Cancer > Cell cycle > Cell cycle inhibitors
Cell Biology > Cell Cycle > Cell Cycle Inhibitors
Epigenetics and Nuclear Signaling > Transcription > Co-factors
Epigenetics and Nuclear Signaling > Transcription > Other factors
Microbiology > Interspecies Interaction > Host Virus Interaction
Microbiology > Organism > Virus > DNA Virus > double stranded DNA Virus > Adenovirus






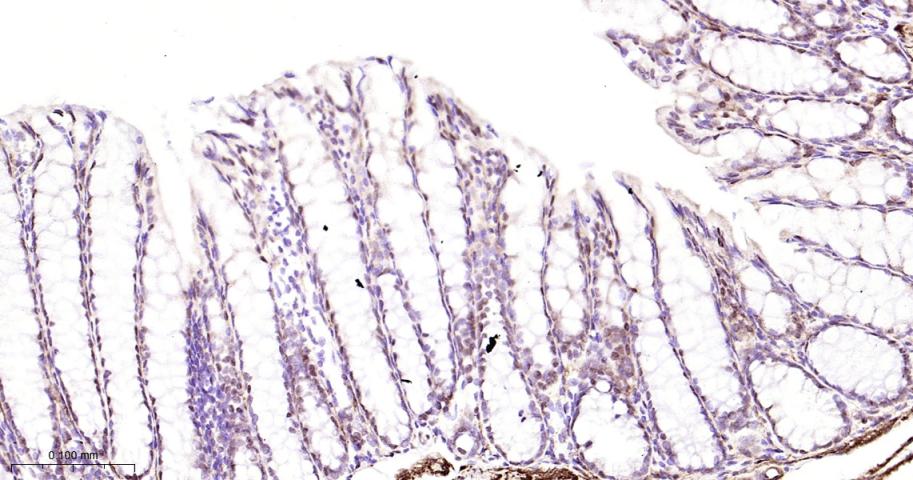
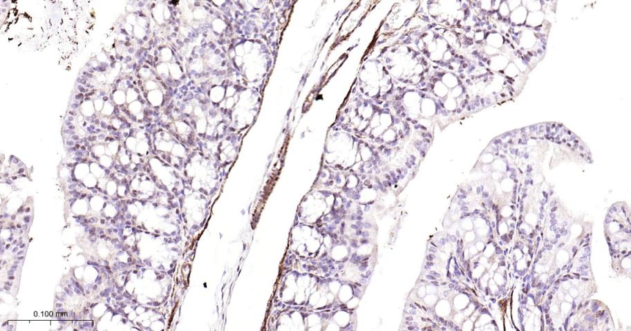
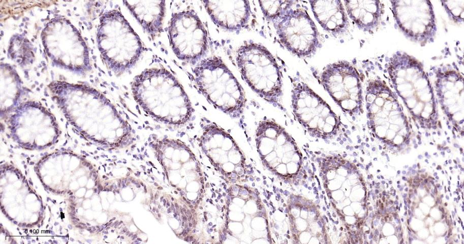
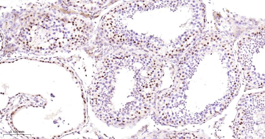
| 应用 | 已检合格种属 | 预测种属 | 推荐稀释比例 |
|---|---|---|---|
| WB | Human | Mouse, Rat | 1:500-2000 |
| IHC-P | Human, Mouse, Rat | 1:100-500 | |
| IHC-F | Human, Mouse, Rat | 1:100-500 | |
| IF | Human, Mouse, Rat | 1:100-500 | |
| Flow-Cyt | Human | Mouse, Rat | 1:50-100 |
| ICC/IF | Human, Mouse, Rat | 1:50-200 | |
| IP | Human, Mouse, Rat | 1:20-50 |
交叉反应: Human, Mouse, Rat
暂无相关产品