心肌肌钙蛋白重组兔单抗

Rrmab?兔单抗
2026-03-02~2026-04-30,KXJ26032026-03-02~2026-04-30,促销赠品
心肌肌钙蛋白重组兔单抗
货号:bsm-61955R
产品详情
相关标记
相关产品
相关文献
常见问题

概述

产品编号
bsm-61955R
产品类型
重组兔单抗、mIHC精品抗体
英文名称
TNNI3 Recombinant Rabbit mAb
中文名称
心肌肌钙蛋白重组兔单抗
英文别名
TNNC1_HUMAN; TNNC1; TN-C; TNNC; CMD1Z; CMH13; TNC;
抗体来源
Rabbit
免疫原
A synthesized peptide derived from human TNNC1: 1-67
亚型
IgG
性状
Liquid
纯化方法
affinity purified by Protein A
克隆类型
Recombinant
克隆号
11E5
理论分子量
18 kDa
检测分子量
18 kDa
储存液
10mM phosphate buffered saline(pH 7.4) with 150mM sodium chloride, 0.05% BSA, 0.02% Proclin300 and 50% glycerol.
SWISS
Gene ID
保存条件
Store at 4℃ for short term. Store at -20℃ for long term. Avoid repeated freeze/thaw cycles.
注意事项
This product as supplied is intended for research use only, not for use in human, therapeutic or diagnostic applications.
背景资料
Troponin is the central regulatory protein of striated muscle contraction. Tn consists of three components: Tn-I which is the inhibitor of actomyosin ATPase, Tn-T which contains the binding site for tropomyosin and Tn-C. The binding of calcium to Tn-C abolishes the inhibitory action of Tn on actin filaments.
心肌肌钙蛋白重组兔单抗心肌肌钙蛋白重组兔单抗心肌肌钙蛋白重组兔单抗心肌肌钙蛋白重组兔单抗心肌肌钙蛋白重组兔单抗心肌肌钙蛋白重组兔单抗

产品应用

应用已检合格种属预测种属推荐稀释比例
WBMouse, RatHuman1:500-2000
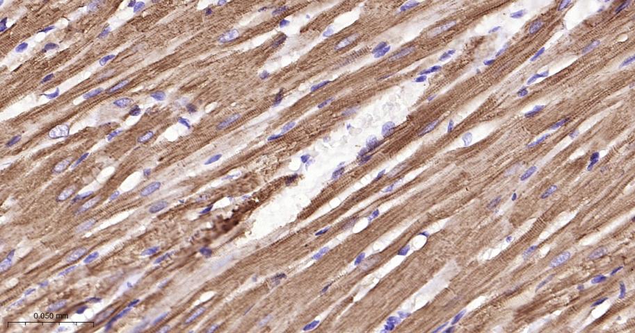
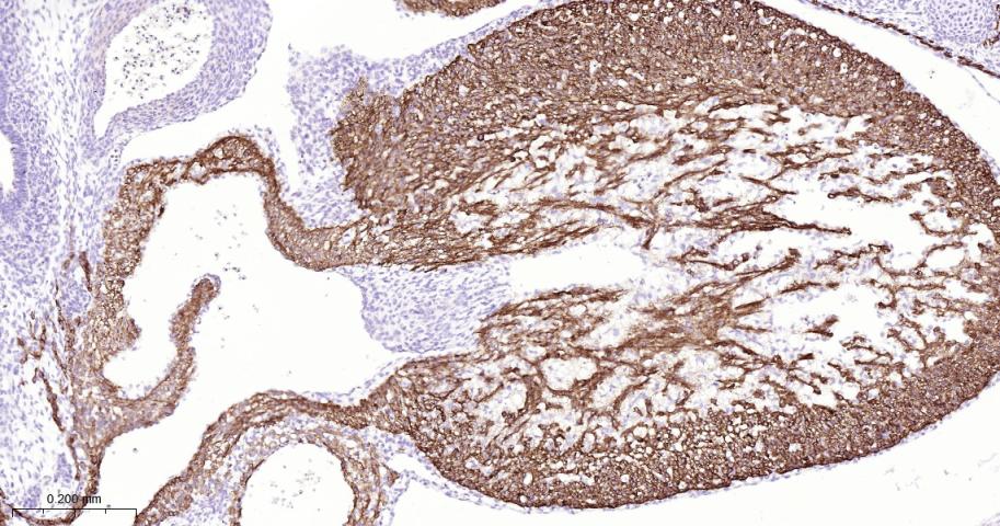
IHC-PHuman, Mouse, Rat1:100-500
IHC-FHuman, Mouse, Rat1:100-500
IFHuman, Mouse, Rat1:100-500

交叉反应

交叉反应: Human, Mouse, Rat

相关产品

暂无相关产品

靶标

基因名
TNNC1
蛋白名
Troponin C, slow skeletal and cardiac muscles

标记抗体

暂无标记数据

同靶标产品

暂无同靶标产品

相关文献

提示: 发表研究结果有使用 bsm-61955R 时请让我们知道,以便我们可以引用参考文章。作为回馈,资料提供者将获得我们送上的小礼品。

暂无相关文献

常见问题

暂无常见问题