CBS Recombinant Rabbit mAb (一抗) - WB,IHC-P,IHC-F,IF,ICC/IF | Bioss

Rrmab?兔单抗
2026-05-01~2026-06-30,AB26052026-05-01~2026-06-30,WB精选(促销赠品)
CBS Recombinant Rabbit mAb (一抗) - WB,IHC-P,IHC-F,IF,ICC/IF | Bioss
货号:bsm-61957R
产品详情
相关标记
相关产品
相关文献
常见问题

概述

产品编号
bsm-61957R
产品类型
重组兔单抗、mIHC精品抗体
英文名称
CBS Recombinant Rabbit mAb
中文名称
丝氨酸羧甲半胱氨酸合成酶重组兔单抗
英文别名
CBSL; HIP4; CBS_HUMAN; CBS; Beta-thionase; Serine sulfhydrase; 4.2.1.22; CBS_MOUSE; CBS_RAT; Hemoprotein H-450;
抗体来源
Rabbit
免疫原
A synthesized peptide derived from human CBS: 460-500
亚型
IgG
性状
Liquid
纯化方法
affinity purified by Protein A
克隆类型
Recombinant
克隆号
12G14
理论分子量
61 kDa
检测分子量
59 kDa
储存液
10mM phosphate buffered saline(pH 7.4) with 150mM sodium chloride, 0.05% BSA, 0.02% Proclin300 and 50% glycerol.
SWISS
Gene ID
保存条件
Store at 4℃ for short term. Store at -20℃ for long term. Avoid repeated freeze/thaw cycles.
注意事项
This product as supplied is intended for research use only, not for use in human, therapeutic or diagnostic applications.
背景资料
Only known pyridoxal phosphate-dependent enzyme that contains heme. Important regulator of hydrogen sulfide, especially in the brain, utilizing cysteine instead of serine to catalyze the formation of hydrogen sulfide. Hydrogen sulfide is a gastratransmitter with signaling and cytoprotective effects such as acting as a neuromodulator in the brain to protect neurons against hypoxic injury.
丝氨酸羧甲半胱氨酸合成酶重组兔单抗-bsm-61957R丝氨酸羧甲半胱氨酸合成酶重组兔单抗-bsm-61957R丝氨酸羧甲半胱氨酸合成酶重组兔单抗-bsm-61957R丝氨酸羧甲半胱氨酸合成酶重组兔单抗-bsm-61957R

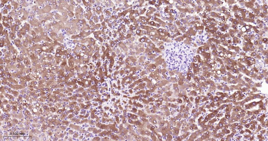
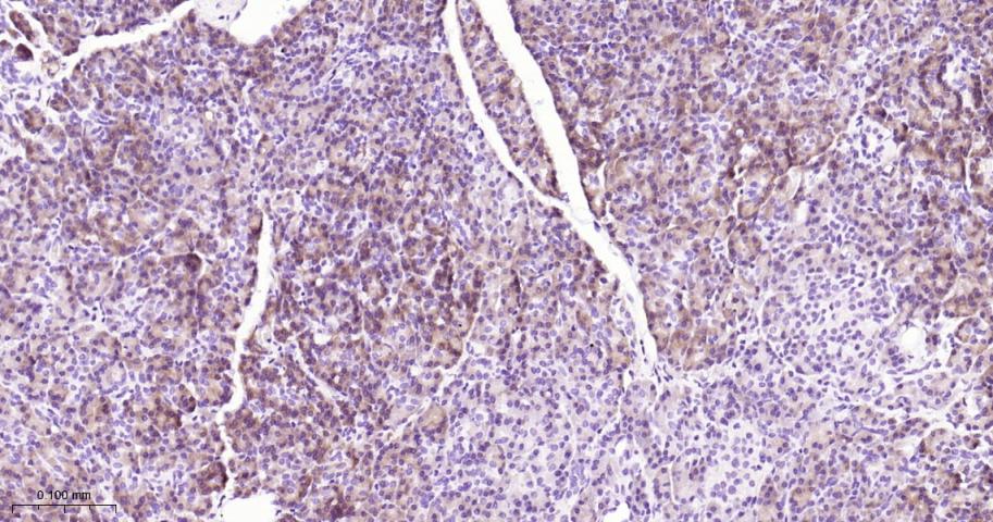
产品应用

应用已检合格种属预测种属推荐稀释比例
WBHuman1:500-2000
IHC-PHuman1:50-200
IHC-FHuman1:50-200
IFHuman1:50-200
ICC/IFHuman1:50-200

交叉反应

交叉反应: Human

相关产品

暂无相关产品

靶标

基因名
CBS
蛋白名
Cystathionine beta-synthase

同靶标产品

相关文献

提示: 发表研究结果有使用 bsm-61957R 时请让我们知道,以便我们可以引用参考文章。作为回馈,资料提供者将获得我们送上的小礼品。

常见问题