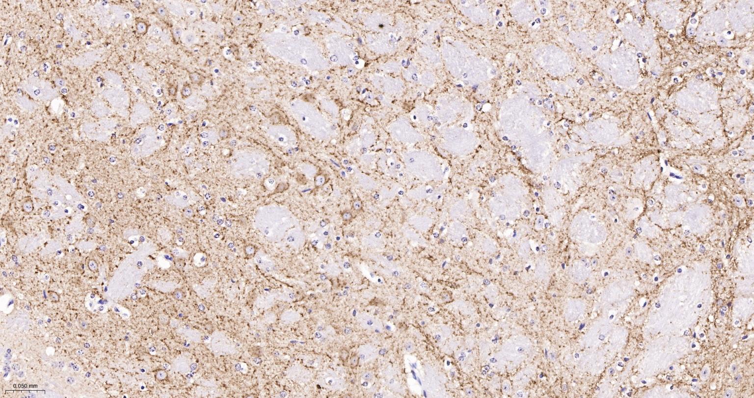
IHC-PHuman, Mouse, Rat1:100-500
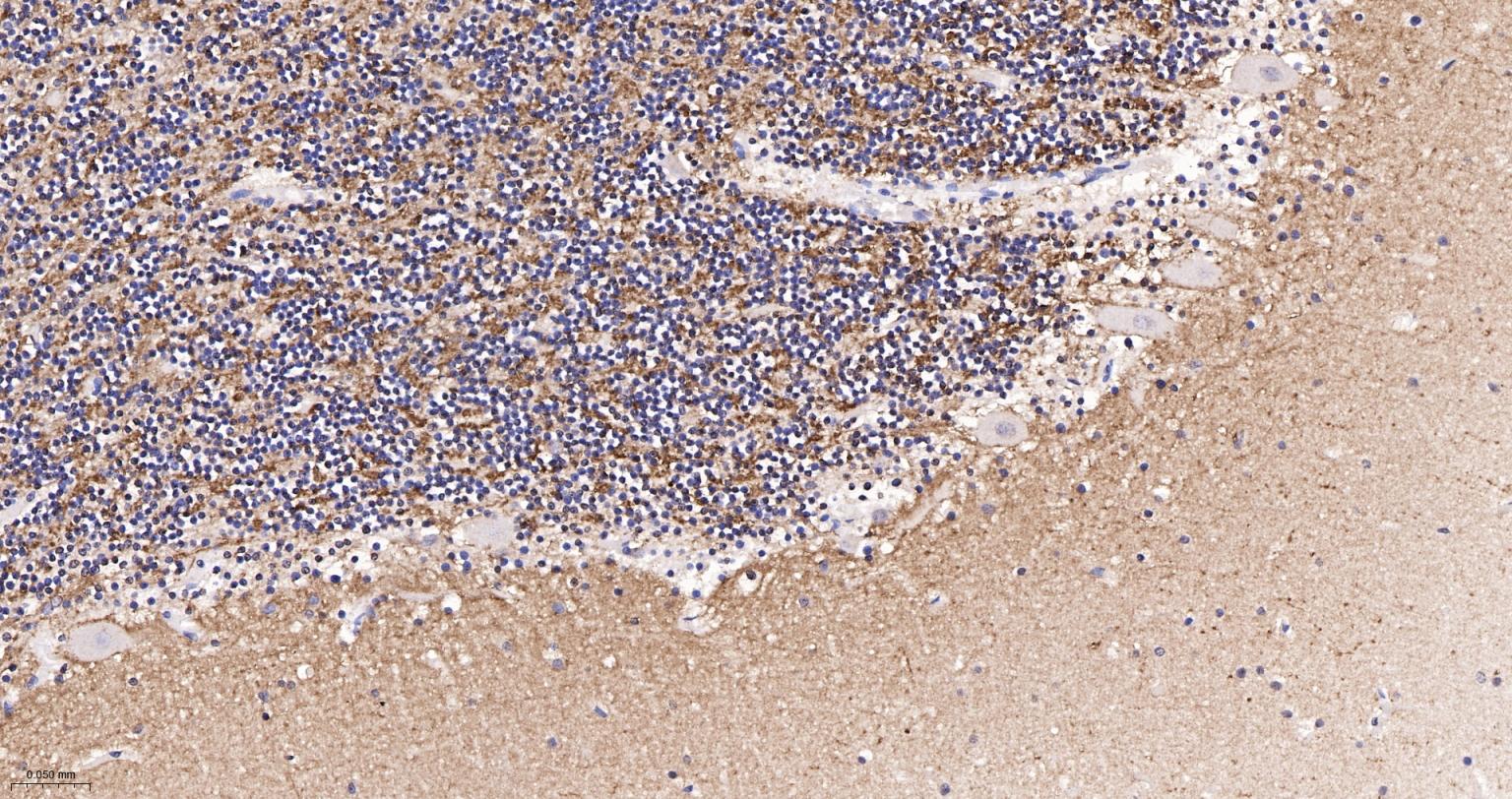
IHC-FHuman, Mouse, Rat1:100-500
IFHuman, Mouse, Rat1:100-500
ICC/IFHuman, Mouse, Rat1:50-200

交叉反应

交叉反应: Human, Mouse, Rat

相关产品

暂无相关产品

靶标

基因名
VAMP1
蛋白名
Vesicle-associated membrane protein 1
亚基
Interacts with VAPA and VAPB.
亚细胞定位
Isoform 1: Cytoplasmic vesicle, secretory vesicle, synaptic vesicle membrane; Single-pass type IV membrane protein. Cell junction, synapse, synaptosome.
Isoform 2: Cytoplasmic vesicle membrane; Single-pass type IV membrane protein. Cell junction, synapse, synaptosome.
Isoform 3: Mitochondrion outer membrane; Single-pass type IV membrane protein.
组织特异性
Nervous system, skeletal muscle and adipose tissue.
相似性
Belongs to the synaptobrevin family.
Contains 1 v-SNARE coiled-coil homology domain.
功能
Involved in the targeting and/or fusion of transport vesicles to their target membrane.

同靶标产品

相关文献

提示: 发表研究结果有使用 bsm-61962R 时请让我们知道,以便我们可以引用参考文章。作为回馈,资料提供者将获得我们送上的小礼品。

常见问题